Sức khoẻ 360

1/5 số ca ung thư ở nam giới là ung thư gan

Điều trị ung thư gan bằng kỹ thuật TACE dưới máy chụp mạch DSA là phương pháp điều trị xâm lấn tối thiểu, không phải mổ, không đau, không mất máu.

Ung thư gan là bệnh ung thư khá phổ biến tại Việt Nam, do tỷ lệ người nhiễm viêm gan virus cao và tình trạng sử dụng rượu bia nhiều.

Theo thống kê của tổ chức Ung thư thế giới (GLOBOCAN) năm 2022, ung thư gan tại Việt Nam có tỷ lệ mắc cao hàng thứ hai tính chung cho cả hai giới. Riêng đối với nam giới, ung thư gan chiếm tỷ lệ cao nhất trong các loại ung thư (khoảng 1/5 số ca, chiếm 19,9%).

Hiện nay, việc điều trị ung thư gan đã có nhiều tiến bộ, từ phẫu thuật cắt gan đến điều trị tại chỗ, điều trị toàn thân và đang trong xu hướng tiếp cận đa chuyên khoa, phối hợp nhiều biện pháp điều trị.

Nút mạch điều trị ung thư gan là một mắt xích rất quan trọng trong điều trị, với mục đích tiêu diệt và kiểm soát khối u tại chỗ, từ đó có thể tiếp tục phối hợp các biện pháp khác nhằm tăng hiệu quả điều trị.

Kỹ thuật nút mạch TACE là phương pháp căn bản trong điều trị ung thư gan hiện nay, được chỉ định khi khối u ở giai đoạn trung gian, không còn chỉ định phẫu thuật hoặc người bệnh từ chối phẫu thuật.

tace-1.jpg
Điều trị ung thư gan bằng kỹ thuật TACE dưới hướng dẫn máy chụp mạch số hóa xóa nền DSA - Hình ảnh mô tả kỹ thuật nút mạch TACE

TACE là phương pháp điều trị xâm lấn tối thiểu, không phải mổ, không đau, không mất máu. Các bác sĩ chỉ cần gây tê tại chỗ, sử dụng các ống thông và dây dẫn luồn qua mạch máu ở cổ tay hoặc ở bẹn đến vị trí mạch máu nuôi khối u dưới hướng dẫn của máy chụp mạch số hóa xóa nền DSA, sau đó bơm hỗn hợp chất diệt khối u và gây tắc mạch nuôi khối u.

tace-2.jpg
Các bác sĩ đang điều trị ung thư gan bằng kỹ thuật TACE dưới hướng dẫn máy chụp mạch số hóa xóa nền DSA - Ảnh BVCC

Các ca bệnh ung thư gan được điều trị bằng kỹ thuật TACE đều được hội chẩn và trao đổi chuyên môn giữa các bác sĩ chuyên khoa Ung bướu và Điện quang can thiệp, nhằm đưa ra phác đồ tối ưu cho người bệnh.

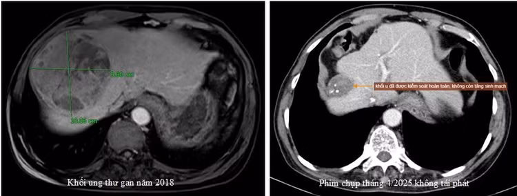
Trường hợp điển hình là người bệnh A.V.Q, 74 tuổi, ở Cẩm Khê – Phú Thọ, phát hiện ung thư gan với kích thước 10cm, đã được nút mạch sử dụng kỹ thuật TACE.

tace-3.jpg
Sau 4 lần thực hiện nút mạch từ năm 2018 đến 2022, duy trì thăm khám, theo dõi thường xuyên, đến nay khối u của bệnh nhân đáp ứng tốt và teo nhỏ, không có sự tái phát - Ảnh BVCC

Hiện tại kỹ thuật TACE thuộc danh mục kỹ thuật được hưởng bảo hiểm y tế chi trả.

TS.BS Trần Quang Lục (Giám đốc Trung tâm Chẩn đoán hình ảnh và Điện quang can thiệp, Bệnh viện Đa khoa tỉnh Phú Thọ)

back to top