Sức khoẻ 360

Lấy u gan phức tạp ở vị trí hiểm hóc cho người đàn ông 63 tuổi

Mắc khối u gan nằm ở vị trí đặc biệt phức tạp, kẹp giữa các mạch máu lớn của gan, nhiều bệnh viện tư vấn không nên phẫu thuật do nguy cơ tai biến cao.

Các bác sĩ Bệnh viện Quân y 175 vừa phẫu thuật thành công cho bệnh nhân N.V.S (63 tuổi, tỉnh Đồng Nai) mắc khối u gan nằm ở vị trí đặc biệt phức tạp, kẹp giữa các mạch máu lớn của gan. Trước đó, bệnh nhân từng được một số cơ sở y tế tư vấn không nên phẫu thuật do nguy cơ tai biến cao.

Theo bệnh nhân, ông có tiền sử viêm gan B và hút thuốc lá nhiều năm. Đầu năm 2024, trong một lần khám sức khỏe tổng quát tại TP HCM, ông siêu âm gan phát hiện tổn thương nhỏ và được khuyến cáo theo dõi định kỳ.

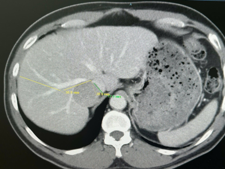
u-gan-phuc-tap.jpg
Khối u gan kích thước lớn nằm ở vị trí phức tạp - Ảnh BVCC

Một năm sau, khi tái khám, siêu âm ghi nhận khối bất thường tại gan. Kết quả chụp cộng hưởng từ (MRI) cho thấy khối u gan kích thước khoảng 4 cm. Do khối u nằm ở vị trí hiểm hóc, bệnh nhân được cả hai bệnh viện tư vấn nên điều trị bằng các phương pháp khác thay vì phẫu thuật vì rủi ro quá lớn.

“Thời điểm biết tình trạng bệnh, tôi và gia đình rất lo lắng vì các bác sĩ cho biết khối u nằm ở vị trí hiểm hóc, việc phẫu thuật rất khó khăn. Tuy nhiên, chỉ có phẫu thuật mới có thể loại bỏ hoàn toàn khối u, nên gia đình vẫn mong muốn phẫu thuật cắt bỏ, dù khối u nằm ở vị trí khó”, bệnh nhân S. chia sẻ.

u-gan-2.jpg
Bác sĩ thăm khám cho bệnh nhân sau phẫu thuật - Ảnh BVCC

Sau đó, bệnh nhân được chuyển đến Bệnh viện Quân y 175 để tiếp tục thăm khám và điều trị. Qua các xét nghiệm và chẩn đoán hình ảnh chuyên sâu, các bác sĩ xác định khối u kích thước khoảng 4 cm nằm sát vây quanh bởi nhiều mạch máu quan trọng, đặc biệt là tĩnh mạch gan phải và tĩnh mạch chủ dưới.

Vị trí này khiến việc tiếp cận và cắt bỏ khối u trở nên rất khó khăn, bởi chỉ cần một sai sót nhỏ cũng có thể gây tổn thương mạch máu dẫn tới chảy máu lớn, nguy hiểm tới tính mạng người bệnh.

u-gan-phuc-tap-1.jpg
Ca phẫu thuật cho bệnh nhân - Ảnh BVCC

Sau khi hội chẩn đa chuyên khoa, các bác sĩ Bệnh viện Quân y 175 đã xây dựng kế hoạch phẫu thuật chi tiết. Các kỹ thuật chẩn đoán hình ảnh hiện đại được sử dụng để đánh giá chính xác mối liên quan giữa khối u và hệ thống mạch máu, từ đó chuẩn bị phương án kiểm soát mạch máu nhằm đảm bảo an toàn cho người bệnh.

Ca phẫu thuật do ê-kíp phẫu thuật gan mật của Bệnh viện Quân y 175 thực hiện. Sau hơn 2,5 giờ phẫu thuật, ê-kíp đã cắt bỏ hoàn toàn khối u, đồng thời bảo tồn an toàn các mạch máu quan trọng như tĩnh mạch gan phải và tĩnh mạch chủ dưới.

Sau phẫu thuật, bệnh nhân hồi phục tốt, chức năng gan ổn định, được xuất viện sau một tuần điều trị.

u-gan-4.jpg
Sau phẫu thuật, bệnh nhân hồi phục tốt, chức năng gan ổn định - Ảnh BVCC

Theo ThS.BSCKI Nguyễn Văn Mạnh – Trưởng Đơn vị Phẫu thuật Gan – Mật – Tụy, người trực tiếp thực hiện ca mổ: “Phẫu thuật cắt gan vẫn là phương pháp điều trị hiệu quả nhất đối với các bệnh lý u gan.

Tuy nhiên, với những khối u ở các vị trí khó, nằm sát hoặc kẹp giữa các mạch máu lớn, việc phẫu thuật đòi hỏi phẫu thuật viên phải có kỹ năng kiểm soát mạch máu tốt và xử lý được các tình huống tổn thương mạch máu lớn có thể xảy ra trong quá trình mổ”.

Thành công của ca phẫu thuật tiếp tục khẳng định năng lực chuyên môn và kinh nghiệm của đội ngũ thầy thuốc Bệnh viện Quân y 175 trong điều trị các ca bệnh khó, phức tạp. đồng thời khẳng định vai trò của bệnh viện tuyến cuối của Quân đội tại khu vực phía Nam trong chăm sóc, bảo vệ sức khỏe bộ đội và nhân dân.

>>> Mời quý độc giả xem video: Hà Nội tích cực cải tạo, hồi sinh sông Tô Lịch. Nguồn Báo và Phát thanh Truyền hình Hà Nội

back to top