Đi cắt cỏ bị dây thép gai đâm vào tim

Các bác sĩ bệnh viện Đa khoa Trung ương Cần Thơ đã phẫu thuật gắp đoạn gắp đoạn kim loại dài 4x0,4 cm, máu phun ra thành tia trong tim một bệnh nhân đi cắt cỏ cắt phải dây kẽm gai, dây đứt xuyên vào.

Đó là trường hợp bệnh nhân H. V. B., 35 tuổi, ở Cần Thơ đang làm việc ở Phú Quốc, Kiên Giang. Anh B. đi cắt cỏ ở hàng rào, không may cắt phải dây kẽm gai, dây đứt xuyên vào bụng, sau đó có vết thương và đau nhẹ, chủ quan không đi khám nhưng thật bất ngờ....

12 giờ sau, anh B. thấy mệt, khó thở, đau nhói ngực ngày càng nhiều anh đã đến bệnh viện địa phương khám sau đó được chuyển viện đến BVĐK Trung ương Cần Thơ.

sat-trong-tim.jpg
Đi cắt cỏ bị dây thép gai đâm vào tim

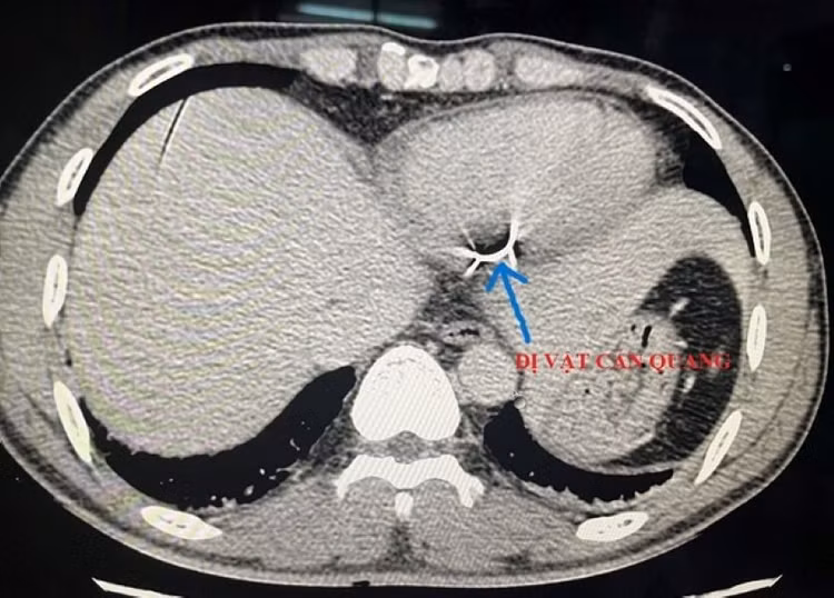
Kết quả cận lâm sàng ghi nhận 1 dị vật dài 4x0.4 cm nằm dọc thành sau thất trái và có thông vào buồng tim. Bệnh nhân được chỉ định phẫu thuật cấp cứu.

Ê-kíp phẫu thuật của BV đã tiến hành mở màng ngoài tim, thấy máu loãng và máu cục, có nhiều giả mạc dọc bờ tim phải và mặt sau tim.

Qua quan sát thấy cơ hoành có 1 vết thương nhỏ đã bít lại, thành sau thất trái bầm giập khoảng 3x3 cm có giả mạc, trên thành cơ tim có vết thương nhỏ, sờ trên bề mặt thành sau thất trái thấy dị vật, tiến hành gắp dị vật là một đoạn kim loại dài 4x0,4 cm, máu phun ra thành tia. Các bác sĩ đã khâu vết thương thành sau thất trái, kiểm tra cầm máu kỹ, bơm rửa khoang màng ngoài tim, đóng màng ngoài tim…Phẫu thuật diễn ra thành công sau 2 giờ.

BSCKII. Trần Công Chất, Trưởng khoa Ngoại lồng ngực – mạch máu, Bệnh viện Đa khoa TƯ Cần thơ cho biết, trường hợp bệnh nhân này khá hy hữu vì với vị trí tổn thương như trên , tổn thương trực tiếp thường gặp là gan, ruột, tuy nhiên bệnh nhân chỉ có vết thương tim ở vị trí phức tạp.

Vết thương tim là một tổn thương rất nặng, được xem là một cấp cứu khẩn cấp trong ngoại khoa về phẫu thuật lồng ngực tim mạch. Đây là những tổn thương có tỷ lệ tử vong cao nếu không được chẩn đoán và xử trí kịp thời. Rất may bệnh nhận được cấp cứu và xử trí kịp thời nên đã bảo tồn được mạng sống.

sat-trong-tim-1.jpg
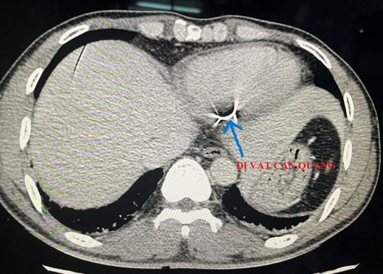
Dị vật được lấy ra khỏi tim

Hiện tại, bệnh nhân tỉnh, tự thở, dấu hiệu sinh tồn ổn định, vết mổ khô, bệnh nhân tiếp tục được theo dõi và điều trị tại Khoa Ngoại Lồng ngực mạch máu.

Các chuyên gia cảnh báo, nguyên nhân của các vụ tai nạn do máy cắt cỏ gây ra phần lớn là do sự chủ quan của người sử dụng. Trong quá trình vận hành, chỉ cần mất tập trung là có thể bị lưỡi máy cắt cỏ văng vào chân hoặc lưỡi máy chạm vào viên đá…

Khi sử dụng máy cắt cỏ phải luôn đi giày kín mũi, mặc quần áo bảo hộ lao động, đeo găng tay và mắt kính an toàn. Bên cạnh đó, người sử dụng cũng cần phải chú ý đến địa hình, tránh những nơi có đá, kim loại và các vật sắc nhọn khác...

Đặc biệt, khi có vết thương trong quá trình sinh hoạt, lao động, người dân cần đến cơ sở y tế để được kiểm tra cẩn thận, phát hiện sớm những tổn thương và xử trí kịp thời.

back to top