Với sự tiến bộ của y học hiện đại, nhiều bệnh nhân bị ung thư bàng quang đã thoát khỏi án “tử thần” nhờ phương pháp phẫu thuật nội soi cắt bàng quang tận gốc và tạo hình. Một ca bệnh ung thư bàng quang vừa được điều trị thành công tại Khoa Ngoại Tiết Niệu Bệnh viện Đa khoa Xuyên Á bằng phương pháp này.
Đó là trường hợp bệnh nhân P.T.B.A (62 tuổi, Bình Định), hơn một tháng nay bà A. thường xuyên đi tiểu ra máu, ăn uống kém khiến cơ thể mệt mỏi, sụt cân. Bệnh nhân có đi khám tại một cơ sở y tế khác và siêu âm phát hiện bướu bàng quang.
Qua lời giới thiệu từ người thân cũng như được sự tư vấn tận tình của các bác sĩ Khoa Ngoại Tiết Niệu Bệnh viện Đa khoa Xuyên Á, bà A. và gia đình quyết định lựa chọn Bệnh viện Xuyên Á để điều trị.
![]() |
| Bác sĩ động viên bệnh nhân bị bệnh - Ảnh: BVCC |
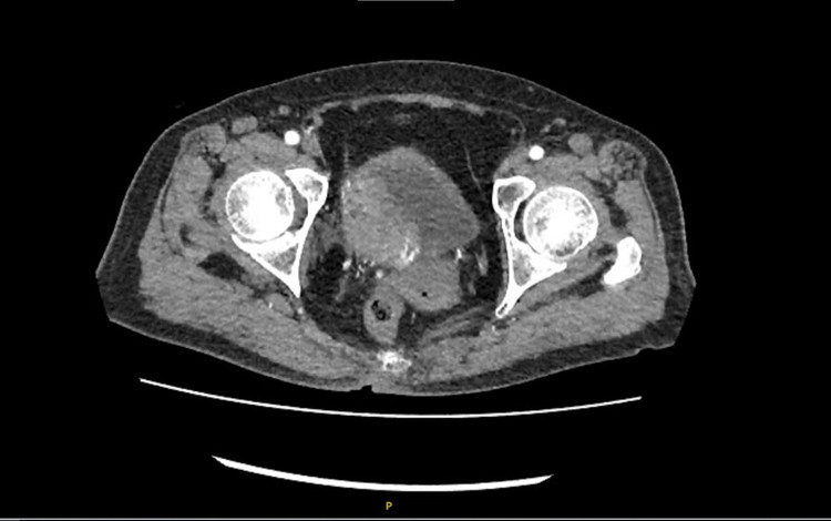
Qua khám lâm sàng và các khảo sát hình ảnh bằng soi bàng quang và chụp MSCT, các bác sĩ xác định nhiều khối u rải rác khắp bàng quang, bướu to nhất thành trái bàng quang có kích thước 3cm, xâm lấn niệu quản phải, thận phải ứ nước độ II cách miệng niệu quản trái gần 5mm, thận phải ứ nước độ II.
Dựa trên kết quả cận lâm sàng, bác sĩ chẩn đoán bệnh nhân bị bướu bàng quang trên nền bệnh tăng huyết áp, rối loạn lipid máu, đái tháo đường type 2.
Để hạn chế tái phát, giảm biến chứng và giúp người bệnh có thể tiểu bình thường sau mổ, các bác sĩ Khoa Ngoại Tiết Niệu đã quyết định phẫu thuật nội soi cắt bỏ bàng quang và tạo hình bàng quang trực vị theo Studer.
![]() |
![]() |
| Hình ảnh tình trạng bệnh của bệnh nhân trên phim chụp |
“Với phương pháp phẫu thuật này, giúp ngăn chặn nguy cơ ung thư di căn. Bên cạnh đó, người bệnh cần được tạo mới một bàng quang nhân tạo làm nơi chứa nước tiểu để đảm bảo hoạt động cơ thể bình thường sau này.” ThS.BS.CKII. Nguyễn Vĩnh Bình - Trưởng Khoa Ngoại Tiết Niệu Bệnh viện Đa khoa Xuyên Á cho biết.
Sau khi cắt bỏ bàng quang bị u xâm lấn, các bác sĩ tỉ mỉ tái tạo một bàng quang mới bằng cách dùng một đoạn ruột non dài 60cm của bệnh nhân tạo thành một túi chứa nước tiểu. Sau hơn 8 giờ tập trung, chính xác trong từng công đoạn, các bác sĩ đã tạo hình bàng quang mới cho bệnh nhân.
Bác sĩ Bình cũng cho biết thêm, các bác sĩ đã dùng phương pháp phẫu thuật nội soi để cắt bỏ bàng quang, bệnh nhân được rạch một đường mổ nhỏ vừa đủ cho các thao tác lấy bệnh phẩm ra ngoài và tạo hình bàng quang mới. Việc này giúp giảm mất máu, giảm tỷ lệ biến chứng phẫu thuật và giúp người bệnh mau hồi phục hơn so với mổ hở truyền thống.
Cuộc phẫu thuật mất nhiều máu và kéo dài nhưng kết quả thành công tốt đẹp. Kết quả giải phẫu bệnh xác định ung thư bàng quang, carcinom niệu mạc độ cao xâm nhập hết lớp cơ bàng quang và quanh dây thần kinh.
Hiện tại, sức khỏe của bệnh nhân đã ổn định, có thể đi tiểu theo đường tự nhiên.
“Đây là một trong những phẫu thuật đặc biệt khó, chuyên sâu trong phẫu thuật tiết niệu. Vì bướu xâm lấn vào mô xung quanh đặc biệt là mạch máu trước xương cùng rất nguy hiểm vì cầm máu vùng này rất khó khăn đôi khi không cầm máu được. Phẫu thuật này đòi hỏi phải được tiến hành ở bệnh viện có trang thiết bị y tế hiện đại, đội ngũ phẫu thuật viên giàu kinh nghiệm, trình độ chuyên môn vững vàng để kiểm soát tốt các tai biến trong và sau mổ” – ThS. BS.CKII. Nguyễn Vĩnh Bình chia sẻ
"Bà con khi có những biểu hiện bất thường về tiểu tiện như tiểu khó, tiểu ra máu… nên đến ngay các cơ sở y tế có chuyên khoa Tiết Niệu để được khám và điều trị." - Các bác sĩ khuyến cáo


