Thai mới 29 tuần đã bị hội chứng hellp nguy kịch
Bệnh viện Nhân dân Gia Định đã cấp cứu và điều trị thành công trường hợp sản phụ mang thai ở tuần 29 thai kỳ bị Hội chứng HELLP – một biến chứng nặng của bệnh lý tiền sản giật nặng với các dấu hiệu suy thận cấp kèm tràn dịch đa màng.
Sản phụ Diệp Thị Ngọc P., 38 tuổi, nhập viện ngày 29.11.2023 tại bệnh viện Từ Dũ với chẩn đoán con lần 4, thai 29 tuần, tiền sản giật nặng kèm hội chứng HELLP (tán huyết, tăng men gan, giảm tiểu cầu), suy thận cấp kèm tràn dịch đa màng.
Sản phụ được chỉ định mổ lấy thai cấp cứu cùng ngày. Bé trai sinh non chỉ 650gram, được chuyển khoa Sơ Sinh chăm sóc đặc biệt. Sau mổ, tình trạng suy thận cấp của sản phụ tiến triển nặng kèm tổn thương phổi lan toả hai bên và suy hô hấp. Người bệnh được hội chẩn liên bệnh viện với các chuyên gia tim mạch – sản khoa ngày 01/12/2023 và chuyển viện nhanh chóng sang Bệnh viện Nhân dân Gia Định nhằm can thiệp hồi sức tim mạch chuyên sâu.
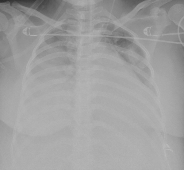
Hình ảnh tổn thương phổi nặng tại thời điểm can thiệp VV-ECMO |
Nhận định về ca bệnh, ThS.BS Giang Minh Nhật – Trưởng đơn vị Hồi sức tích cực tim mạch – Bệnh viện Nhân dân Gia Định cho biết : “Khi được chuyển đến bệnh viện Nhân dân Gia Định, tình trạng suy hô hấp của bệnh nhân diễn tiến nguy hiểm đến tính mạng (hội chứng nguy kịch hô hấp cấp) không đáp ứng thở máy xâm lấn, tổn thương phổi trên Xquang ngực chiếm hơn 80% thể tích phổi.
Sản phụ P. được can thiệp VV-ECMO (oxy hoá máu màng ngoài cơ thể) cấp cứu vì suy hô hấp giảm oxy máu kháng trị. Sau can thiệp VV-ECMO và lọc máu liên tục 14 ngày, tình trạng suy hô hấp và tổn thương thận cấp của sản phụ P. hồi phục ngoạn mục, tổn thương gan, giảm tiểu cầu và tán huyết đều ổn định.
Hội chứng nguy kịch hô hấp cấp (ARDS) chiếm khoảng 8% bệnh nhân có hội chứng HELLP nặng, với nguy cơ tử vong xấp xỉ 50%. Can thiệp ECMO ở sản phụ có hội chứng HELLP thường có nguy cơ chảy máu trong quá trình thủ thuật và theo dõi rất cao do số lượng tiểu cầu trong máu giảm nặng, đòi hỏi cần có chiến lược điều trị kháng đông hợp lý.”
![]() |
| Sản phụ đã dần hồi phục sau 28 ngày đêm cấp cứu |
Phát hiện sớm để tránh tử vong
TS.BS Bùi Chí Thương – Trưởng khối sản – Bệnh viện Nhân dân Gia Định cho biết: “Hội chứng HELLP là một biến chứng hiếm chiếm 0,1% đến 1% các trường hợp mang thai, nhưng rất nguy hiểm trong thai kỳ, bao gồm tán huyết, tăng men gan, và giảm tiểu cầu. Hội chứng HELLP thường đi kèm ở sản phụ có tăng huyết áp trong quá trình mang thai.
Tỉ lệ tử vong hội chứng HELLP giảm rất thấp trong những năm gần đây với nhiều tiến bộ của các kỹ thuật hiện đại cùng sự phối hợp giữa chuyên ngành sản khoa và hồi sức. Hội chứng này thường xuất hiện trong ba tháng cuối của thai kỳ, nhưng có thể xảy ra sớm hơn, hoặc sau khi sinh.
Đối tượng có nguy cơ cao mắc bệnh bao gồm: Phụ nữ trên 35 tuổi; Bị béo phì; Có tiền sử mắc các bệnh tiểu đường hoặc bệnh thận;Bị huyết áp cao trong thai kỳ; Tiền sử mắc tiền sản giật trước khi sinh…”
Hội chứng HELLP biểu hiện các triệu chứng thường gặp: phù chân, tăng huyết áp, thai > 20 tuần ngoài ra còn có các triệu chứng đi kèm như đau thượng vị, đau đầu, mờ mắt, dễ bị kích thích, tăng phản xạ, buồn nôn, nôn, vàng da, xuất huyết dưới da.
Hội chứng HELLP xảy ra ở khoảng 4 – 12% bệnh nhân tiền sản giật, khoảng 30% trường hợp xuất hiện trong những tuần đầu sau sinh. Do đó, dễ nhầm lẫn với các bệnh lý nội khoa như bệnh lý tiêu hóa gan mật, bệnh lý thận, bệnh lý tim mạch…
Phân biệt các bệnh lý này cần phối hợp lâm sàng và cận lâm sàng. Vì thế, sản phụ khi gặp các triệu chứng này, cần đến bác sĩ chuyên khoa sản để được chẩn đoán và can thiệp kịp thời.
Hình ảnh tổn thương phổi nặng tại thời điểm can thiệp VV-ECMO