Giới tính - Gia đình

Áp dụng thành công thở máy HFO cứu sống trẻ sơ sinh ARDS nặng

Trẻ nhập viện trong tình trạng suy hô hấp tiến triển nhanh, toan hô hấp nặng, suy tuần hoàn, với nguy cơ tử vong rất cao.

Toan hô hấp nặng, nguy cơ tử vong cao

Ngày 22/9, Bệnh viện Đa khoa Đức Giang cho biết, Khoa Sơ sinh vừa điều trị thành công một trường hợp suy hô hấp tiến triển cấp (ARDS) do viêm phổi RSV (+) ở trẻ sơ sinh. Trẻ nhập viện trong tình trạng suy hô hấp tiến triển nhanh, toan hô hấp nặng, suy tuần hoàn, với nguy cơ tử vong rất cao.

may-tho-1.jpg
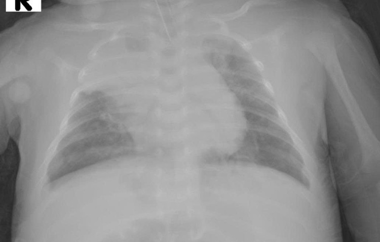
Trẻ bị viêm phổi, suy hô hấp tiến triển nặng - Ảnh BVCC

Trẻ nhi 32 ngày tuổi, nhập viện với chẩn đoán viêm phổi RSV (+), suy hô hấp. Tiền sử bé là trẻ đẻ non 36 tuần có cân nặng lúc sinh 2300gr. Ban đầu trẻ được hỗ trợ thở oxy, nhưng chỉ sau nửa ngày, tình trạng nhanh chóng xấu đi, buộc trẻ phải thở máy không xâm nhập (NCPAP).

Đến cuối ngày thứ 3, bé suy hô hấp nặng, phải đặt ống nội khí quản và thở máy xâm nhập. Tuy nhiên phổi giãn nở kém, tổn thương lan tỏa, khí máu ghi nhận pH 7,1 và pCO₂ 115 mmHg, cho thấy toan hô hấp nặng.

may-tho.jpg
Trẻ được chuyển sang máy thở tần số cao - Ảnh BVCC

Dù đã tối ưu các thông số thở máy thường, tình trạng vẫn không cải thiện, các bác sĩ quyết định chuyển sang thở máy tần số cao (High Frequency Oscillation – HFO), kỹ thuật hồi sức hô hấp hiện đại chỉ định cho các ca suy hô hấp nặng không đáp ứng với thở máy thông thường.

Sau 1,5 ngày thở HFO, phổi trẻ cải thiện rõ rệt, CO₂ giảm dần, khí máu ổn định. Bé được chuyển về thở máy thường theo chiến lược ARDS, cai máy thành công sau 7 ngày và ra viện khỏe mạnh sau hơn 15 ngày điều trị tích cực.

may-tho-2.jpg
Trẻ thở máy tần số cao tại bệnh viện - Ảnh BVCC

Hợp tác quốc tế nâng tầm chuyên môn

Từ năm 2019 đến nay, khoa Sơ sinh Bệnh viện Đa khoa Đức Giang đã được Tổ chức Newborns Vietnam đồng hành, tài trợ đào tạo quốc tế về chuyên môn như: Các Khóa Hồi sức cấp cứu sơ sinh (NLS), hỗ trợ đào tạo chuyên sâu tại Bệnh viện Đa khoa Đức Giang về hồi sức sơ sinh, ổn định trẻ non tháng, kiểm soát nhiễm khuẩn, đặt nội khí quản, bơm surfactant điều trị suy hô hấp.

may-tho-4.jpg
Hợp tác quốc tế trong chăm sóc trẻ sơ sinh - Ảnh BVCC

Ngoài ra, Newborns Vietnam đã hỗ trợ Bệnh viện Đa khoa Đức Giang một số trang thiết bị y tế: máy thở CPAP, giường sưởi sơ sinh, hộp cấp cứu tại phòng sinh, bồn rửa tay tự động, hỗ trợ triển khai các chương trình EENC, Kangaroo, chăm sóc trẻ sinh non và giúp Bệnh viện Đa khoa Đức Giang đạt được danh hiệu “Bệnh viện thực hành nuôi con bằng sữa mẹ xuất sắc” vào tháng 3/2025.

may-tho-3.jpg
Trẻ đã hồi phục về với gia đình - Ảnh BVCC

Sự kết hợp giữa kỹ thuật hồi sức hiện đại và hợp tác quốc tế đã giúp khoa Sơ sinh Bệnh viện Đa khoa Đức Giang trở thành một trong những trung tâm sơ sinh tiên phong của Hà Nội, góp phần giảm tử vong và đem lại cơ hội sống khỏe mạnh cho hàng nghìn trẻ sơ sinh khu vực Bắc Thủ đô và các tỉnh lân cận.

back to top