Sức khoẻ 360

Chồng tử vong, vợ hôn mê vì đốt than sưởi ấm trong phòng kín

Ngộ độc khí CO là hiểm họa âm thầm trong mùa lạnh dù đã được cảnh báo nhưng nhiều người vẫn phải nhập viện trong tình trạng nguy kịch.

Thời tiết trở lạnh, tại Trung tâm Chống độc, Bệnh viện Bạch Mai liên tiếp ghi nhận nhiều người bệnh vào cấp cứu do ngộ độc khí CO (Carbon monoxide) chủ yếu liên quan đến việc đốt than, củi trong không gian kín để sưởi ấm.

Theo các bác sĩ, mặc dù đã cảnh báo rất nhiều trên các phương tiện truyền thông đại chúng nhưng những ca bệnh đáng tiếc này vẫn liên tục xảy ra trong cộng đồng, gia tăng khi nhiệt độ giảm thời tiết trở lạnh. Hiện trung tâm Chống độc cũng đang điều trị cho một số trường hợp bị ngộ độc khí CO do sưởi ấm trong phòng kín.

Hai bố con ở Hồng Sơn, Hà Nội đốt than củi sau đó mang vào phòng, đóng kín cửa để sưởi ấm và đi ngủ. Khoảng nửa đêm, người em trai bệnh nhân đi làm về và phát hiện hai bố con trong tình trạng tím tái, đau mỏi toàn thân, nôn 1 lần ra thức ăn nên đưa đi cấp cứu. Hai bố con được chẩn đoán ngộ độc khí CO.

khi-co-2.jpg
Bệnh nhân hôn mê do ngộ độc khí CO - Ảnh BVCC

Tiếp đó, bệnh nhân nữ 88 tuổi ở Ninh Bình cũng được chuyển tới Trung tâm Chống độc với chẩn đoán ngộ độc CO. Theo người nhà, khoảng 14h00 ngày 22/1 bệnh nhân có đốt than củi và bê vào phòng kín để sưởi ấm. Trong phòng chỉ có mình người bệnh.

Đến khoảng 16h cùng ngày, người nhà phát hiện bệnh nhân trong trạng thái hôn mê, gọi hỏi không đáp ứng, bên cạnh có chất nôn. Bệnh nhân được đưa vào bệnh viện cơ sở đặt nội khí quản, thở máy, truyền dịch và chuyển tuyến tới Bệnh viện Bạch Mai.

Mới đây, nhất là trường hợp bệnh nhân nữ 43 tuổi ở Hà Nội, nhập viện ngày 26/1 trong tình trạng chậm chạp, nhiễm toan chuyển hóa, tổn thương tim, cơ. Người nhà cho biết bệnh nhân và chồng cùng đốt than trong phòng kín để sưởi ấm, bệnh nhân thì nằm trên giường, chồng bệnh nhân đặt chậu than đang cháy vào lều xông khói trong phòng và ngồi ở trong lều để xông hơi ấm. Bệnh nhân thì lúc tỉnh lúc mê, còn chồng thì đã tử vong sau đó ngay trong phòng.

Bác sĩ điều trị, TS.BS Nguyễn Đăng Đức, Trung tâm Chống độc cho biết, ba trường hợp trên đều đốt than củi để sưởi ấm trong phòng kín dẫn đến ngộ độc khí CO. Hiện các bệnh nhân đang được điều trị hồi sức tích cực, theo dõi, đánh giá các tổn thương và nguy cơ di chứng.

Hiện bệnh nhân nam có tổn thương não. Các bệnh nhân nữ tổn thương tim, suy tim, tiêu cơ tim và nguy cơ di chứng với tâm thần, thần kinh rất cao.

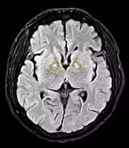
khi-co1.jpg
Hình ảnh tổn thương não của bệnh nhân nam - Ảnh BVCC

Theo TS.BS Nguyễn Trung Nguyên - Giám đốc Trung tâm Chống độc, Bệnh viện Bạch Mai: Khi đốt các nhiên liệu chứa các-bon như củi, than củi, than tổ ong, xăng dầu… trong khu vực kín cửa, nhiên liệu cháy không hết thường sinh ra sinh khí CO (carbon monoxide) là một loại khí rất độc.

