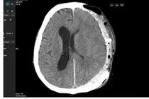
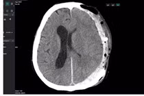
Nhập viện trong tình trạng phần lưỡi kéo sắc nhọn cắm xuyên sọ não, nữ bệnh nhân 25 tuổi được phẫu thuật cấp cứu lấy thành công dị vật ra ngoài an toàn.
Xạ phẫu bằng dao gamma quay được xem là “bước tiến vàng” trong điều trị u não và các bệnh lý sọ não. Ai là đối tượng phù hợp? Vì sao đây được coi là "cứu cánh" cho bệnh nhân không thể phẫu thuật?
Phẫu thuật thần kinh đòi hỏi độ chính xác cao nhất, đặc biệt khi xử lý các tổn thương sọ não do chấn thương hoặc dị vật nội sọ. Nhờ công nghệ tiên tiến định vị chính xác có thể lấy bỏ toàn bộ dị vật.
Ngay trong đêm, các bác sĩ Bệnh viện Đa khoa Hùng Vương Phú Thọ đã sử dụng hơn 40 chiếc đinh vít được sử dụng để hồi sinh khuôn mặt cho bệnh nhân chấn thương sọ não, chấn thương hàm mặt nghiêm trọng.
Một tai nạn hy hữu xảy ra khiến nam bệnh nhân bị đa chấn thương nguy kịch, đứt đôi khí quản kèm vỡ hàm mặt phức tạp, chấn thương sọ não, nguy cơ tử vong cận kề.
Các bác sĩ Bệnh viện Hữu nghị Việt Nam - Cu Ba Đồng Hới đã phẫu thuật cấp cứu, cứu chữa thành công một bệnh nhân bị chấn thương sọ não nặng GCS 4 điểm, tiên lượng rất nặng.
Dị vật xuyên màng não là cấp cứu ngoại khoa nghiêm trọng, tùy theo vị trí tổn thương của dị vật mà có thể dẫn đến các biến chứng nguy hiểm như: yếu liệt chi, rối loạn chức năng sống, áp xe não, thậm chí tử vong.
14 trường hợp đưa vào cấp cứu Bệnh viện E sau vụ tai nạn liên hoàn diễn ra ngày 5/4/2023 tại Xuân La, Tây Hồ, Hà Nội, hiện chỉ còn 8 trường hợp đang điều trị.
(khoahocdoisong.vn) - Chấn thương sọ não nặng được điều trị bằng phẫu thuật, hồi sức hoặc phối hợp. Kết quả hồi sức và điều trị bệnh nhân chấn thương sọ não nặng phụ thuộc vào nhiều yếu tố như tuổi, tình trạng bệnh nhân, tổn thương tại não, tổn thương phối hợp, thời điểm điều trị.
(khoahocdoisong.vn) - Chấn thương sọ não thường bắt nguồn từ các loại chấn thương về não bao gồm chảy máu, chấn động mạnh, rung động não hoặc não bị bầm.