Biến chứng nặng nề, nguy hiểm
Ngày 18/2, Bệnh viện Đa khoa Quảng Ninh cho biết, trong 2 ngày vừa qua, Bệnh viện liên tiếp tiếp nhận hai trường hợp biến chứng hy hữu do xương cá xuyên thủng đường tiêu hóa chui sâu vào ổ bụng gây ổ áp xe nguy hiểm.
Một trường hợp xuyên thành bàng quang và trường hợp còn lại mắc kẹt ở đầu tụy. Các bác sĩ đã kịp thời phẫu thuật lấy dị vật ra ngoài thành công và xử lý triệt để khối áp xe cho người bệnh.
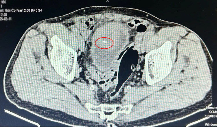
Trường hợp đầu tiên là bệnh nhân V.Đ.C (77 tuổi, ở thị trấn Cái Rồng, huyện Vân Đồn), nhập viện trong tình trạng tiểu khó, đau tức vùng hạ vị kéo dài nhưng không rõ nguyên nhân. Ban đầu, người bệnh chỉ nghĩ rằng mình mắc bệnh lý tiết niệu thông thường. Tuy nhiên, qua siêu âm và chụp cắt lớp vi tính, các bác sĩ phát hiện một khối áp xe ở thành trên bàng quang, bên trong có một dị vật dài, nhọn, nghi là xương cá.
![]() |
| Hình ảnh chụp cắt lớp dị vật nhọn trong bàng quang của bệnh nhân C - Ảnh BVCC |
Kíp mổ khoa Ngoại tiến hành nội soi kiểm tra thấy khối áp xe kích thước 5x6cm đẩy lồi vào trong gây áp xe thành bàng quang. Mở nhỏ bóc gọn khối áp xe ra ngoài và khâu phục hồi bàng quang. Cắt khối áp xe thấy dị vật bên trong là mảnh xương sắc nhọn, dài khoảng 5cm.
Trường hợp thứ 2 là bệnh nhân P.K.Th (56 tuổi) ở Hạ Long, vào viện vì đau bụng thượng vị âm ỉ, kéo dài. Chụp cắt lớp bất ngờ phát hiện một dị vật dài, mảnh, cắm sâu vào đầu tụy gây ổ áp xe. Kíp mổ tiến hành nội soi ổ bụng, tiếp cận hậu cung mạc nối và lấy ra mảnh xương cá dài 4cm cắm vùng đầu tụy.
Hiện tại, cả hai bệnh nhân đều hồi phục tốt, hết đau buốt, các chỉ số xét nghiệm ổn định và dự kiến sẽ xuất viện trong vài ngày tới.
Xương cá là một trong những dị vật thường gặp nhất trong đường tiêu hóa. Ban đầu chỉ gây cảm giác vướng ở hầu họng, nhưng nếu không được xử trí kịp thời, xương có thể di chuyển xuống thực quản, dạ dày, thậm chí xuyên thủng thành tiêu hóa đi lạc vào các cơ quan khác trong ổ bụng gây áp xe, nhiễm trùng nguy hiểm.
Trường hợp xương cá lạc vào các cơ quan trong ổ bụng như bàng quang, tụy như trên là rất hiếm gặp và có thể gây biến chứng nặng nề, nguy hiểm.
![]() |
| Kíp bác sĩ khoa Ngoại thực hiện nội soi lấy dị vật cho bệnh nhân Th. - Ảnh BVCC |
Chớ nên chủ quan
Bác sĩ CKII Phạm Việt Hùng, Trưởng khoa Ngoại, Bệnh viện Đa khoa tỉnh Quảng Ninh, đánh giá: “Từ Tết đến nay, Bệnh viện Đa khoa tỉnh tiếp nhận rất nhiều ca nhập viện do dị vật đường ăn. Tuy nhiên đây là hai trường hợp biến chứng hy hữu, bởi thông thường dị vật đi qua đường tiêu hóa sẽ bị đào thải ra ngoài hoặc mắc kẹt ở các vị trí phổ biến như thực quản, dạ dày, ruột.
Khi xương cá xuyên thủng thành tiêu hóa, lỗ thủng có thể tự liền lại, nhưng dị vật vẫn tiếp tục di chuyển trong ổ bụng, đến khi mắc kẹt tại một vị trí nào đó như bàng quang, đầu tụy… sẽ gây viêm, áp xe, thậm chí có nguy cơ đe dọa tính mạng.
![]() |
| Bác sĩ CKII Phạm Việt Hùng, Trưởng khoa Ngoại thăm khám lại sau mổ cho bệnh nhân C. - Ảnh BVCC |
Nhiều bệnh nhân hóc xương cá nếu không có triệu chứng rõ ràng, họ thường chủ quan, không đi khám sớm, dẫn đến những biến chứng nghiêm trọng. Rất may mắn, cả hai bệnh nhân lần này đều được phát hiện kịp thời và phẫu thuật thành công, loại bỏ dị vật và làm sạch ổ áp xe, giúp đảm bảo chức năng cơ quan bị tổn thương”.
Những trường hợp hy hữu này cũng là lời cảnh báo về nguy cơ hóc dị vật, đặc biệt ở người cao tuổi, có thể gây hậu quả khôn lường nếu không được phát hiện và xử trí kịp thời.
Khi gặp các triệu chứng bất thường như tiểu khó, đau tức bụng kéo dài, người bệnh không nên chủ quan mà cần thăm khám sớm để tránh những biến chứng nguy hiểm.