Khí CO không màu, không mùi vị nên rất khó nhận biết. Hấp thu vào cơ thể rất nhanh, gây suy sụp gần như tức thì. CO làm máu mất khả năng vận chuyển oxy, bóp nghẹt hô hấp, chuyển hoá tế bào, ức chế cơ tim gây tổn thương não, tim. Nạn nhân có thể bất tỉnh nhanh, không kịp phản ứng hay kêu cứu. Nhất là khi đang ngủ, mọi người sẽ dễ lịm đi mà không biết.

TS.BS Nguyên cho biết thêm: Theo những số liệu nghiên cứu khoa học cho thấy, trong số các bệnh nhân ngộ độc khí CO, kể cả ngộ độc nhẹ, sau này sẽ có tới khoảng 50% sẽ gặp những biến chứng về sức khỏe tâm thần, thần kinh, tổn thương não sau này như sa sút trí tuệ, giảm hoặc mất trí nhớ, rối loạn tâm thần, run tay chân, mất nhận thức, mất vận động, múa vờn, liệt, mù vỏ, parkinson, bệnh lý thần kinh ngoại biên, tiểu không tự chủ.

Mặt khác, một số trường hợp có biểu hiện nôn, đau bụng, dễ nhầm với ngộ độc thực phẩm, dễ bị bỏ sót giai đoạn vàng điều trị. Cần lưu ý hỏi kỹ hoàn cảnh xuất hiện triệu chứng: người bệnh có đang ở trong phòng kín, có đốt than, củi hoặc sử dụng thiết bị chạy nhiên liệu hay không để đưa ra phán đoán kịp thời.

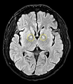
khi-co.jpg
TS.BS Nguyên hội chẩn tổn thương não ở bệnh nhân - Ảnh BVCC

TS.BS Nguyên khuyến cáo với người dân: “Tuyệt đối không đốt các loại than tổ ong, củi, than hoa hay bất kỳ nhiên liệu gì, hoặc sử dụng các máy đốt nhiên liệu, khí gas… để trong không gian kín. Nếu bắt buộc phải sử dụng thì không được sử dụng trong phòng kín, cần mở cửa thoáng để có lưu thông khí đầy đủ.

Một vấn đề khác, hiện cấu trúc nhà ở của người dân nhiều năm nay xây dựng không có hệ thống thông thoát khí, lại đóng kín các cửa.

Ở các nước phát triển, thời tiết lạnh hơn Việt Nam rất nhiều, họ đốt củi trong nhà để sưởi ấm, nhưng đốt trong lò sưởi và có ống khói rất to dẫn lên trên nóc ra ngoài, đồng thời không khí lưu thông một chiều, khí sạch vào cửa bếp, còn khói cháy và khí CO thoát ra ngoài qua ống khói. Thậm chí mỗi nhà có hệ thống thông khí riêng và lắp đặt thiết bị phát hiện khí CO trong nhà.

Hơn thế, có thể thấy hình tượng ông già Noel từ bên ngoài chui được vào trong nhà qua ống khói thì rõ ràng ống khói nhà ở các nước phương Tây rất to đảm bảo dẫn hết khí độc ra ngoài. Để giải quyết căn cơ vấn đề, các cơ quan quản lý phải kiểm soát việc xây dựng nhà đảm bảo hệ thống thông khí đầy đủ, an toàn, chứ không thể để như hiện nay”.

“Khi phát hiện, nghi ngờ người bị ngộ độc, ngạt khí thì việc đầu tiên cần làm là mở thông thoáng tất cả các cửa, để cho khí sạch vào và khí độc ra hết, đảm bảo khu vực đó an toàn rồi đưa người bệnh ra chỗ thoáng.

Trường hợp bệnh nhân hôn mê thì cho nằm nghiêng sang một bên, nếu bất tỉnh, gọi hỏi không đáp ứng, ngừng thở, sờ mạch cổ không thấy thì là ngừng tuần hoàn, cần hô người hỗ trợ cấp cứu và đồng thời tiến hành ép tim (cấp cứu ngừng tuần hoàn) sau đó đưa tới cơ sở y tế gần nhất. Tại các bệnh viện sẽ có những phương pháp điều trị đặc trị và tích cực cho người bệnh”. TS.BS Nguyên nói thêm.

back to top