Bà V. T. T (79 tuổi, Hóc Môn) tới thăm khám tại Bệnh viện Đa khoa Xuyên Á trong tình trạng đau bụng, có khối phồng to ở vết mổ vùng trên rốn, thay đổi kích thước theo áp lực của ổ bụng.
Theo lời kể của bà T., cách đây một năm bà có phẫu thuật nội soi cắt túi mật tại một bệnh viện khác ở thành phố HCM. Nhưng sau mổ 3 tháng, vết mổ ở vùng rốn của bà xuất hiện khối phồng làm bụng bà căng to.
Dù bà T. đã thăm khám nhiều nơi, trải qua các phương pháp điều trị nội khoa và mang đai nhưng không hiệu quả. Không thể chịu đựng tình trạng này kéo dài, bà T. được gia đình đưa đến Bệnh viện Xuyên Á để tìm phương án điều trị.
![]() |
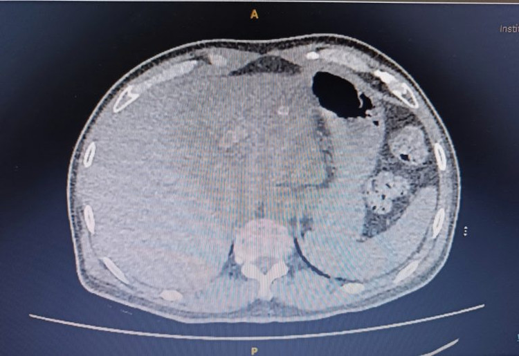
| Hình ảnh CT ổ bụng thấy khối thoát vị thành bụng - Ảnh BVCC |
Qua thăm khám lâm sàng và chụp CT ổ bụng, các bác sĩ khoa Ngoại Tổng quát BVĐK Xuyên Á đã phát hiện một khối thoát vị thành bụng ở vị trí vết mổ cũ vùng rốn. Để xử trí khối thoát vị cho người bệnh, các bác sĩ đã hội chẩn và quyết định phẫu thuật nội soi đặt lưới trong phúc mạc điều trị thoát vị thành bụng (IPOM).
ThS.BS.CKII. Trần Văn Minh Tuấn, Trưởng Khoa Ngoại Tổng Quát BVĐK Xuyên Á cho biết: “Đây là trường hợp bệnh nhân lớn tuổi nên yêu cầu đặt ra cho cuộc mổ là phải rút ngắn thời gian và ít xâm lấn. Vì thế, sau khi trao đổi cùng người nhà bệnh nhân chúng tôi đã quyết định phẫu thuật nội soi IPOM. Trong quá trình phẫu thuật ghi nhận lỗ thoát vị với đường kính khoảng 5cm.
Đây là phương pháp phẫu thuật mới, ít biến chứng, mang lại hiệu quả cao, đang được ứng dụng phổ biến tại Việt Nam hiện nay. Nếu như ở phương pháp mổ mở trước đây, người bệnh sẽ phải chịu đường mổ dài khoảng 15cm, bóc tách mô nhiều khiến người bệnh có nguy cơ tụ dịch sau mổ cao, nguy cơ nhiễm trùng vết mổ, đau đớn hơn dẫn tới thời gian hồi phục cũng lâu hơn.
Đồng thời, tình trạng thoát vị thành bụng trên bệnh nhân có vết mổ cũ là thách thức đối với các phẫu thuật viên. Với phương pháp khâu cân đơn thuần để phục hồi thành bụng, tỷ lệ tái phát có thể lên đến trên 50%.
Còn với phương pháp mổ nội soi hiện nay, thông qua các vết rạch nhỏ chỉ khoảng 0,5 – 1cm, các phẫu thuật viên sẽ đính một tấm lưới (làm bằng vật liệu đặc biệt) vào thành trong ổ phúc mạc để che lỗ thủng thoát vị. Tấm lưới này sẽ giúp tăng cường cho thành bụng, giảm tỷ lệ tái phát.
Ngoài ra, đặt lưới sau cân giúp phân tán đều áp lực ổ bụng lên tấm lưới, thay vì chỉ tập trung vào lỗ thoát vị. Nhờ hạn chế xâm lấn đến mức tối đa nên người bệnh ít đau, ít mất máu,giảm nguy cơ tụ dịch hay nhiễm trùng vết mổ thời gian hồi phục cũng nhanh hơn.
Sau một ngày phẫu thuật, người bệnh có thể ăn uống bình thường, bụng mềm, vết mổ ít đau, bệnh nhân tập đi lại. Sau ba ngày, bệnh nhân trở về sinh hoạt bình thường và được
Thoát vị thành bụng xảy ra khi các tạng trong bụng di chuyển khỏi vị trí và chui ra ngoài thành bụng hình thành túi thoát vị. Bất thường về cấu trúc này không thể điều trị bằng thuốc mà giải pháp phù hợp là can thiệp phẫu thuật.
Trong trường hợp tạng thoát vị (ruột, ruột già,..) chui vào lỗ thoát vị lâu ngày sẽ dẫn đến biến chứng nghẹt và hoại tử ruột phải mổ cấp cứu.
"Người bệnh khi có biểu hiện khối phồng vùng bụng thì nên đến bệnh viện ngay để được bác sĩ chuyên khoa can thiệp kịp thời nhằm tránh biến chứng và tái phát.
Bên cạnh đó, việc lựa chọn cơ sở y tế chuyên khoa uy tín với đội ngũ bác sĩ giàu kinh nghiệm, giỏi chuyên môn ngay từ sớm sẽ giúp người bệnh rút ngắn được thời gian điều trị, giảm nguy cơ tái phát, biến chứng sau điều trị." - Bác sĩ Trần Văn Minh Tuấn khuyến cáo
