Ngày 2/4, các bác sĩ Khoa Tim Mạch - Bệnh viện đa khoa Hùng Vương cho biết, vừa can thiệp cấp cứu thành công bệnh nhân nữ 77 tuổi vào viện vì đau ngực trái, cách vào viện 2 ngày bệnh nhân xuất hiện mệt mỏi, đau tức vùng ngực trái âm ỉ, liên tục.
Sáng cùng ngày vào viện, bệnh nhân đau ngực trái tăng lên, lan lên cổ và ra sau lưng, kèm khó thở, mệt mỏi nhiều, được gia đình đưa vào bệnh viện Hùng Vương.
Ngay khi tiếp nhận bệnh nhân với triệu chứng lâm sàng và kết quả điện tim ST chênh lên V1 - V3 các bác sĩ chẩn đoán Bệnh nhân nhồi máu cơ tim cấp ST chênh lên trên nền các bệnh lý: Tăng huyết áp, đái tháo đường type 2, tăng mỡ máu, viêm phổi.
![]() |
| Huyết khối trên phim chụp - ảnh BVCC |
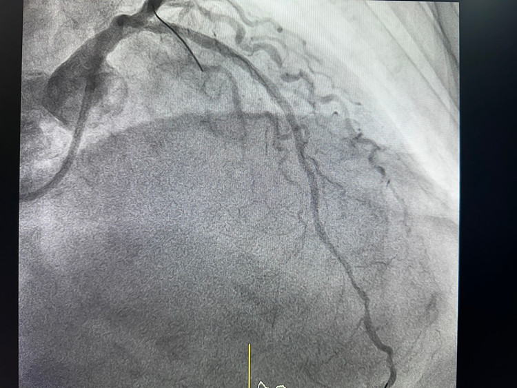
Tiên lượng đây là trường hợp rất nặng nguy hiểm đến tính mạng, bệnh nhân nhanh chóng được chuyển vào Trung tâm tim mạch điện quang can thiệp cấp cứu. Chụp động mạch vành qua da có hình ảnh: Xơ vữa gây hẹp tắc cấp tính hoàn toàn LAD (o), xơ vữa gây hẹp 40% RCA (p), 50% RCA(m).
Các bác sĩ tiến hành hút khối huyết, đặt 01 stent vào LAD , sau khi đặt dòng chảy tái thông tốt. Hiện tại bệnh nhân đã ổn định, được chuyển về khoa tiếp tục theo dõi và điều trị.
![]() |
| Hút huyết khối và đặt stent cứu sống bệnh nhân nhồi máu cơ tim cấp - Ảnh: BVCC |
Trong thực tế lâm sàng có một số lượng bệnh nhân nhồi máu cơ tim ST chênh lên có gánh nặng huyết khối rất lớn gây tắc hoàn toàn động mạch vành. Mặc dù không thường gặp nhưng các trường hợp này là các thách thức cho các bác sĩ can thiệp.
Chúng tôi thực hiện nghiên cứu này với mục tiêu đánh giá hiệu quả và an toàn của hút huyết khối chọn lọc trên những bệnh nhân có gánh nặng huyết khối lớn so với phương pháp can thiệp như truyền thống, không tốn nhiều thời gian nhưng có thể đem lại lợi ích bảo tồn cơ tim nhiều hơn.
Các chuyên gia cho biết, nhồi máu cơ tim cấp là bệnh lý tim mạch cấp tính có xu hướng tăng cao và là một trong những nguyên nhân gây tử vong hàng đầu hiện nay, trong đó rối loạn nhịp tim và sốc tụt huyết áp là nguyên nhân gây tử vong thường gặp nhất của nhồi máu cơ tim cấp (chiếm 5-20%).
![]() |
| Huyết khối được lấy ra - Ảnh BVCC |
Nhồi máu cơ tim cấp thường do nứt vỡ mảng xơ vữa động mạch vành, từ đó hình thành cục máu đông gây tắc nghẽn cấp tính hoàn toàn hoặc gần hoàn toàn động mạch vành. Vùng cơ tim được cấp máu bởi nhánh động mạch vành bị tắc nghẽn sẽ không được tưới máu dẫn đến hoại tử.
Khi đó, tim co bóp kém và bóp không đều gây ra các rối loạn nhịp nguy hiểm, sốc tụt huyết áp có thể gây ngất, đột tử. Có khoảng 10% người bệnh nhồi máu cơ tim cấp có nguy cơ tử vong do không kịp tiếp cận phương pháp can thiệp. Đây là tình trạng nguy hiểm, đe dọa trực tiếp đến tính mạng của người bệnh nên cần được phát hiện và điều trị kịp thời.
Các bác sĩ khuyến cáo đến người dân: Nhồi máu cơ tim cấp ngoài các triệu chứng điển hình như:
- Đau thắt ngực với biểu hiện đè nặng, đau tức, bóp nghẹn ở sau xương ức;
- Khó thở;
- Tim đập nhanh;
- Đổ mồ hôi lạnh; Xây xẩm, chóng mặt
Một số bệnh nhân có triệu chứng như buồn nôn, khó tiêu/ợ chua, khó chịu hoặc đau dạ dày có thể đau lan lên cổ và cánh tay nên người dân rất dễ nhầm lẫn với cơn đau dạ dày.
Chính vì vậy khi có những biểu hiện trên người dân nên đến bệnh viện có chuyên khoa Tim mạch để được kịp thời điều trị.


