Bàng quang là bộ phận chứa nước tiểu nên dấu hiệu khi đi tiểu cũng có thể cảnh báo về bệnh ở bàng quang. Ung thư bàng quang điều trị ở giai đoạn sớm sẽ đem lại tiên lượng sống cao cho người bệnh.
Xương cá là một trong những dị vật thường gặp nhất trong đường tiêu hóa. Nếu không được xử trí kịp thời, xương có thể di chuyển xuống thực quản, dạ dày, xuyên thủng thành tiêu hóa đi các cơ quan khác trong ổ bụng gây áp xe, nhiễm trùng...
Phương pháp dùng kim luồn nhỏ trên xương mu điều trị bế tắc niệu quản hiện chỉ có triển khai duy nhất tại bệnh viện nhi đồng 2 là một cải tiến mang tính đột phá trong các trường hợp nặng, nang to.
Tình trạng đau nhức cơ thể có thể xảy ra do nhiều nguyên nhân khác nhau: nhiễm trùng, bệnh tật hoặc một số loại thuốc nhất định... Xác định được nguyên nhân chính xác gây đau để có biện pháp kiểm soát và điều trị bệnh hiệu quả.
Những biến chứng sau phẫu thuật tuyến tiền liệt có thể gây ảnh hưởng tới sức khỏe và khả năng phục hồi bệnh. Vì thế người bệnh cần theo dõi tình trạng sức khỏe sau mổ và đi khám ngay khi có dấu hiệu bất thường.
Phương pháp phẫu thuật nội soi cắt bàng quang tận gốc, đồng thời tái tạo bàng quang để điều trị triệt để ung thư đảm bảo chữa lành bệnh mà không ảnh hưởng đến chất lượng cuộc sống.
Tiểu tiện là một trong những hoạt động sinh lý của cơ thể để loại thải những chất cặn bã ra ngoài. Vì thế, nhiều người nghĩ rằng đi tiểu nhiều là thận đang làm việc hiệu quả, quá trình lọc nhanh.
Rò bàng quang là một trong những biến chứng thường gặp sau mổ, đặc biệt là sau sinh. Tuy là bệnh khó nói nhưng người bệnh không nên giấu bệnh mà nên sớm đi khám để được điều trị kịp thời, tránh ảnh hưởng xấu tới chất lượng cuộc sống.
Khi mắc túi thừa bàng quang, người bệnh sẽ cảm thấy đau, nhiễm trùng tiết niệu nhiều lần và rối loạn tiểu tiện do nước tiểu không chảy hết ra ngoài mà đọng lại… Bệnh không chỉ gây rất khó chịu mà còn biến chứng nguy hiểm.
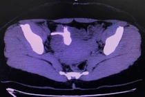
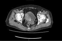
Bàng quang ở người trưởng thành chỉ cần chứa khoảng 500 ml nước tiểu là đã căng to nhưng ở người đàn ông này chứa được hơn 3 lít nước tiểu, gấp 6 lần người thường. Bệnh lý túi thừa bàng quang dễ nhầm lẫn với bệnh lý khác.
Sa tạng chậu là căn bệnh “khó nói” nên khi mắc bệnh, nhiều chị em phụ nữ cảm thấy tự ti, mặc cảm, cố chịu đựng khiến bệnh kéo dài gây biến chứng ảnh hưởng đến sức khỏe cũng như đánh mất cơ hội được chữa khỏi bệnh hoàn toàn.
Nhờ hệ thống cấp cứu ngoại viện và hệ thống báo động đỏ, các bác sĩ đã kịp thời cứu sống cô gái nguy kịch, sốc đa chấn thương... do xe tải cán qua người.
Bị tiểu máu 1 năm nhưng bệnh nhân không đi khám đến khi đái máu, sụt 10kg đi viện thì được chẩn đoán ung thư biểu mô đường niệu phải cắt bỏ thận, niệu quản và bàng quang. Đây là loại ung thư thường gặp, người dân cần chú ý.
Khoảng 5-15 % người ở độ tuổi 20-50 đi tiểu 2 lần một đêm, ở độ tuổi từ 50-70 tỉ lệ này khoảng 20- 30% và khoảng trên 50% ở những người có độ tuổi từ 70 trở lên.
Người phụ nữ 60 tuổi ở Hà Nội đến bệnh viện tuyến huyện để tháo vòng tránh thai sau 20 năm nhưng thất bại. Sau đó, người này lên tuyến trên và được các bác sĩ đã lấy ra được chiếc vòng nằm bọc trong khối u xơ tử cung.