Sức khoẻ 360

Viêm não do giun đũa chó mèo lại tưởng con bị hậu COVID-19

ThS.BS Nguyễn Hoài Nam, Khoa Nhi, Bệnh viện Xanh Pôn cho biết, Bệnh viện mới phát hiện và điều trị viêm não do giun đũa chó mèo hiếm gặp cho bé gái 10 tuổi, tiền sử khoẻ mạnh, nhiễm COVID-19 cách 5 tuần.

Khoảng 3 tuần trước vào viện, trẻ đau đầu vùng trán - thái dương 2 bên kèm chóng mặt, buồn nôn. Gia đình nghĩ trẻ bị hậu COVID-19 và đã đi khám 2 lần, chụp chiếu và dùng thuốc không đỡ.

giun-dua-cho-meo.jpg
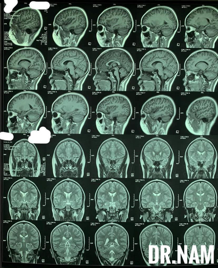
Kết quả với phim MRI sọ não tổn thương chất trắng dưới vỏ thuỳ trán đỉnh 2 bên,

Tại Bệnh viện Xanh Pon, kết quả chụp phim MRI sọ não cho thấy tổn thương chất trắng dưới vỏ thuỳ trán đỉnh 2 bên, xét nghiệm máu có tỷ lệ bạch cầu ưa axit lên đến 10%, trẻ được chọc dịch não tuỷ chẩn đoán và phát hiện dương tính với giun đũa chó mèo trong vòng 24h.

giun-dua-cho-meo-1.jpg
Kết quả xét nghiệm dương tính với giun đũa chó mèo

Sau 5 ngày điều trị bằng Albendazole và Dexamethasone, trẻ hết hoàn toàn đau đầu và dịch não tuỷ về bình thường.

Theo ThS.BS Nguyễn Hoài Nam, người dân đừng bị ám thị bởi HẬU COVID mà bỏ qua các bệnh khác cũng nguy hiểm không kém. Phụ huynh nên quan tâm tới việc tẩy giun định kỳ cho trẻ. 

back to top