Vỡ phình động mạch chủ bụng là một cấp cứu ngoại khoa tối khẩn, tỷ lệ tử vong cao nếu không được phát hiện, xử trí kịp thời.
Bệnh viện Đa khoa tỉnh Quảng Ninh đã cấp cứu thành công một bệnh nhân 85 tuổi vỡ phình động mạch chủ bụng nguy kịch, giành lại sự sống trong gang tấc.
Đau bụng sốc mất máu vì vỡ túi phình
Trường hợp cấp cứu đặc biệt vừa được tiếp nhận tại Bệnh viện Đa khoa tỉnh Quảng Ninh là ông D.X.Q (85 tuổi, trú tại phường Hà Lầm, TP Hạ Long). Bệnh nhân ở nhà xuất hiện đau bụng quanh rốn, đau lan ra sau lưng, mệt mỏi nhiều, choáng váng. Tình trạng đau ngày càng dữ dội, gia đình đã đưa cụ ông đến bệnh viện cấp cứu.
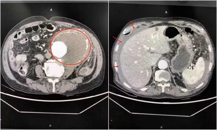
Kết quả chụp cắt lớp vi tính dựng hình mạch cho thấy khối phình động mạch chủ bụng có kích thước khoảng 10cm, có dịch máu trong ổ bụng và quanh khối phình. Các bác sĩ chẩn đoán người bệnh bị vỡ phình động mạch chủ bụng sau phúc mạc và chỉ định phẫu thuật khẩn cấp do sốc mất máu.
![]() |
| Hình ảnh chụp cắt lớp khối phình động mạch chủ bụng và dịch máu tràn ổ bụng do vỡ túi phình - Ảnh BVCC |
Ngay lập tức, bệnh nhân được chuyển phòng mổ. Các kíp phẫu thuật tim mạch và gây mê hồi sức đã chuẩn bị sẵn sàng các phương tiện, vật tư và máu truyền. Trong quá trình phẫu thuật, phẫu thuật viên nhanh chóng mở bụng thấy nhiều máu loãng, khối phình động mạch chủ bụng vỡ được bọc lại đang rỉ máu.
Bệnh nhân được kẹp động mạch chủ trên dưới khối phình, cắt bỏ đoạn mạch vỡ và nối lại động mạch chủ chậu bằng đoạn mạch nhân tạo hình chữ Y. Sau 2 giờ phẫu thuật căng thẳng và truyền tổng cộng 2.000ml máu, ca đại phẫu đã thành công nhờ sự phối hợp nhịp nhàng giữa các kíp chuyên môn.
Sau mổ, bệnh nhân được theo dõi tại khoa Hồi sức tích cực rồi được chuyển về khoa Ngoại để tiếp tục chăm sóc hậu phẫu. Hiện tại, sức khỏe bệnh nhân ổn định, vết mổ liền tốt, gia đình vui mừng vì người thân đã được cứu sống khỏi lưỡi hái tử thần.
![]() |
| Bác sĩ khoa Ngoại kiểm tra lại vết mổ cho cụ ông 85 tuổi bị vỡ phình động mạch chủ bụng - Ảnh BVCC |
Bệnh cực nguy hiểm, tỷ lệ tử vong cao
BSCKII Phạm Việt Hùng, Trưởng khoa Ngoại, Bệnh viện Đa khoa tỉnh Quảng Ninh, cho biết: “Chúng tôi đã cấp cứu nhiều trường hợp vỡ phình động mạch chủ, tỷ lệ tử vong rất cao vì mất máu nhiều do đến muộn, bệnh nhân già yếu. Đây là một trong những ca thành công, mặc dù đặc biệt khó khăn do bệnh nhân đã lớn tuổi, thể trạng suy yếu và có nhiều bệnh lý nền, điều này đặt ra không ít thách thức cho kíp mổ.
Đặc biệt, việc xử trí túi phình khổng lồ khi đã vỡ rất phức tạp, do máu chảy rất nhiều, đòi hỏi phải thực hiện các thao tác bộc lộ vị trí phình vỡ, cắt bỏ, khâu nối mạch máu trong thời gian ngắn nhất mới cứu được bệnh nhân. Mặc dù đây là một ca đại phẫu có mức độ xâm lấn cao, nhưng đây vẫn là phương án tối ưu và hiệu quả lâu dài cho bệnh lý phình động mạch chủ bụng, nhất với những bệnh nhân có điều kiện kinh tế hạn chế”.
Vỡ phình động mạch chủ bụng là tình trạng cực kỳ nguy hiểm, có thể cướp đi tính mạng người bệnh trong thời gian ngắn nếu không được phát hiện và xử trí kịp thời. Trước đây, Bệnh viện Đa khoa tỉnh Quảng Ninh mỗi năm chỉ tiếp nhận một vài ca mắc bệnh lý này. Tuy nhiên, trong những năm gần đây, số lượng ngày càng gia tăng với khoảng 30 – 50 ca phải mổ hay can thiệp mỗi năm. Điều này phản ánh thực trạng đáng báo động về bệnh lý mạch máu nguy hiểm trong cộng đồng, đặc biệt ở nhóm người cao tuổi, có bệnh nền tim mạch, tăng huyết áp, rối loạn mỡ máu.
![]() |
| Người bệnh hồi phục trong niềm vui của gia đình và y bác sĩ điều trị - Ảnh BVCC |
Phình động mạch chủ bụng thường tiến triển âm thầm, không triệu chứng rõ ràng, phần lớn được phát hiện tình cờ qua siêu âm hoặc chẩn đoán hình ảnh. Tuy nhiên, khi túi phình vỡ, người bệnh có thể đột ngột xuất hiện các triệu chứng như đau bụng quặn thắt lan sau lưng, chân tay lạnh, vã mồ hôi, tụt huyết áp và nhanh chóng rơi vào tình trạng sốc mất máu, đe dọa tính mạng.
“Những người thuộc nhóm nguy cơ (tăng huyết áp, xơ vữa động mạch do tuổi cao, hút thuốc lá, nghiện rượu bia, rối loạn mỡ máu...) nên chủ động thăm khám định kỳ tại các cơ sở y tế có chuyên khoa tim mạch – phẫu thuật mạch máu để được tầm soát, chẩn đoán sớm và can thiệp kịp thời, tránh để xảy ra biến chứng vỡ phình nguy hiểm”, các bác sĩ khuyến cáo.


