Người nhà sau đó đã nhanh chóng đưa bệnh nhân đến Bệnh viện đa khoa Hùng Vương cấp cứu.
Với các kết quả cận lâm sàng của bệnh nhân, bác sĩ đã tư vấn BN cần nhập viện với chẩn đoán: Nhồi máu cơ tim cấp ST chênh lên giờ thứ 1.
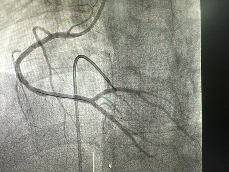
Chụp động mạch vành qua da cho hình ảnh hẹp 95%RCA(p),70%LCX(p),80%OM(p). Bệnh nhân được tiến hành đặt máy tạo nhịp tạm thời chủ động kết hợp can thiệp động mạch vành.
Bác sĩ Piter cùng cộng sự khoa Tim mạch đã thành công đặt 01 stent vị trí RCA(p), sau can thiệp chụp kiểm tra dòng chảy tái thông tốt, BN không còn đau ngực, huyết động ổn định, đã được chuyển về khoa Tim Mạch theo dõi và điều trị.
![]() |
| Bác sĩ Piter thăm khám cho bệnh nhân |
Bác sĩ Piter cho biết: Thông thường, đối tượng có nguy cơ cao mắc bệnh lý tim mạch là những người trên 45 tuổi đối với nam và trên 50 tuổi đối với nữ. Tuy nhiên, bệnh lý này ngày càng trẻ hóa, không ít trường hợp mới ngoài 40, như anh T.H cũng đã bị nhồi máu cơ tim.
Các chuyên gia cho biết, hút thuốc làm tăng nhanh quá trình xơ cứng và thu hẹp trong động mạch. Quá trình này bắt đầu sớm hơn và tăng khả năng hình thành cục máu đông lên cao gấp hai đến bốn lần.
Hút thuốc làm giảm mức cholesterol lipoprotein mật độ cao và làm tăng mức cholesterol lipoprotein mật độ thấp. Nghĩa là giảm sự di chuyển của cholesterol qua cơ thể và góp phần tích lũy của nó trong các động mạch của bạn. Điều này khiến bạn có nguy cơ cao bị đau tim, đột quỵ và mất chân tay.
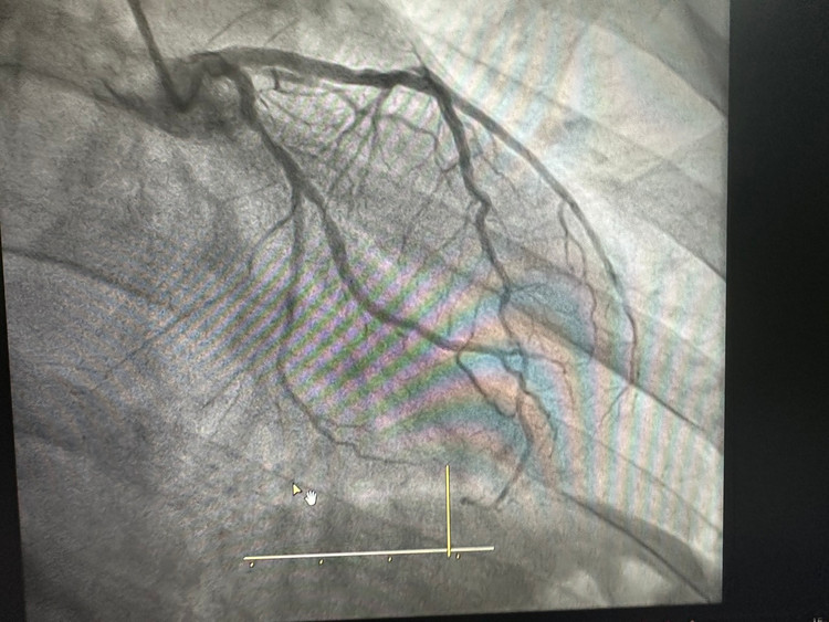
![]() |
| Hình ảnh trước và sau đặt stent |
Hút thuốc làm tăng nguy cơ đột quỵ bằng cách thu hẹp các động mạch trong não và các động mạch cảnh ở cổ dẫn đến não. Ngoài ra, các mạch đến não có thể bị tắc nghẽn do tắc nghẽn hoặc máu đông, có thể dẫn đến đột quỵ và tê liệt.
Nếu các mạch máu bị chặn hoàn toàn đến một phần của não, phần đó sẽ chết. Người bệnh có thể mất khả năng nói, đi lại hoặc di chuyển bình thường hoặc tùy thuộc vào phần não bị ảnh hưởng, đột quỵ có thể gây tử vong.
Đặc biệt, hút song song cả thuốc lá điện tử và thuốc lá thường còn có hại hơn, đó là tăng cao nguy cơ đột quỵ ở tuổi thanh niên và những năm đầu của tuổi trung niên.
Cụ thể, kết quả phân tích dựa trên dữ liệu sức khỏe cho thấy người hút song song 2 loại thuốc lá có nguy cơ đột quỵ gần gấp 3 lần so với người không hút thuốc. Hút thuốc lá thụ động (hít phải khói thuốc người khác) tăng 30% nguy cơ đột quỵ não.
Do đó, người dân nên chủ động thăm khám sức khỏe định kỳ, không được chủ quan với các triệu chứng như thường xuyên khó thở, mệt mỏi, đau tức ngực khi gắng sức…
Đặc biệt, những người có thói quen hút thuốc lá, có tiền sử mắc cao huyết áp, đái tháo đường hoặc từng có người nhà bị bệnh mạch vành cần chủ động tầm soát bệnh tim mạch từ sớm để tránh dẫn đến các trường hợp cấp cứu nguy hiểm. Với bệnh mạch vành, chỉ chậm vài phút cũng có thể nguy hiểm đến tính mạng.

