Hội chứng “trái tim tan vỡ” sau chấn thương sọ não nặng
Tháng 2/2025, khoa Hồi sức Thần kinh - Bệnh viện Trung ương Quân đội 108 đã tiếp nhận 1 bệnh nhân nữ 65 tuổi, vào viện trong tình trạng hôn mê do ngã từ độ cao khoảng 3m từ thang đứng.
Bệnh nhân được chẩn đoán Chấn thương sọ não nặng, được điều trị hồi sức tích cực, tuy nhiên đáp ứng điều trị kém, bệnh nhân còn hôn mê sâu.
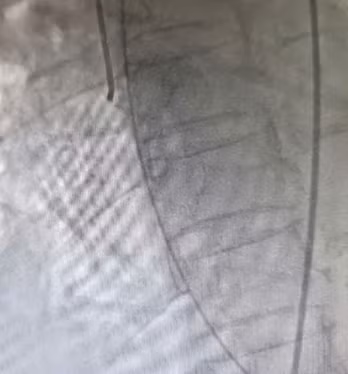
![]() |
| Trước: Hình chụp tâm thất trái cuối tâm thu. Sau: Cuối tâm trương – giảm động vùng mỏm và tăng co bóp ở vùng đáy - Ảnh BVCC |
Ngày thứ 4 sau nhập viện, các triệu chứng của nhồi máu cơ tim cấp tính đột ngột xuất hiện: Biến đổi điện tim (Hình ảnh ST chênh tại toàn bộ các đạo trình thành trước tim); siêu âm tim ghi nhận phân suất tống máu (EF) giảm xuống 56%, thất trái giãn rộng, giảm vận động nặng ở vùng giữa và mỏm tim, xét nghiệm men tim tăng cao.
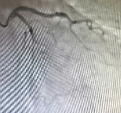
Mặc dù chụp mạch vành không phát hiện tổn thương tắc nghẽn, các bác sĩ tiếp tục quyết định chụp hình ảnh buồng tim. Kết quả cho thấy rối loạn vận động điển hình của hội chứng Takotsubo, với tăng co bóp ở đáy và giảm vận động ở mỏm tim, xác định đây là bệnh cơ tim cấp do căng thẳng.
![]() |
| C: Hình giỏ Takotsubo với đáy tròn cổ hẹp tại Nhật Bản - Ảnh BVCC |
Takotsubo là hình ảnh chiếc bẫy bạch tuộc trong tiếng Nhật. Hội chứng Takotsubo, một dạng bệnh cơ tim cấp, xảy ra do cơ thể phản ứng với căng thẳng cực độ bằng cách giải phóng quá mức catecholamine. Sự gia tăng đột ngột của các hormone này làm co thắt vi mạch và suy giảm chức năng tim, gây ra các triệu chứng giống như nhồi máu cơ tim nhưng không do tắc nghẽn động mạch vành.
Sau khi xác định chẩn đoán, việc sử dụng Noradrenaline để duy trì huyết áp đã làm tăng gánh nặng cho tim, trong khi điều trị Takotsubo đòi hỏi giảm tải cho cơ tim và kiểm soát stress. Các bác sĩ khoa Hồi sức thần kinh, Bệnh viện Trung ương Quân đội 108 đã thận trọng cân nhắc giữa việc duy trì huyết áp ổn định và nguy cơ suy tim cấp, đồng thời theo dõi sát các biến chứng như rối loạn nhịp tim và sốc tim.
Điều trị chấn thương sọ não, cần lưu ý theo dõi sát tim mạch
Theo TS. Lê Đình Toàn, Chủ nhiệm khoa Hồi sức thần kinh, Bệnh viện Trung ương Quân đội 108: “Rối loạn chức năng cơ tim ở nhiều mức độ khác nhau đã được ghi nhận ở những bệnh nhân bị chấn thương sọ não, đặc biệt là chấn thương sọ não nặng.
![]() |
| Hình ảnh hệ động mạch vành không thấy hẹp tắc - Ảnh BVCC |
Tuy nhiên, đây là trường hợp hiếm gặp trong các bệnh cơ tim, các nghiên cứu trên thế giới cũng báo cáo tỷ lệ <1% trong các nhóm bệnh cơ tim tại hồi sức. Ở bệnh nhân cụ thể của chúng tôi, có thể do sự phóng thích catecholamine đột ngột, rối loạn thần kinh tự chủ và phản ứng viêm cùng với việc bắt buộc duy trì vận mạch khiến bệnh nhân mắc hội chứng trên.
Đặc biệt, đây là bệnh nhân nữ, tiền mãn kinh, nhóm bệnh nhân nguy cơ cao nhất của hội chứng này”. Bác sĩ Toàn cho biết thêm: “Việc chẩn đoán thành công ca bệnh này đến từ việc quyết định chụp hình ảnh buồng tim, dù đây không phải xét nghiệm thường quy.
Qua đây, chính là lời nhắc nhở các khi điều trị bệnh nhân chấn thương sọ não, cần phải lưu ý và theo dõi sát sao tình trạng tim mạch của bệnh nhân”.
Hội chứng Takotsubo, hay "trái tim tan vỡ", là suy tim cấp tính tạm thời và có thể hồi phục, gây thay đổi điện tâm đồ và tăng dấu ấn sinh học cơ tim mà không liên quan đến bệnh động mạch vành. Điều trị chủ yếu là kiểm soát huyết động và tăng cường sức bóp cơ tim mà không làm tăng tiêu thụ oxy cơ tim.
Xét nghiệm chẩn đoán hội chứng Takotsubo dựa vào điện tâm đồ, siêu âm tim, men tim và chụp mạch vành. Dù có thể hồi phục, bệnh vẫn có thể dẫn đến suy tim nặng, sốc tim và rối loạn nhịp tim trong giai đoạn cấp tính, với khả năng hồi phục kéo dài từ vài tuần đến vài tháng.
ThS.BS Nguyễn Công Thành (khoa Hồi sức thần kinh, Bệnh viện TƯQĐ 108)


