Ngày 20/1, Bệnh viện Đa khoa Xuyên Á cho biết, bệnh viện vừa cấp cứu thành công cho người bệnh đột ngột ho ra máu ồ ạt bằng can thiệp thuyên tắc động mạch phế quản số hóa xóa nền DSA..
Theo đó, anh N.V.N (40 tuổi, ngụ Củ Chi) giữa đêm, được vợ đưa vào bệnh viện cấp cứu trong tình trạng tỉnh táo, nhưng 30 phút trước đó thì anh đột ngột ho ra máu ồ ạt màu đỏ tươi với lượng máu khoảng 200ml không rõ nguyên nhân. Theo bệnh nhân cho biết, trước đó anh không hề có vấn đề gì về bệnh lý hô hấp hay tiêu hóa.
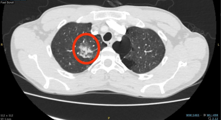
Tại Khoa Cấp Cứu, anh N. được các bác sĩ chỉ định chụp CT lồng ngực ghi nhận có tổn thương vùng đỉnh phổi hai bên, có hình ảnh xuất huyết nhu mô kèm tăng sinh động mạch phế quản thùy trên phổi phải.
Người bệnh được điều trị cầm máu bằng thuốc tạm thời, sau đó chuyển qua Khoa Nội Soi để nội soi phế quản – can thiệp cầm máu cho bệnh nhân.
Trong quá trình nội soi phế quản, ê-kíp ghi nhận có chảy máu từ thùy trên bên phải và được cầm máu qua nội soi ống mềm. Tuy nhiên, sau nội soi phế quản cầm máu, bệnh nhân vẫn còn ho khạc ra máu đỏ tươi, việc cầm máu qua nội soi không giải quyết triệt để.
![]() |
| Hình ảnh CT vùng tổn thương trước can thiệp - Ảnh BVCC |
Theo BS.CKI. Phạm Khắc Tường – Trưởng Khoa Nội Hô Hấp BVĐK Xuyên Á cho biết: “Trường hợp của bệnh nhân N. là tình trạng ho ra máu lượng nhiều, chưa có tiền căn bệnh phổi nhưng người bệnh hút thuốc lá khá nhiều khiến khí phế thủng rải rác ở thùy vùng trên phổi hai bên, tổn thương phổi bên phải.”
Trước tình huống này, các bác sĩ khoa Nội Hô hấp, Nội Tổng Quát và Can Thiệp Mạch đã tiến hành hội chẩn, xác định đây là tình trạng ho ra máu nặng kèm tăng sinh động mạch phế quản bên phải.
Sau cuộc hội chẩn, ê-kíp thống nhất phương pháp điều trị cho bệnh nhân đó là nút động mạch phế quản phải dưới hướng dẫn của hệ thống chụp mạch số hóa xóa nền DSA, giúp kiểm soát và chấm dứt hoàn toàn tình trạng ho ra máu.
![]() |
| Hình ảnh sau can thiệp mạch - Ảnh BVCC |
Chỉ 1 giờ sau ca can thiệp, người bệnh đã tỉnh táo, không còn ho ra máu, không đau ngực hay khó thở. Người bệnh sau đó được chuyển qua Khoa Nội Hô Hấp để tiếp tục theo dõi, chăm sóc và điều trị.
Bệnh nhân được xuất viện sau 5 ngày điều trị kèm theo các lưu ý, dặn dò đó là bỏ thuốc lá, tránh những hoạt động gắng sức và thăm khám định kỳ để đánh giá về lâu dài chức năng phổi.
Theo bác sĩ Tường, nút động mạch phế quản là kỹ thuật cao được thực hiện thường quy tại Bệnh viện Đa khoa Xuyên Á. Cụ thể, việc điều trị nôn ra máu bằng thuyên tắc động mạch phế quản là phương pháp điều trị nội mạch có nhiều ưu điểm như ít xâm lấn, cầm máu ngay lập tức, mang lại hiệu quả điều trị cao và lâu dài, giúp người bệnh phục hồi nhanh chóng.
![]() |
| Thăm khám cho bệnh nhân - Ảnh BVCC |
Phương pháp này cũng đã giúp điều trị thành công cho hàng trăm người bệnh, chấm dứt những cơn ho ra máu kéo dài, nâng cao chất lượng sống và tiết kiệm chi phí điều trị cho người bệnh.”
Đồng thời, thông qua trường hợp này, các bác sĩ Khoa Hô Hấp cũng khuyến cáo, khi một người có tình trạng ho ra máu thì nên đến ngay bệnh viện có chuyên khoa để thăm khám nhằm đánh giá mức độ ho ra máu và lựa chọn phương pháp can thiệp, điều trị kịp thời. Trong một số trường hợp, ho ra máu nặng sẽ khiến người bệnh có nguy cơ tử vong lên đến 50%.


