Người dân không nên tự cho ong đốt hoặc đắp lá chữa ung thư tại nhà. Cách chữa trị truyền miệng này không giúp khối u tan biến mà còn đe dọa tính mạng.
Một nghiên cứu cho thấy việc dùng thuốc Camizestrant của AstraZeneca giúp giảm đến 56% nguy cơ bệnh tiến triển hoặc nguy cơ tử vong ở bệnh nhân ung thư vú.
Bệnh u xơ tuyến vú hay còn gọi là bướu sợi tuyến là một tình trạng tăng sinh lành tính không gây hại hoặc nguy hiểm đến tính mạng. Tuy nhiên, bệnh có thể gây khó chịu hoặc không thoải mái cho một số phụ nữ.
Áp dụng phẫu thuật tạo hình tuyến vú bằng vạt da cơ lưng rộng đem lại hiệu quả tốt điều trị triệt căn ung thư vú, đảm bảo tính thẩm mỹ, giúp người bệnh sau phẫu thuật tự tin hơn trong cuộc sống.
Bị bong tróc nhũ hoa, ngứa, tưởng bệnh viêm da và dấu hiệu tiền mãn kinh, người phụ nữ đi khám phát hiện bệnh ung thư vú ít gặp, may mắn đang ở giai đoạn 0.
Vòng một đầy đặn thường được xem là nét đẹp nữ tính. Tuy nhiên, khi sự phát triển có dấu hiệu bất thường, thiếu cân đối quá mức giữa hai bên vú thì có thể do sự xuất hiện của khối u đang âm thầm phát triển trong tuyến vú.
Trong y học hiện đại, phẫu thuật tạo hình không chỉ mang ý nghĩa thẩm mỹ mà còn đóng vai trò quan trọng trong điều trị ung thư. Sau 16 lần hóa trị ung thư vú tái phát, cô gái được phẫu thuật tạo hình để điều trị triệt căn.
Nhiều chị em phụ nữ vẫn luôn băn khoăn về việc mặc áo ngực thường xuyên liệu có thực sự làm tăng nguy cơ ung thư vú hay không? Cách gì ngăn ngừa ung thư vú?
Ung thư vú là căn bệnh ung thư phổ biến nhất ở phụ nữ. Sau phẫu thuật cắt bỏ tuyến vú, nạo vét hạch và xạ trị, nhiều bệnh nhân phải đối mặt với di chứng phù bạch mạch cánh tay.
Ung thư vú là tình trạng bệnh lý do tế bào tuyến vú phát triển không kiểm soát được, tạo ra các khối u ác tính, có khả năng xâm lấn xung quanh và di căn xa.
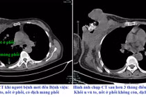
Bệnh viện đa khoa tỉnh Phú Thọ vừa tiếp nhận điều trị cho người bệnh 58 tuổi bị vỡ loét, chảy máu, hoại tử vú phải sau khi đắp thuốc nam điều trị ung thư vú.
Ung thư vú là tình trạng bệnh lý do tế bào tuyến vú phát triển không kiểm soát được, tạo ra các khối u ác tính, có khả năng xâm lấn xung quanh và di căn xa.
Rau họ cải bao gồm rất nhiều loại rau, có các chất chứa các hoạt tính sinh học giúp ngăn ngừa ung thư, đặc biệt là 4 loại ung thư phổ biến: tiền liệt tuyến, đại trực tràng, phổi và ung thư vú.
Một người bị mắc 2 loại ung thư cùng lúc có thể xảy ra. Xác suất cao hơn nếu một trong hai là dạng ung thư phổ biến. Có những người mắc 2 loại ung thư không phải do di truyền hay di căn...