Giới tính - Gia đình

Chơi nhà hàng xóm, trẻ 11 tháng tuổi nuốt kim may 4cm vào trong tá tràng

Dị vật sắc nhọn trong đường tiêu hóa là tình huống cấp cứu nghiêm trọng, đặc biệt ở trẻ nhỏ. Tuyệt đối không để trẻ tiếp xúc với các vật nhỏ, dễ nuốt.

Bệnh viện Nhi Thái Bình tỉnh Hưng Yên vừa nội soi ngay trong đêm kịp thời gắp thành công kim dài 4cm trong tá tràng bé 11 tháng tuổi.

Nội soi can thiệp cấp cứu ngay trong đêm

Theo đó, chiều tối ngày 01/12/2025, Bệnh viện Nhi Thái Bình tỉnh Hưng Yên tiếp nhận bệnh nhi Đ.H.M, 11 tháng tuổi, trú tại xã Giao Minh, tỉnh Ninh Bình, trong tình trạng nghi ngờ nuốt dị vật là kim may.

Qua khai thác, gia đình cho biết trẻ được bế sang chơi tại nhà hàng xóm, nơi có nhiều vật dụng may mặc; trong lúc nghịch, trẻ vô tình nhặt được chiếc kim may có đầu nhựa tròn và nuốt vào bụng.

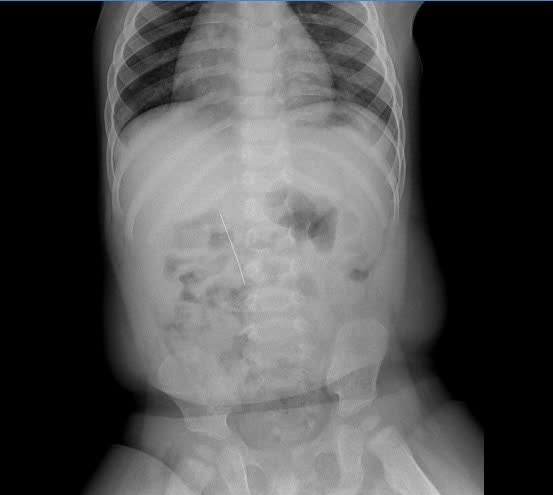
kim-dai.jpg
Hình ảnh chụp X-quang cho thấy dị vật nằm trong ổ bụng rất rõ - Ảnh BVCC

Tại khoa Khám bệnh, bệnh nhân nhanh chóng được tiếp cận, qua thăm khám nhận định: trẻ tinh thần tỉnh táo, tự thở môi hồng, không có hội chứng xâm nhập, không khó thở, bụng mềm và không chướng và chỉ định các xét nghiệm cận lâm sàng.

Kết quả chụp X-quang ổ bụng không chuẩn bị ghi nhận có hình ảnh là dị vật cản quang thẳng, dài, nằm ở vị trí tương ứng các đốt sống L1–L3, phù hợp với dị vật kim may nằm trong đường tiêu hóa. Trẻ được chẩn đoán Dị vật đường tiêu hóa (mã bệnh T18) và chỉ định nhập viện vào khoa Tiêu hóa để theo dõi, hội chẩn và xử trí cấp cứu.

Nhận định mức độ nguy hiểm của dị vật sắc nhọn có thể gây thủng thực quản, dạ dày, tá tràng hoặc biến chứng nhiễm trùng ổ bụng, Khoa Tiêu hóa đã báo cáo bác sĩ trực lãnh đạo và hội chẩn cùng bác sĩ trực chuyên môn khoa Ngoại, khoa Gây mê. Bệnh nhân được chỉ định nội soi can thiệp cấp cứu, tránh nguy cơ dị vật di chuyển sâu và gây tổn thương nghiêm trọng.

kim-dai-1.jpg
Thủ thuật nội soi cho thấy rõ hơn hình ảnh dị vật kim may dài 4cm - Ảnh BVCC

Hình ảnh nội soi quan sát thấy niêm mạc thực quản và dạ dày của trẻ không viêm loét; tại hành tá tràng D1–D2 phát hiện dị vật kim may dài 4cm, một đầu nhọn cắm vào thành tá tràng, một đầu nhựa tròn hình cúc đang nằm trong lòng ruột.

Ê- kíp đã sử dụng thòng lọng chuyên dụng tiếp cận đúng vị trí và gắp dị vật ra ngoài an toàn. Thủ thuật diễn ra thuận lợi, không gây trầy xước, không có biến chứng chảy máu sau gắp dị vật.

kim-dai-2.jpg
Thủ thuật thành công đưa kim may dài 4cm ra ngoài cơ thể bệnh nhi - Ảnh BVCC

Sau can thiệp, trẻ tỉnh, ăn uống bình thường trở lại, bụng mềm, không nôn, không đau và được tiếp tục theo dõi tại khoa Tiêu hóa. Hiện sức khỏe trẻ ổn định. Gia đình bày tỏ sự xúc động và gửi lời cảm ơn tới các bác sĩ của bệnh viện vì đã tiếp nhận, hội chẩn và xử trí nhanh chóng và an toàn cho cháu.

Mẹ của bệnh nhi chia sẻ: “Khi phát hiện cháu nuốt kim, gia đình vô cùng hoảng hốt. Nhưng các bác sĩ tiếp nhận rất nhanh, làm việc khẩn trương và chuyên nghiệp, giúp cháu được an toàn. Gia đình biết ơn bệnh viện rất nhiều”.

Hiện tại bệnh nhi tỉnh, chơi đùa, ăn uống bình thường trở lại.

kim-dai-3.jpg
Hiện tại bệnh nhi tỉnh, chơi đùa, ăn uống bình thường trở lại - Ảnh BVCC

Theo BSCKII Trần Trọng Kiểm – Phó Giám đốc Bệnh viện, dị vật sắc nhọn trong đường tiêu hóa là tình huống cấp cứu nghiêm trọng, đặc biệt ở trẻ nhỏ. Những dị vật như kim may, ghim, pin cúc áo… có thể gây thủng ống tiêu hóa hoặc xuất huyết.

Bác sĩ khuyến cáo phụ huynh tuyệt đối không để trẻ tiếp xúc với các vật nhỏ, dễ nuốt; đồng thời khi nghi ngờ trẻ nuốt dị vật phải đưa đến cơ sở y tế ngay, không tự ý xử trí tại nhà.

back to top