Hạt nano gây mê tấn công tế bào thần kinh để ức chế khối u

Các nhà nghiên cứu tại Viện Công nghệ Technion - Israel đã phát triển một phương pháp điều trị sáng tạo cho bệnh ung thư vú, sử dụng các hạt nano gây mê tấn công vào hệ thần kinh.

Trong một nghiên cứu khoa học, được công bố trên Tạp chí Science Advances, GS.TS Avi Schroeder và SV Maya Kaduri của Khoa Kỹ thuật Hóa học Wolfson đưa ra một phương pháp điều trị ung thư vú mới, sử dụng các hạt nano có kích thước phù hợp mang thuốc gây mê tấn công các tế bào thần kinh trong và xung quanh khối u nhằm ức chế sự phát triển và ngăn chặn di căn.

Ung thư vú là một trong những bệnh ung thư phổ biến nhất ở phụ nữ, mặc dù có những đột phá trong chẩn đoán và điều trị, nhưng vẫn có đến 1000 phụ nữ Israel thiệt mạng vì căn bệnh này mỗi năm. Khoảng 15% có độ tuổi dưới 50. Trên toàn thế giới, khoảng 685.000 phụ nữ thiệt mạng do ung thư vú mỗi năm.

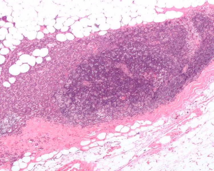
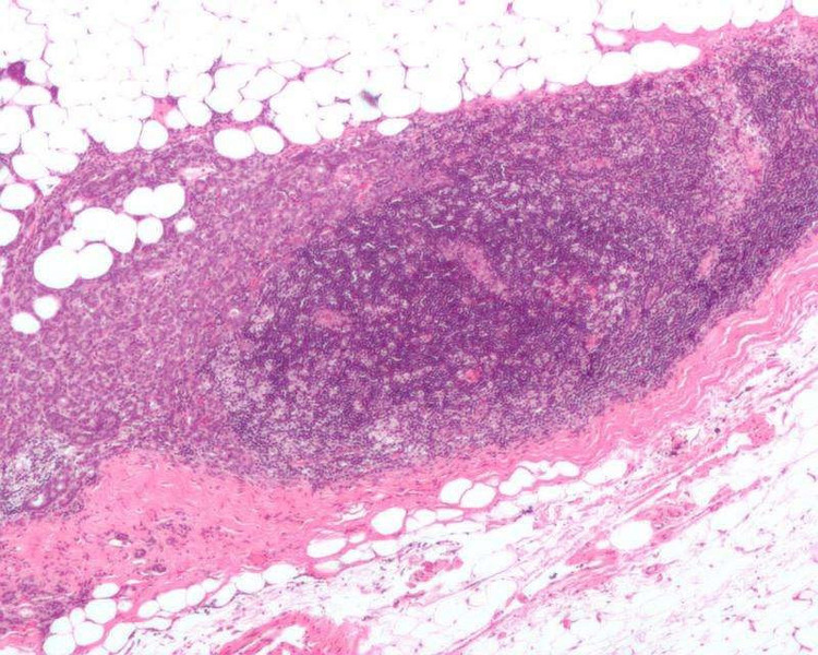
Ảnh hiển vi một hạch bạch huyết bị ung thư biểu mô vú xâm lấn, với phần mở rộng của khối u ra ngoài hạch bạch huyết. Ảnh: Nephron / Wikipedia.

GS Schroeder có nhiều năm kinh nghiệm phát triển các phương pháp điều trị ung thư sáng tạo, trong đó có phương pháp đóng gói các phân tử thuốc trong những hạt nano để vận chuyển đến khối u và giải phóng vào bên trong mà không làm tổn hại đến các mô khỏe mạnh.

Các nhà nghiên cứu phát hiện các tế bào ung thư kích thích sự xâm nhập của những tế bào thần kinh vào khối u, sự xâm nhập này kích thích các tế bào ung tư tăng sinh, phát triển và di căn. Nói cách khác, các tế bào ung thư sử dụng các tế bào thần kinh cho mục đích phát triển.

Dựa trên những phát hiện này, các nhà nghiên cứu đã phát triển một phương pháp điều trị nhắm vào khối u thông qua các tế bào thần kinh. Phương pháp điều trị này tiêm các hạt nano chứa chất gây mê vào máu. Những hạt nano di chuyển qua mạch máu đến khối u, tích tụ xung quanh tế bào thần kinh trong mô ung thư và làm tê liệt các dây thần kinh cùng sự liên lạc giữa các tế bào thần kinh và tế bào ung thư. Kết quả thu được là ức chế sự phát triển của khối u và ngăn chặn di căn.

Các hạt nano sản xuất mô phỏng màng tế bào và được phủ bằng polymer đặc biệt, ngụy trang chống sự phát hiện của hệ thống miễn dịch và cho phép thời gian lưu thông lâu dài trong máu. Mỗi hạt nano có đường kính khoảng 100nm chứa chất gây mê.

Maya Kaduri cho biết, kính thước hạt có ý nghĩa then chốt để thâm nhập vào khối u. Các khối u tăng sinh hình thành mạng các mạch máu mới xung quanh để nhận oxy và chất dinh dưỡng. Nhưng cấu trúc của các mạch máu này bị hư hỏng và có những lỗ kích thước nano cho phép các hạt nano mang thuốc xâm nhập vào khối u.

Chính vì vậy, các hạt gây mê di chuyển trong máu mà không xâm nhập vào mô khỏe mạnh. Chỉ khi đến các mạch máu bị tổn thương của khối u, các hạt nano thuốc mê rò rỉ ra ngoài, tích tụ xung quanh các tế bào thần kinh của mô ung thư và ngắt kết nối tế bào thần kinh khỏi các tế bào ung thư. Đây là phương pháp điều trị rất tập trung và chính xác, cho phép đưa một lượng lớn thuốc gây mê vào cơ thể nhưng không gây hại cho các vùng khỏe mạnh và quan trọng của hệ thần kinh.

Trong các thí nghiệm về nuôi cấy tế bào ung thư và điều trị trên chuột, công nghệ mới không chỉ ức chế sự phát triển của khối u mà cả sự di căn. 

SciTechDaily
Phát biểu của Tổng Bí thư Tô Lâm tại Hội nghị quán triệt các Nghị quyết 79 và 80 của Bộ Chính trị

Phát biểu của Tổng Bí thư Tô Lâm tại Hội nghị quán triệt các Nghị quyết 79 và 80 của Bộ Chính trị

Báo Tri thức và Cuộc sống trân trọng giới thiệu toàn văn phát biểu của Tổng Bí thư Tô Lâm tại Hội nghị toàn quốc nghiên cứu, học tập, quán triệt và triển khai thực hiện Nghị quyết số 79 - NQ/TW về phát triển kinh tế Nhà nước và Nghị quyết số 80 - NQ/TW về phát triển văn hóa Việt Nam của Bộ Chính trị.
back to top