Theo thông tin từ Bệnh viện Sản Nhi tỉnh Quảng Ngãi, tối 29/3, ê-kíp nội soi tiêu hóa của bệnh viện đã thực hiện thành công ca gắp dị vật trong đường tiêu hóa cho một bệnh nhi nam 6 tuổi (Minh Long).
Qua khai thác bệnh sử người nhà bệnh nhi cho biết, trong lúc chơi đùa, bệnh nhi đã vô tình nuốt phải một chiếc đinh dài 3 cm. Sau đó, bệnh nhi có biểu hiện nôn ói nhiều, đau họng. Gia đình lập tức đưa bé đến bệnh viện để cấp cứu.
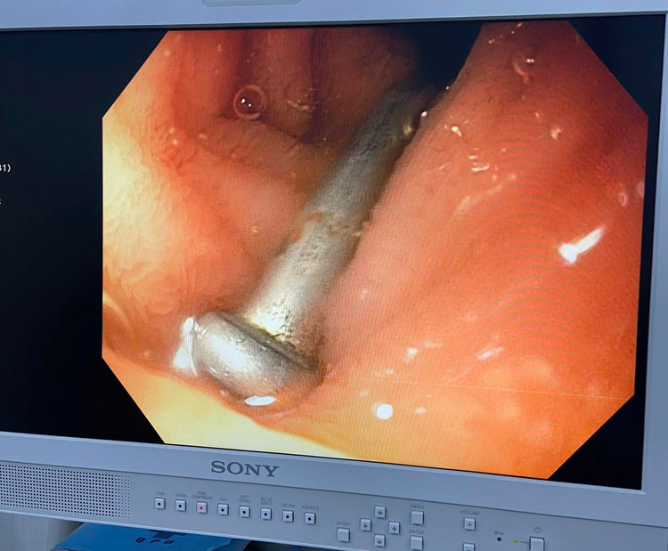
![]() |
| Nội soi phát hiện đinh sắt dài 3 cm nằm trong tá tràng của bệnh nhi. Ảnh BVCC |
Tại bệnh viện, các bác sĩ tiến hành thăm khám, chụp X-quang, siêu âm xác định vị trí dị vật trong đường tiêu hóa. Ngay sau đó, bệnh nhi đã được chuyển đến Khoa Gây mê hồi sức để thực hiện thủ thuật gắp dị vật. Ê-kíp nội soi đã gắp thành công dị vật kim loại được xác định là một chiếc đinh sắt dài 3 cm từ vị trí tá tràng ra khỏi cơ thể của bệnh nhi.
![]() |
| Ê-kíp nội soi tiêu hóa đã gắp cây đinh sắt 3 cm trong tá tràng bé trai 6 tuổi. |
Hiện tại sức khoẻ của bệnh nhi đã ổn định, đang được theo dõi thêm khoa Nhi tiêu hoá.
Khuyến cáo của bác sĩ
Cha mẹ cần tránh để trong tầm với của trẻ những đồ vật dễ làm tổn thương trẻ như ghim băng, khung nhựa, tăm nhọn, đinh vít…. Cha mẹ cũng nên loại bỏ hết xương, hạt trước khi cho trẻ ăn các loại thức ăn có xương hoặc các loại hạt, hoa quả có hạt.
Biểu hiện thường thấy ở trẻ khi bị sặc, hóc, dị vật là: Ho, khạc để cố tống dị vật ra ngoài, tím tái, khó thở, giẫy giụa, mặt đỏ bừng, da tái xanh, chân tay cứng đờ..., nặng thì có thể xuất hiện nước, sữa, canh… trào ra từ mũi, miệng của trẻ và trẻ có thể có những cơn ngừng thở.
Việc xử lý đúng cách và kịp thời của gia đình là điều quan trọng nhất vì chỉ cần chậm 5-6 phút, trẻ sẽ có nguy cơ bị ngừng thở, suy hô hấp.
Ngoài ra, khi trẻ bị hóc, sặc, người lớn cần bình tĩnh, tuyệt đối không dùng tay móc họng trẻ vì hành động này sẽ khiến dị vật đi sâu hơn vào đường thở.
Thay vào đó, cha mẹ hoặc người giữ trẻ cần xử lý nhanh những thao tác một tay giữ bé, một tay dùng lòng bàn tay vỗ thật mạnh 5-7 cái vào lưng bé - chỗ giữa hai xương bả vai.
Việc làm này có tác dụng làm tăng áp lực trong lồng ngực trẻ để đẩy dị vật ra ngoài. Bên cạnh đó, nếu thấy cháo, sữa, canh… chảy ra từ mũi, miệng trẻ thì cha mẹ cần hút kỹ để thông đường thở cho trẻ.
Với trẻ dưới 2 tuổi, cha mẹ có thể dùng phương pháp vỗ lưng ấn ngực, trẻ trên 2 tuổi có thể dùng biện pháp ép bụng.
Trong trường hợp trẻ hôn mê, cha mẹ cần đặt trẻ nằm ngửa đồng thời quỳ gối, nắm 2 bàn tay thành 2 nắm đấm, đột ngột ấn vào dưới xương ức của trẻ. Việc làm này được thực hiện liên tiếp tới khi nào trẻ tỉnh, sau đó khẩn cấp đưa trẻ tới cơ sở y tế gần nhất.
Để bảo vệ an toàn cho trẻ, điều quan trọng nhất là người lớn phải luôn để mắt đến chúng, không để những vật nhỏ, nguy hiểm trong tầm với của trẻ. Nếu phát hiện hoặc nghi ngờ trẻ nuốt vật lạ phải nhanh chóng biện pháp xử lý kịp thời.
Bên cạnh đó, các bậc cha mẹ cũng nên tự học các động tác sơ cứu đơn giản nói trên, đồng thời chỉ nên gửi trẻ vào những nơi trông giữ có uy tín, đảm bảo các điều kiện theo quy định.

