Giới tính - Gia đình

Cứu sản phụ mang song thai 27 tuần nguy kịch vì rau tiền đạo

Rau tiền đạo gây xuất huyết âm đạo bất thường, nhiều trường hợp phải lấy thai ra khi thai nhi chưa có khả năng sống để cứu mẹ.

1 thai chết lưu sau 1 tuần khám thai

Rau tiền đạo là một trong những biến chứng thai kỳ nguy hiểm đe dọa tính mạng mẹ bầu và thai nhi. Để có một thai kỳ khỏe mạnh, sinh nở an toàn, thai phụ cần tuân thủ chặt chẽ lịch khám thai của bác sĩ để phát hiện sớm những bất thường trong thai kỳ, có can thiệp kịp thời và hiệu quả.

Trước đó, Bệnh viện Đa khoa tỉnh Lạng Sơn (BVĐK) đã tiếp nhận thai phụ (34 tuổi, ở xã Tri Lễ) mang song thai 27 tuần, được người nhà đưa đến bệnh viện do ra huyết âm đạo, hoa mắt, chóng mặt, ngất. Thai phụ có tiền sử bệnh Basedow, hiện đang điều trị tăng huyết áp, trước vào viện khoảng 1 tuần, đi khám thai phát hiện rau bám thấp.

Thai phụ vào khoa Phụ sản, Bệnh viện Đa khoa trong tình trạng mắt lồi rõ, 2 chân phù, ra máu âm đạo, niêm mạc nhợt. Qua siêu âm, có 2 thai trong buồng tử cung, trong đó 1 thai sống, trọng lượng khoảng 900g và 1 thai lưu; 1 rau mặt trước bám đáy, 1 rau mặt sau, mép dưới bánh rau bám sát lỗ trong cổ tử cung.

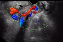
rau-tien-dao-so.jpg
Siêu âm cho sản phụ mang song thai bị rau tiền đạo - Ảnh BVCC

Trước tình thế nguy cấp, các bác sĩ đã tiến hành mổ cấp cứu cho sản phụ. Sau mổ lấy ra một thai đã chết, teo nhỏ và 1 bé trai nặng 800g, không khóc. Các bác sĩ cấp cứu, hồi sức sơ sinh và chuyển bé đến khoa Nhi điều trị tiếp. Sản phụ mất máu nhiều do tử cung co hồi kém, các bác sĩ chỉ định truyền 2 đơn vị máu và được chuyển khoa Hồi sức tích cực – Chống độc điều trị tiếp.

Cần phát hiện sớm những bất thường trong thai kỳ

Các bác sĩ khoa Phụ sản Bệnh viện Đa khoa tỉnh Lạng Sơn nhấn mạnh, thai phụ cần tuân thủ chặt chẽ lịch khám thai của bác sĩ để phát hiện sớm những bất thường trong thai kỳ.

Rau tiền đạo là hiện tượng rau thai nằm ở vị trí thấp nhất của tử cung, làm che mất một phần hoặc toàn bộ cổ tử cung, làm cản đường ra của thai nhi trong quá trình sinh nở. Rau tiền đạo gây xuất huyết âm đạo bất thường, nhưng không hề gây cảm giác đau đớn, thường gặp ở 3 tháng cuối thai kỳ.

Rau tiền đạo nếu không được phát hiện sớm và can thiệp điều trị hiệu quả có thể gây biến chứng băng huyết trong thai kỳ và sau sinh, đe dọa tính mạng thai phụ lẫn thai nhi.

Đối với thai phụ, bệnh gây xuất huyết âm đạo có thể khiến thai phụ bị thiếu máu nghiêm trọng, dễ sinh non. Nhiều trường hợp phải lấy thai ra khi thai nhi chưa có khả năng sống để cứu mẹ vì chảy máu nhiều, có thể phải cắt bỏ tử cung nếu bánh rau bám chặt hoặc xuyên vào cơ tử cung (rau cài răng lược).

Thai phụ bị thiếu máu có thể khiến thai nhi bị suy dinh dưỡng, không được nuôi dưỡng gây suy thai. Trong trường hợp thai phụ bị xuất huyết nghiêm trọng phải cấp cứu, bác sĩ sẽ chỉ định mổ lấy thai khẩn cấp để cứu sống cả thai phụ lẫn thai nhi. Nếu thai nhi chưa đủ ngày đủ tháng sẽ bị sinh non, nguy cơ bị suy hô hấp sau sinh, thậm chí có thể tử vong nếu không được can thiệp hỗ trợ.

Các bác sĩ khoa Phụ sản, Bệnh viện Đa khoa tỉnh Lạng Sơn cho biết, hầu hết các trường hợp rau tiền đạo có thể được phát hiện sớm từ tuần 20 của thai kỳ nhờ vào phương pháp siêu âm thai. Trong quá trình siêu âm, với sự hỗ trợ của nhiều thiết bị hiện đại, bác sĩ có thể quan sát được bánh rau bám vào vị trí nào ở tử cung.

Khi mang thai nếu không may thai phụ bị rau tiền đạo sẽ rất nguy hiểm đến sức khỏe của mẹ và bé trong thai kỳ. Chính vì thế, thai phụ cần tuân thủ chặt chẽ lịch khám thai của bác sĩ để phát hiện sớm những bất thường trong thai kỳ. Đối với các trường hợp đã phát hiện rau tiền đạo, nên nhập viện để được chăm sóc, theo dõi và có can thiệp kịp thời, hiệu quả.

Việc chẩn đoán và điều trị rau tiền đạo cần được thực hiện tại cơ sở y tế có chuyên khoa Sản uy tín, đội ngũ bác sĩ giàu kinh nghiệm, đầy đủ máy móc, thiết bị hiện đại để đảm bảo an toàn cho cả thai phụ và thai nhi.

back to top