Đó là trường hợp người bệnh P.V.H (63 tuổi) có địa chỉ tại huyện Bố Trạch, tỉnh Quảng Bình. Trước đó, nam bệnh nhân bị tai nạn giao thông và ngã xe. Sau ngã, người bệnh thấy đau đầu, về nhà nằm nghỉ rồi hôn mê nguyên đêm mà cả nhà không hay biết.
Lúc vào viện, người bệnh đã hôn mê rất sâu. Đánh giá tình trạng ý thức (GCS) mức 4 điểm. Với mức điểm này, tỷ lệ tử vong sau mổ của bệnh nhân là 95-97%.
Trước tình hình đó, các bác sĩ khoa Ngoại Thần kinh đã giải thích rõ tiên lượng rất nặng với gia đình người bệnh. Tin tưởng vào tay nghề bác sĩ và chất lượng điều trị tại Bệnh viện, gia đình vẫn "xin được mổ" cho bệnh nhân với hi vọng "còn nước còn tát".
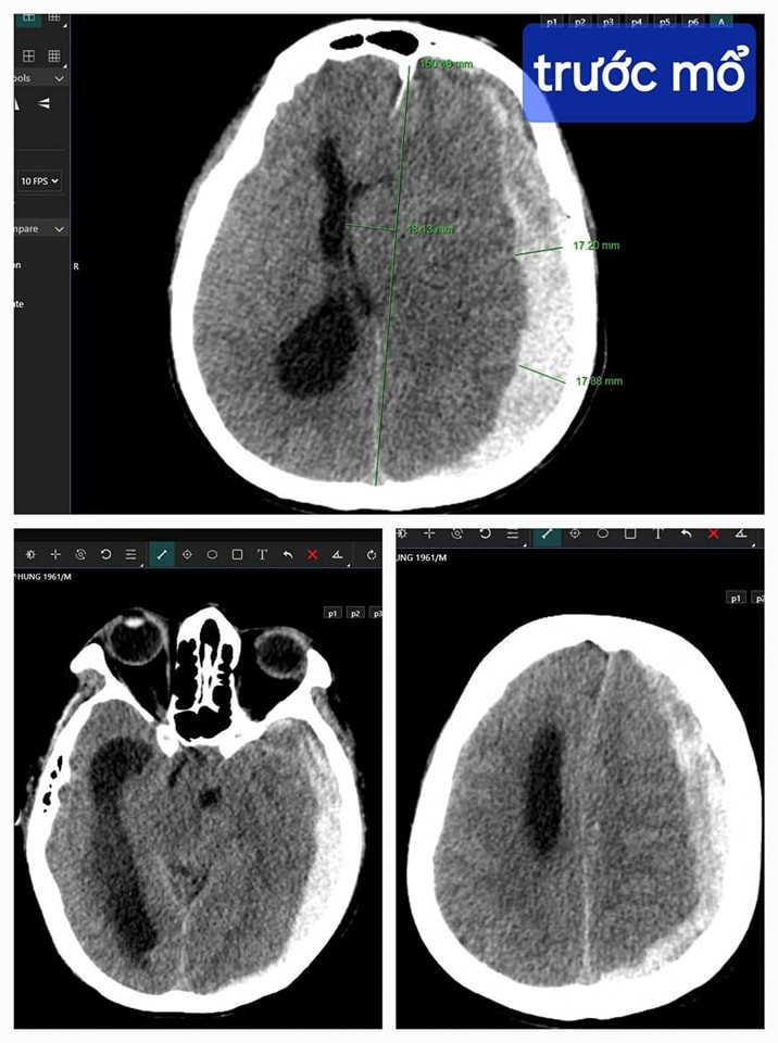
![]() |
| Hình ảnh tổn thương não của bệnh nhân trên phim chụp - Ảnh BVCC |
Bệnh nhân có nhóm máu AB+ (chiếm tỉ lệ ít nhất trong số nhóm máu hệ ABO, Rh dương) nên nguồn dự trữ nhóm máu này tại Bệnh viện không nhiều. Lo ngại với tiểu cầu trước mổ của bệnh nhân là 65G/L, nguy cơ chảy máu trong và sau mổ cao nên trước phẫu thuật, các bác sĩ khoa Ngoại Thần kinh đã phối kết hợp với cán bộ ngân hàng máu kêu gọi người hiến tiểu cầu kịp thời để cuộc mổ được an toàn hơn.
Trong cuộc phẫu thuật, các bác sĩ tiếp tục huy động máu từ nguồn máu dự trữ tại Bệnh viện, vừa huy động người nhà cùng các tình nguyện viên hiến máu.
Người bệnh đã được truyền kịp thời 01 đơn vị tiểu cầu, 04 đơn vị hồng cầu khối, 04 đơn vị huyết tương tươi đông lạnh.
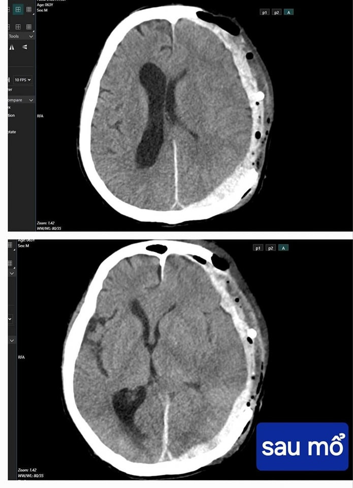
![]() |
| Bệnh nhân hồi phục sau phẫu thuật - Ảnh BVCC |
Bằng sự tận tâm cứu chữa người bệnh của đội ngũ y bác sĩ Bệnh viện Hữu nghị Việt Nam - Cu Ba Đồng Hới cùng sự may mắn của bệnh nhân, sau mổ, người bệnh phục hồi rất tốt và đã được ra viện sau 10 ngày điều trị.
Lúc xuất viện, bệnh nhân trong tình trạng tỉnh táo, không yếu liệt. Đây là một niềm vui to lớn đối với đội ngũ y bác sĩ Bệnh viện và của cả gia đình bệnh nhân.
" Khi có những va đập vùng đầu do tai nạn giao thông hoặc té ngã, nếu có một hay nhiều triệu chứng như đau đầu, chóng mặt, buồn nôn, thay đổi cảm xúc, thay đổi nhận thức,… người dân không nên chủ quan mà cần đi khám, kiểm tra và theo dõi sức khỏe tại các cơ sở y tế uy tín để được chẩn đoán và điều trị, đặc biệt là chấn thương sọ não kín, một dạng chấn thương thường biểu hiện chậm, mờ nhạt và dễ bị bỏ qua." ThS.BSNT Nguyễn Mạnh Linh - Khoa Ngoại Thần kinh - Phẫu thuật viên chính cho người bệnh P.V.H khuyến cáo:

