Mới đây, Trung tâm Y tế huyện Tiên Yên (Phú Thọ) đã thực hiện ca phẫu thuật nội soi hết sức kịch tính và phức tạp, cứu sống bệnh nhân V.T.B 43 tuổi, (thị trấn Tiên Yên, Phú Thọ) khỏi tình trạng ổ cặn và dày dính màng phổi nặng nề. Đây là một trong những ca mổ khó khăn, đầy thử thách.
Bệnh nhân B. nhập viện trong tình trạng ho kéo dài, đau tức ngực trái và khó thở.
![]() |
| Bác sĩ thăm khám lại bệnh nhân sau phẫu thuật. Ảnh TTYT huyện Tiên Yên |
Qua khai thác bệnh sử, cách đây hai tuần, bệnh nhân B. đã gặp phải một tai nạn giao thông nghiêm trọng, chấn thương nặng vùng ngực, kèm theo gãy nhiều xương sườn và đốt sống. Đến nay bệnh nhân xuất hiện các triệu chứng trên và được người nhà đưa vào viện.
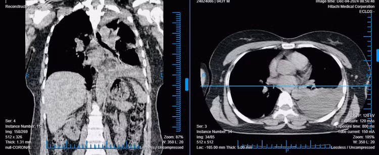
![]() |
| Hình ảnh phổi trước phẫu thuật. Ảnh TTYT huyện Tiên Yên (Phú Thọ) |
Tại đây, chụp cắt lớp lồng ngực cho thấy tình trạng nghiêm trọng: toàn bộ màng phổi trái bị dày dính, với hàng loạt ổ cặn chứa dịch và khí đè nén lên nhu mô phổi, khiến bệnh nhân đối mặt với nguy cơ xẹp phổi nghiêm trọng.
Sau khi hội chẩn và xem xét kỹ lưỡng, các bác sĩ đưa ra chẩn đoán ổ cặn màng phổi – dày dính màng phổi trái, và quyết định tiến hành phẫu thuật nội soi để giải quyết tình trạng này.
Ca phẫu thuật bắt đầu ngay sau khi Ban giám đốc, bác sĩ khoa Ngoại và Gây mê hồi sức có cuộc hội chẩn, phân tích cẩn thận. Trong quá trình phẫu thuật, các phẫu thuật viên phải đối mặt với tình trạng màng phổi trái bị dính chặt, giả mạc và hàng loạt ổ cặn. Mỗi động tác phải thực hiện cực kỳ tỉ mỉ: từ việc hút sạch ổ cặn, bơm rửa màng phổi, cho đến việc gỡ dính từng lớp mô dày.
![]() |
| Hình ảnh phổi sau khi đã phẫu thuật. Ảnh TTYT huyện Tiên Yên (Phú Thọ) |
Ca phẫu thuật nội soi kéo dài hơn một giờ đồng hồ và kết thúc thành công. Sau khi lớp dày dính được giải phóng, phổi của bệnh nhân bắt đầu nở ra tốt hơn. Nhờ vào tay nghề khéo léo của các bác sĩ, bệnh nhân không bị mất máu nhiều, giảm thiểu tối đa nguy cơ biến chứng.
Sau một tuần điều trị và chăm sóc, tình trạng của bệnh nhân đã cải thiện rõ rệt. Bệnh nhân không còn cảm giác đau tức ngực, hết sốt và có thể tự thở dễ dàng.
BS. CKI Trịnh Văn Thủy, Trưởng khoa Ngoại và cũng là người trực tiếp phẫu thuật, cho biết, Ổ cặn màng phổi là một biến chứng nguy hiểm rất thường gặp sau những chấn thương ngực có tràn máu khí khoang màng phổi. Nếu không được xử lý kịp thời, biến chứng này có thể gây xẹp phổi và dày dính màng phổi, ảnh hưởng nghiêm trọng đến chức năng hô hấp, thậm chí có thể đe dọa tính mạng.


