Theo thông từ Bệnh viện Bệnh Nhiệt đới Trung ương, nam bệnh nhân T.V.N, 69 tuổi (Hà Nội) thường xuyên mệt mỏi, gây sút cân nên đến đến bệnh viện thăm khám.
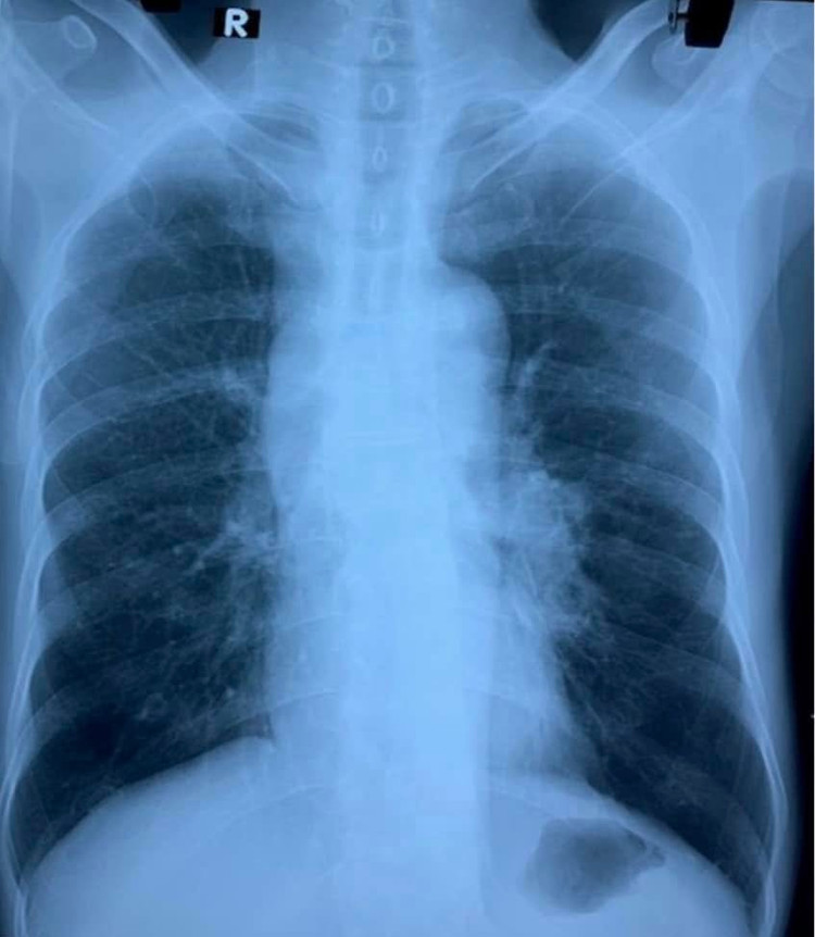
Qua thăm khám, bệnh nhân N. được bác sĩ chỉ định làm các xét nghiệm, siêu âm và chụp X quang. Kết quả phim X quang phổi thường cho thấy rốn phổi trái tăng đậm hơn so với bên phải.
![]() |
| Ảnh chụp X-quang phổi người bệnh. Ảnh: BVCC. |
Bệnh nhân được chỉ định chụp cắt lớp vi tính lồng ngực. Hình ảnh cho thấy khối vùng trung thất và rốn phổi trái, bờ không đều, ngấm thuốc ở thành khối và vào các vách bên trong. Tổn thương hướng tới u phổi, dạng u phế quản trung tâm, xâm lấn trung thất, gây hẹp phế quản gốc trái.
Sau khi có kết quả, bệnh nhân N. đã được chuyển đến Bệnh viện chuyên khoa để điều trị tiếp.
![]() |
| Ảnh chụp X-quang phổi người bệnh. Ảnh: BVCC. |
Theo các bác sĩ, Ung thư biểu mô phế quản là loại u hay gặp trong các u phổi ác tính. Phần lớn các trường hợp ung thư khi phát hiện thường muộn, tiên lượng kém, không phẫu thuật cắt bỏ được.
Ung thư biểu mô phế quản có tỷ lệ tử vong cao, là nguyên nhân tử vong hàng đầu trong các loại ung thư. Tuổi thường gặp khoảng 55-60 tuổi. Thuốc lá là yếu tố nguy cơ cao. Ngoài ra là các yếu tố khác như tia xạ, bụi phổi, sẹo phổi cũ, di truyền. Các u phổi ác tính khác cũng được liệt kê như u hạch lympho, u di căn, sarcoma, carcinoid.
Phát hiện khối u giai đoạn sớm là yếu tố quan trọng cho điều trị. Người dân cần được khám sức khỏe định kỳ hàng năm. Với các trường hợp nghi ngờ chụp cắt lớp lồng ngực là chỉ định cần thiết để đánh giá đầy đủ bệnh và tiên lượng.

