Giới tính - Gia đình

Ra máu kinh bất thường, phát hiện u xơ dễ gây hiếm muộn

Kinh nguyệt ra nhiều bất thường, người phụ nữ 39 tuổi đến viện kiểm tra và được chẩn đoán mắc u xơ dưới niêm mạc tử cung.

Bệnh viện Đa khoa Medlatec mới đây tiếp nhận bệnh nhân Đ.T.G (39 tuổi, (Quảng Bình) đến khám vì hiện tượng ra máu kinh nhiều hơn bình thường. Trước đó, chu kỳ kinh nguyệt của chị đều đặn, kéo dài 4–5 ngày. Tuy nhiên, hai tháng gần đây lượng máu kinh tăng bất thường khiến chị lo lắng và đi khám.

hinh-anh-sieu-am1.jpg
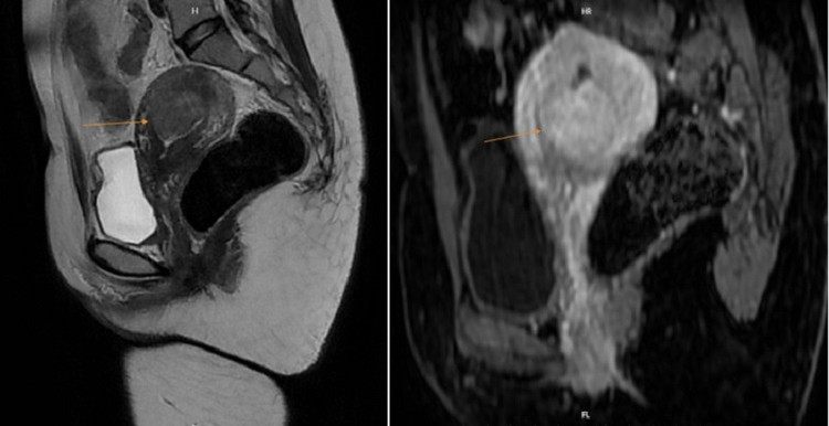
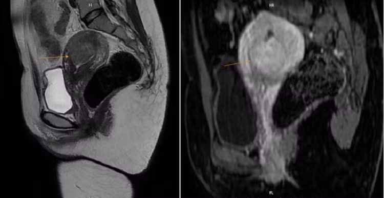
MRI phát hiện một khối u ở trong buồng tử cung của bệnh nhân. Ảnh BVCC

Sau khi khám lâm sàng và siêu âm đầu dò, bác sĩ nghi ngờ chị mắc u xơ tử cung dưới niêm mạc. Kết quả chụp MRI cho thấy khối u lớn trong buồng tử cung, không xâm lấn phá huỷ mô xung quanh. Bệnh nhân được phẫu thuật nội soi và giải phẫu bệnh xác định là u xơ dưới niêm mạc tử cung.

Theo BS Nguyễn Công Duy, khoa Chẩn đoán hình ảnh, u xơ tử cung là khối u lành tính hình thành từ cơ trơn tử cung. Trong đó, u xơ dưới niêm mạc ít gặp nhưng nguy hiểm, dễ gây rong kinh, thiếu máu, vô sinh hoặc sảy thai do cản trở phôi làm tổ.

Dấu hiệu thường thấy là kinh nguyệt ra nhiều, kéo dài, có thể kèm đau bụng dữ dội, máu cục, hoặc ra máu giữa chu kỳ. Nếu không điều trị kịp thời, u có thể gây biến chứng nặng nề, thậm chí hoại tử, viêm nhiễm buồng tử cung.

Bác sĩ khuyến cáo phụ nữ nên khám phụ khoa định kỳ để phát hiện sớm các bệnh lý phụ khoa, đặc biệt là u xơ tử cung – căn bệnh ảnh hưởng lớn đến khả năng sinh sản và chất lượng sống.

back to top