Theo thông tin từ Bệnh viện đa khoa Medlatec, nam thanh niên T.M.H., 22 tuổi (Hà Nội) đến vì đau khớp gối phải dai dẳng.
Qua khai thác bệnh sử được biết, bệnh nhân H gặp tai nạn thể thao, va đập mạnh vào gối phải, gây sưng nhẹ nhưng không điều trị, triệu chứng giảm dần. Nhưng gần đây, cơn đau tăng khi đi lại, đặc biệt khi duỗi gối, khiến anh khó khăn trong sinh hoạt.
Tại Trung tâm Chẩn đoán hình ảnh và Thăm dò chức năng, BSCKI. Nguyễn Thạch Thảo - chuyên khoa Chẩn đoán hình ảnh ghi nhận khớp gối phải của bệnh nhân đau khi vận động (VAS 5/10), không sưng hay nóng đỏ.
Nghi ngờ có tổn thương cấu trúc như dây chằng, sụn chêm…, để làm sáng tỏ chẩn đoán, bác sĩ quyết định cho bệnh nhân chụp cộng hưởng từ khớp gối phải để đánh giá sụn chêm, dây chằng và các mô mềm.
![]() |
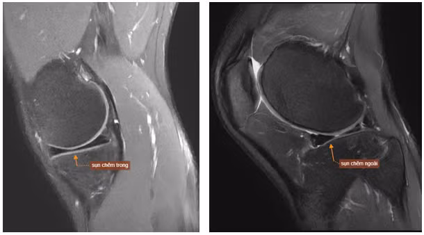
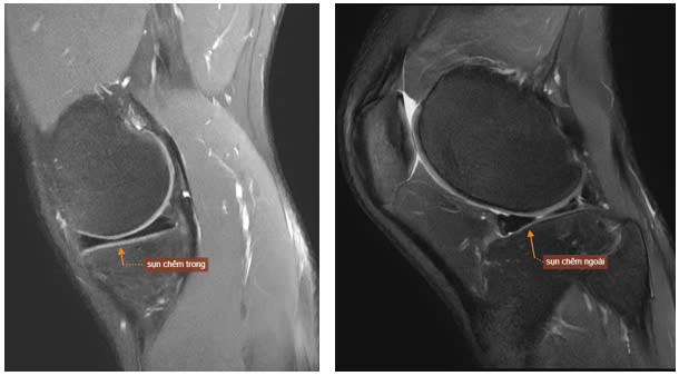
| Hình ảnh MRI khớp gối phải của bệnh nhân T.M.H cho thấy dấu hiệu rách quai xô. Ảnh BVCC |
Trên những hình ảnh cộng hưởng từ, bác sĩ và chuyên gia của Trung tâm chẩn đoán hình ảnh ghi nhận 5/6 dấu hiệu đặc trưng của rách quai xô điển hình: mất hình nơ sụn chêm, mảnh sụn rời trong khuyết gian lồi cầu, sụn chêm lật, hai sừng trước và sừng sau nhô bất thường. Hình ảnh cho thấy rách phức tạp ở thân và sừng sau sụn chêm ngoài, với mảnh sụn di lệch vào ổ khớp.
Từ kết quả trên, BS Thảo nhận định bệnh nhân H. bị rách sụn chêm quai xô – một tổn thương nặng, hiếm gặp ở người trẻ, cần can thiệp sớm để tránh biến chứng. Ngay sau đó, bệnh nhân H. được tư vấn phẫu thuật nội soi khớp gối. Ca mổ đã diễn ra thành công với sụn chêm ngoài được cắt sửa chính xác, ổ khớp được rửa sạch và thiết lập dẫn lưu để hỗ trợ phục hồi.
Sau phẫu thuật, bệnh nhân H. phục hồi tốt, cơn đau giảm đáng kể và bắt đầu tập phục hồi chức năng chuyên nghiệp, hứa hẹn khả năng vận động sớm trở lại bình thường.
Theo BSCKI. Nguyễn Thạch Thảo, rách sụn chêm quai xô là một tổn thương nghiêm trọng của sụn chêm – cấu trúc đóng vai trò đệm và ổn định khớp gối. Tổn thương này xảy ra khi sụn chêm bị xé dọc, mảnh rách di lệch vào ổ khớp, gây kẹt khớp và đau dữ dội.
Cơ chế gây rách sụn chêm xuất phát từ bốn lực chính: ép trên xương, xoay, dạng và khép, gấp hoặc duỗi. Với rách quai xô, lực xoay mạnh kết hợp va đập trực tiếp là nguyên nhân chủ yếu, như trường hợp bệnh nhân T.M.H., tai nạn thể thao gây va chạm mặt ngoài gối phải dẫn đến rách dọc sụn chêm ngoài.
Khi đối chiếu phân loại rách sụn chêm bao gồm rách dọc, rách ngang, rách hình tia, rách di lệch (quai xô, vạt, mỏ) và rách phức tạp, rách sụn chêm tại khớp gối của bệnh nhân H. thuộc nhóm rách di lệch, được xếp độ 4 – mức nặng nhất, gây biến dạng hoàn toàn sụn chêm.
Theo BSCKII. Nguyễn Văn Thưởng, Trưởng chuyên khoa Ngoại, các tình huống rách sụn chêm thường gây đau cách hồi, đau chói do mảnh sụn bong kẹt vào diện khớp. Tổn thương này dễ nhầm với tràn dịch khớp gối (kèm sưng, hạn chế vận động toàn diện) hoặc viêm gân (đau khu trú vùng gân). Đứt dây chằng chéo, dù cũng gây đau gối, thường kèm mất vững khớp – dấu hiệu không thấy ở bệnh nhân H. Vậy nên, trong trường hợp này, MRI được xem là phương pháp chẩn đoán then chốt được áp dụng để phân biệt, nhờ khả năng hiển thị mảnh sụn di lệch đặc trưng của rách quai xô.
Nếu không điều trị, rách quai xô có thể dẫn đến thoái hóa khớp, đau mạn tính hoặc mất khả năng vận động, đặc biệt ở người trẻ hoạt động mạnh.
