Giới tính - Gia đình

Bé 6 tuổi mang u quái buồng trứng 10cm chứa xương, tóc

U quái buồng trứng là bệnh lý thường gặp ở phụ nữ, tuy nhiên với một bé gái 6 tuổi có khối u buồng trứng kích thước lớn gần 10cm là một trường hợp hiếm gặp.

Các bác sĩ Bệnh viện Đa khoa tỉnh Quảng Ninh vừa qua đã thực hiện phẫu thuật bóc tách khối u quái thành công cho bệnh nhi T.N (6 tuổi) ở TP Hạ Long. Theo gia đình cho biết, gần đây cháu N. ở nhà thường xuyên táo bón, khó đại tiện, thỉnh thoảng thấy bụng có khối cứng khi đói nên đưa đến Bệnh viện Đa khoa tỉnh thăm khám.

Qua siêu âm và chụp cắt lớp vi tính, bác sĩ phát hiện khối u kích thước vùng hạ vị kích thước lớn, ít di động, ấn gây đau tức. Bệnh nhi được chẩn đoán u buồng trứng và chỉ định phẫu thuật cắt u.

Nhận định đây là trường hợp đặc biệt, bé gái còn rất nhỏ tuổi nhưng lại có khối u quái buồng trứng kích thước lớn hiếm gặp. Các bác sĩ khoa Khám chữa bệnh theo yêu cầu hội chẩn với chuyên khoa Ngoại ổ bụng, trao đổi kỹ lưỡng với gia đình và thống nhất thực hiện phẫu thuật xâm lấn tối thiểu để cắt bỏ khối u, đảm bảo an toàn cho bệnh nhi.

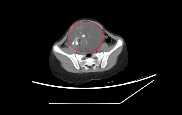
u-quai-buong-trung-6-tuoi-1.jpg
Hình ảnh chụp cắt lớp khối u buồng trứng kích thước lớn của bé gái 6 tuổi - Ảnh BVCC

Kíp mổ khoa Ngoại phối hợp với khoa Gây mê hồi sức thực hiện phẫu thuật. Qua đường rạch nhỏ ổ bụng, phẫu thuật viên khéo léo bóc tách khối u buồng trứng phải kích thước 10 cm, đồng thời cầm máu. Sau hơn 1 giờ, ca mổ diễn ra thuận lợi. Khối u buồng trứng phải đã được bóc tách, cắt bỏ trọn vẹn và đưa ra ngoài.

Nhờ xử trí chính xác nên bệnh nhi không bị mất nhiều máu và được chuyển về khoa Khám chữa bệnh theo yêu cầu để chăm sóc hậu phẫu. Sức khỏe bé gái hồi phục nhanh, vận động tốt và xuất viện sau 5 ngày điều trị.

Kết quả sinh thiết xác định đây là u quái buồng trứng. Đây là khối u lành tính có nguồn gốc phát triển từ các tế bào mầm biệt hóa thành với cấu trúc là các loại bã nhờn, xương, tóc, da…

BS.CKI Nguyễn Tiến Thắng, Trưởng khoa Khám chữa bệnh theo yêu cầu, cho biết: "U quái buồng trứng thường gặp ở nữ giới trong độ tuổi từ 16 đến 35 tuổi, vì vậy trường hợp bé gái mới chỉ 6 tuổi đã có khối u buồng trứng kích thước to là rất hiếm gặp.

Rất may, gia đình đã nhận thấy những dấu hiệu bất thường như bé bị táo bón kéo dài nên đưa đi khám sớm, qua đó phát hiện khối u và can thiệp phẫu thuật kịp thời.

Nhỏ tuổi song khối u khá lớn nên các phẫu thuật viên đã thực hiện bóc tách tỉ mỉ, lấy u ra nguyên vẹn với vết mổ tối thiểu, hạn chế ảnh hưởng đến cơ thể bé còn đang phát triển. Khâu gây mê và chuẩn bị trước mổ cũng được thực hiện cẩn trọng, đảm bảo ca mổ an toàn, hiệu quả”.

u-quai-buong-trung-6t.jpg
Bác sĩ khám lại vết mổ cho bệnh nhi trước khi xuất viện sau 5 ngày điều trị - Ảnh BVCC

Mặc dù u buồng trứng phần lớn là lành tính, nhưng nếu không phát hiện sớm và để phát triển quá lớn, chúng có thể gây chèn ép các cơ quan xung quanh, ảnh hưởng đến sức khỏe và sự phát triển của trẻ, thậm chí dẫn tới biến chứng nguy hiểm như: xoắn u, vỡ u, xuất huyết trong u, suy giảm chức năng sinh sản, hoặc nguy cơ ác tính hóa.

BS.CKI Nguyễn Tiến Thắng nhấn mạnh, u buồng trứng ở bé gái thường khó phát hiện ở giai đoạn mới hình thành hoặc đang phát triển, bởi triệu chứng bệnh âm thầm, dễ nhầm lẫn với bệnh lý khác, do đó, bản thân người bệnh sẽ rất khó phát hiện sớm.

"Việc khám phụ khoa tổng quát định kỳ là điều cần thiết đối với các chị em phụ nữ, kể cả bé gái nhằm kịp thời phát hiện ra những dấu hiện bất thường.

Khi trẻ có các biểu hiện đau tức vùng hạ vị, bụng to bất thường nên đưa con đi khám. Nếu phát hiện ra khối u cần phải đến các cơ sở y tế có đủ năng lực để sớm điều trị triệt để, từ đó giúp bảo tồn chức năng sinh sản, tránh nguy cơ biến chứng ác tính về sau", các bác sĩ Bệnh viện Đa khoa tỉnh Quảng Ninh khuyến cáo.

back to top