Ngừng tim, ngừng thở... vì uống bột hạt sang chữa dạ dày
Bệnh nhân là nữ (67 tuổi, ở Hậu Lộc, Thanh Hóa), có tiền sử viêm dạ dày. Khoảng 17h ngày 28/12/2024, bệnh nhân có uống 2 thìa (thìa ăn cơm) bột hạt sang với mục đích để chữa bệnh dạ dày.
Đến khoảng 17h44, trong lúc đang ăn cơm bệnh nhân xuất hiện co giật, khởi đầu là tay trái, sau tăng dần co giật toàn thân. Trong cơn co giật bệnh nhân tỉnh, gọi người nhà đưa đi cấp cứu tại bệnh viện địa phương.
Khi đến bệnh viện, bệnh nhân trong tình trạng tím tái, ngừng thở, ngừng tim, được cấp cứu khoảng 20 phút thì có lại tuần hoàn. Bệnh nhân tiếp tục được chuyển sang một bệnh viện khác để điều trị. Tại đây, bệnh nhân vẫn xuất hiện nhiều cơn co giật toàn thân, kéo dài 2-3 phút, tình trạng không cải thiện.
![]() |
| Nữ bệnh nhân đang được điều trị tại Trung tâm chống độc - Ảnh BVCC |
Ngày 29/12/2024, bệnh nhân được chuyển đến Trung tâm chống độc của Bệnh viện Bạch Mai để được tiếp tục điều trị. Tại Trung tâm chống độc, bệnh nhân vẫn trong tình trạng hôn mê, được chẩn đoán theo dõi ngộ độc Strychnin.
ThS.BS. Nguyễn Tiến Đạt, Trung tâm chống độc, Bệnh viện Bạch Mai cho biết, trường hợp bệnh nhân nêu trên do bị ngừng tuần hoàn với thời gian khá lâu, khiến não bị thiếu oxy, bị tổn thương nặng. Tiên lượng bệnh nhân rất khó có thể hồi phục, sẽ tiếp tục hôn mê, thời gian về sau chỉ có thể nằm 1 chỗ.
Chất độc Strychnin nguy hiểm thế nào?
ThS.BS Nguyễn Tiến Đạt – cho biết, chất độc Strychnin có trong hạt mã tiền. Loại hạt này có hình dạng, màu sắc rất giống với hạt sang. Rất có thể khi chế biến hạt sang với mục đích chữa bệnh dạ dày, hạt mã tiền đã bị lẫn vào, sau đó bệnh nhân uống nhầm.
“Các kết quả xét nghiệm của bệnh nhân cho thấy, trong người bệnh nhân có chất độc Strychnin. Xét nghiệm loại bột bệnh nhân uống cũng cho kết quả có chứa chất này.
Strychnin vốn là một loại alkaloid chiết xuất từ cây mã tiền. Hạt này thường chỉ được ngâm với rượu, dùng để xoa bóp ngoài da. Hiện, strychnin thường dùng chủ yếu trong các loại thuốc diệt chuột và pha trong các chất cấm như heroin, cocain.
Khi uống phải strychnin, sẽ kích thích tủy sống gây co giật, sau đó dẫn đến suy hô hấp, tiêu cơ vân, ngừng tim.... Nếu không được cấp cứu kịp thời, bệnh nhân có thể sẽ tử vong nhanh chóng", ThS.BS. Nguyễn Tiến Đạt nhấn mạnh
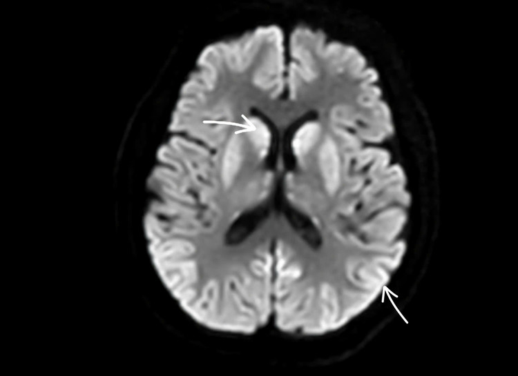
![]() |
| Não bệnh nhân bị tổn thương nặng, rất khó có thể hồi phục. Ảnh: BVCC. |
Vì vậy, bác sĩ Đạt khuyến cáo: Khi có dấu hiệu của bệnh, bệnh nhân cần đến những cơ sở y tế để được thăm khám và điều trị kịp thời.
Trong trường hợp bệnh nhân muốn điều trị bằng các phương pháp y học cổ truyền cũng cần được thăm khám bởi các bác sĩ, lương y,… có giấy phép hành nghề, tại những cơ sở được cấp phép hoạt động. Tránh việc tự ý mua thuốc tại những địa điểm bán hàng trôi nổi, không có nguồn gốc, sẽ rất dễ rước họa vào thân.
Theo lời của người nhà bệnh nhân, loại "thuốc" bột mà bệnh nhân uống được sản xuất tại một cơ sở rất lớn tại địa phương.
Lo ngại việc nhiều người có thể sẽ rơi vào tình trạng tương tự như bệnh nhân kể trên, Trung tâm chống độc của Bệnh viện Bạch Mai đã thông tin đến Sở Y tế tỉnh Thanh Hóa, yêu cầu kiểm tra cơ sở sản xuất này, để tránh những hậu quả nghiêm trọng có thể xảy ra.

