Mới đây, Bệnh viện Đại học Y Hà Nội vừa cấp cứu một trường hợp gặp nạn hy hữu. Nam sinh 19 tuổi tìm cực khoái bằng cách nhét jack tai nghe 3,5mm vào niệu đạo, sau đó dây bị kẹt lại trong bàng quang.
Nam sinh tới bệnh viện khám trong tình trạng lo lắng, tiểu buốt kèm lẫn ít máu.
Qua khai thác bệnh sử bệnh nhân cho biết, bản thân sau khi xem các clip sex và hướng dẫn đi tìm khoái lạc trên mạng thì làm theo quy trình: thủ dâm trước để có dịch bôi trơn, sau đó tự nhét dây tai nghe dài khoảng hơn 1 mét đã buộc sẵn các nút qua niệu đạo vào bàng quang để tìm khoái cảm.
Tuy nhiên, khi rút ra thì dây bị cuộn và mắc kẹt trong bàng quang, càng kéo càng đau đớn và chảy máu. Cuối cùng dây đứt phăng và còn nguyên một đầu trong bàng quang.
Chịu đựng sự khó chịu, đau đớn, bệnh nhân nhất quyết không để ai biết. Một ngày sau, bệnh nhân mới thông báo cho phụ huynh biết để đưa vào viện.
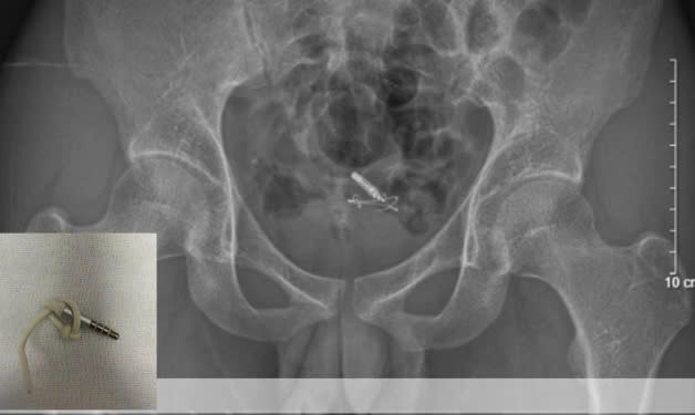
![]() |
| Kết quả chụp X-quang và siêu âm cho thấy dị vật nằm trọn trong bàng quang. Ảnh BVCC |
Tại bệnh viện, các bác sĩ khoa Nam học và Y học Giới tính, đã xác định đây là trường hợp dị vật gây tổn thương niệu đạo. Kết quả chụp X-quang và siêu âm cho thấy dị vật nằm trọn trong bàng quang.
Ê-kíp đã tiến hành nội soi gắp dị vật thành công, lấy ra một đoạn dây cáp tai nghe kèm 1 jack cắm 3.5mm dài khoảng 10cm, bảo tồn nguyên vẹn cấu trúc bàng quang và niệu đạo.
Theo ThS.BS Trần Văn Kiên, khoa Nam học và Y học giới tính, Bệnh viện Đại học Y Hà Nội, sự tò mò và thiếu hiểu biết đã đẩy nhiều nam thanh niên vào nguy hiểm, khi họ tự ý đưa dị vật vào niệu đạo để tìm kiếm khoái cảm lạ thường. Hành vi này không chỉ gây đau đớn tức thời mà còn tiềm ẩn nhiều biến chứng nguy hiểm, thậm chí ảnh hưởng đến sức khỏe sinh sản.
Hành vi đưa dị vật vào niệu đạo thường xuất phát từ sự tò mò, muốn tìm kiếm cảm giác lạ, hoặc do ảnh hưởng của các nội dung khiêu dâm trên mạng xã hội. Một số trường hợp có thể liên quan đến ảnh hưởng của chất kích thích, hoặc do các vấn đề tâm lý, bao gồm cả chứng rối loạn lệch lạc tình dục (Paraphilias). Việc nhét dị vật vào niệu đạo có thể là một biểu hiện của Paraphilias, một nhóm rối loạn liên quan đến những ham muốn hoặc hành vi tình dục khác thường.
Dị vật được sử dụng rất đa dạng, từ những vật dụng gia đình thông thường như tăm bông, ngòi bút bi, đến những vật dụng nguy hiểm hơn như các loại dây điện hoặc thanh kim loại.
Trong trường hợp nặng, bệnh nhân có thể phải đối mặt với những biến chứng không thể phục hồi, như hẹp niệu đạo đòi hỏi can thiệp phẫu thuật phức tạp và tốn kém.
Các bác sĩ khuyến cáo người dân tuyệt đối không thực hiện các hành vi nguy hiểm liên quan đến cơ quan sinh dục theo các clip trên mạng. Cha mẹ hãy là người bạn đồng hành của con, giúp con hiểu rõ về những rủi ro, kịp thời phát hiện những thay đổi bất thường và trang bị cho con những kiến thức về giới tính.
Khi phát hiện người thân có bất kỳ vấn đề nào liên quan đến sức khỏe sinh sản hoặc tâm lý, cần tìm đến các cơ sở y tế chuyên khoa hoặc các chuyên gia tâm lý để được tư vấn và điều trị kịp thời.
Việc giáo dục giới tính cho thanh thiếu niên, đặc biệt là nam giới, là vô cùng quan trọng để giúp trẻ hiểu rõ về cơ thể, các nguy cơ tiềm ẩn và cách bảo vệ sức khỏe của bản thân.
