Theo thông tin từ Bệnh viện Đa khoa Medlatec, bệnh nhân N.T.T. 33 tuổi, (Hà Nội) đến bệnh viện khám trong tình trạng đau bắp chân hai bên. Cơn đau được mô tả là căng tức khi đứng lâu, đau tăng khi đi lại. Trước đó bệnh nhân T. không gặp phải bất kỳ chấn thương nào.
Qua khai thác tiền sử bệnh nhân cho biết, cách khoảng 1,5 tháng trước khi vào viện có sử dụng thuốc tránh thai, sử dụng liên tục trong vòng 1 tháng. Khoảng 3 tuần trước vào viện, bệnh nhân xuất hiện tình trạng đau bắp chân.
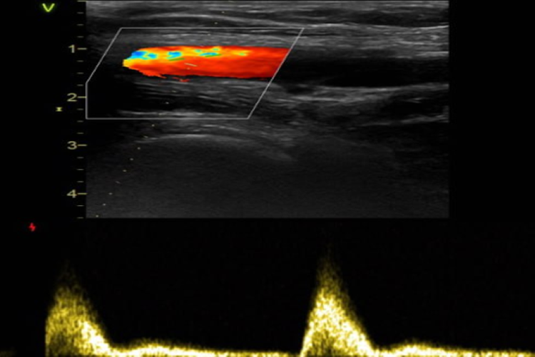
![]() |
| Hình ảnh siêu âm phát hiện tình trạng huyết khối tĩnh mạch chày sau hai bên. Ảnh BVCC |
Bệnh nhân được bác sĩ chỉ định các kỹ thuật cận lâm sàng cần thiết phục vụ quá trình chẩn đoán. Trong đó, hình ảnh siêu âm mạch chi dưới phát hiện tình trạng huyết khối tĩnh mạch chày sau hai bên.
Bệnh nhân T. được chẩn đoán xác định huyết khối tĩnh mạch chày sau hai bên theo dõi do dùng thuốc tránh thai. Bác sĩ tiến hành kê đơn thuốc điều trị cho bệnh nhân và theo dõi sát sao tình hình sức khỏe.
Thuốc tránh thai gây huyết khối bằng cơ chế nào?
Theo ThS.BS Phạm Duy Hưng, Phó Khoa Nội, Bệnh viện Đa khoa Medlatec, thuốc ngừa thai được sử dụng rộng rãi để ngăn ngừa mang thai hoặc điều chỉnh cân bằng nội tiết tố. Nhiều nghiên cứu đã chỉ ra rằng hiệu quả ngừa thai của thuốc tránh thai đường uống có thể lên đến 93%. Chính vì thế đây là phương pháp ngừa thai được đa số chị em phụ nữ lựa chọn bởi hiệu quả ngừa thai cao và dễ sử dụng.
Mặc dù có hiệu quả trong việc tránh thai và bổ sung nội tiết tố nhưng chúng cũng có liên quan đến một số tác dụng phụ ngoài ý muốn, mà đáng chú ý nhất là tăng nguy cơ hình thành huyết khối.
![]() |
| Sử dụng thuốc tránh thai có nguy cơ gây huyết khối. Ảnh minh hoạ |
Thành phần estrogen trong thuốc tránh thai có thể kích hoạt quá trình đông máu thông qua việc tăng nồng độ fibrinogen và prothrombin - những yếu tố thúc đẩy hình thành cục máu đông.
Đồng thời, estrogen cũng làm giảm protein S, một chất ức chế đông máu tự nhiên của cơ thể. Đối với những người mang đột biến gene Factor V Leiden, nguy cơ huyết khối khi dùng thuốc tránh thai có thể tăng gấp 20-30 lần.
Kết quả nghiên cứu cho thấy, phụ nữ dưới 35 tuổi, hút thuốc lá, thừa cân hoặc có tiền sử huyết khối, đột quỵ cần đặc biệt thận trọng khi sử dụng thuốc tránh thai.
BS Duy Hưng khuyến cáo, thuốc tránh thai có hiệu quả và giá trị không thể phủ nhận đối với cộng đồng. Tuy nhiên, theo các số liệu đã được thống kê chung tại các quốc gia, tỷ lệ thuyên tắc huyết khối tĩnh mạch ở phụ nữ dùng thuốc tránh thai tăng gấp 3 - 6 lần so với người không dùng. Đáng chú ý, huyết khối xoang tĩnh mạch não có thể gây biến chứng đột quỵ chảy máu não, hoặc đột quỵ nhồi máu não, hoặc có thể kết hợp cả chảy máu, nhồi máu não. Nguy cơ này tăng cao hơn ở phụ nữ có hút thuốc lá, thừa cân, béo phì; tiền sử gia đình có người bị đột quỵ, huyết khối…
Dùng thuốc tránh thai cần lưu ý gì?
Tại Việt Nam, theo một nghiên cứu của một số bệnh viện đầu ngành sản khoa (năm 2021), gần 50% phụ nữ trong độ tuổi sinh đẻ từng sử dụng thuốc tránh thai, trong đó gần 20% dùng liên tục trên 12 tháng mà không qua thăm khám định kỳ.
Trước thực trạng đó, BS Hưng khuyến cáo, thuốc tránh thai là công cụ hữu ích, nhưng đừng biến nó thành "quả bom hẹn giờ", bằng việc nắm rõ những lưu ý sau: Kiểm tra sức khỏe định kỳ; Tư vấn bác sĩ trước khi dùng thuốc tránh thai, đặc biệt nếu có yếu tố nguy cơ; Tầm soát đột biến gene nếu gia đình có tiền sử rối loạn đông máu; Duy trì lối sống lành mạnh, uống đủ nước và tránh nhịn ăn khi sử dụng thuốc tránh thai.
Các bác sĩ cũng khuyên thuốc tránh thai chỉ thực sự an toàn khi được sử dụng đúng cách và dưới sự theo dõi của bác sĩ. Do đó, hãy lựa chọn phương pháp tránh thai phù hợp và kiểm tra sức khỏe định kỳ để phòng ngừa rủi ro. Bên cạnh thuốc tránh thai, có thể cân nhắc các biện pháp như: đặt vòng tránh thai (IUD), cấy que tránh thai, triệt sản (đối với người không còn nhu cầu sinh con), bao cao su (biện pháp đơn giản, không nội tiết).
Thuốc tránh thai đường uống là công cụ hữu ích nhưng cần sử dụng đúng cách để tránh biến chứng.

