Sức khoẻ 360

Tưởng đột quỵ đi khám không ngờ ung thư phổi di căn não

Ung thư phổi đứng hàng đầu trong số ca mắc và tử vong do ung thư. Bệnh tiến triển âm thầm, ở giai đoạn sớm, ung thư phổi không biểu hiện triệu chứng.

Bà Hoa (62 tuổi) hoa mắt, chóng mặt, ngất xỉu, tê yếu, nằm ngủ mê man 6 tiếng thì khỏe lại, người nhà nghĩ đột quỵ nên đưa bà đến cấp cứu tại Bệnh viện Đa khoa Tâm Anh TP HCM.

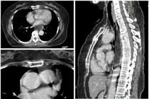
BSCKII Nguyễn Trần Anh Thư, khoa Ung Bướu, Trung tâm Ung Bướu, cho biết kết quả chụp MRI sọ não ghi nhận bà Hoa có khối u lớn 2,5 cm ở vùng trán - đỉnh bên phải gây phù não lan rộng và chèn ép sừng trán não thất phải.

Tiểu não hai bên có hai nốt tổn thương cùng nhiều u nhỏ khác trong não (đa ổ). Các tổn thương này gây ra các triệu chứng khiến người bệnh nhầm lẫn là đột quỵ. Bác sĩ nghi ngờ các khối u ở não do ung thư di căn.

Kết quả chụp CT lồng ngực tiếp tục ghi nhận thùy trên phổi trái của bà Hoa có khối tổn thương kích thước hơn 7 cm, bờ gồ ghề, gây xẹp phổi xung quanh.

Sau hội chẩn, các bác sĩ phẫu thuật thần kinh đã tiến hành mổ não lấy trọn khối u 2,5 cm để giải áp nội sọ, giúp cải thiện các triệu chứng.

Kết quả giải phẫu bệnh tổn thương ở não xác định ung thư biểu mô tuyến của phổi di căn não. Các kết quả kiểm tra sau đó tiếp tục ghi nhận bà Hoa có nhiều khối u di căn ở khắp não, gan, thượng thận, xương.

ung-thu-phoi-di-can-nao.png
Thăm khám cho bệnh nhân tại bệnh viện - Ảnh BVCC

Theo bác sĩ Anh Thư, bệnh được phát hiện ở giai đoạn trễ, mục tiêu điều trị là cải thiện triệu chứng, giảm đau, nâng cao chất lượng cuộc sống.

BS.CKII Bùi Lê Phước Thu Thảo, Phó khoa Xạ trị, Trung tâm Ung bướu, Bệnh viện Đa khoa Tâm Anh TP.HCM, chỉ định xạ trị toàn bộ não với 10 tia. Ê-kíp chọn kỹ thuật xạ trị không đồng phẳng nhằm bảo tồn hồi hải mã, giảm các triệu chứng liên quan đến nhận thức, trí nhớ, cải thiện chất lượng sống cho người bệnh.

Sau các lần xạ trị, triệu chứng cải thiện dần, bà Hoa không còn thấy đau đầu, buồn nôn, chóng mặt, qua đó ăn uống và vận động dễ dàng hơn.

Bác sĩ Anh Thư khuyên, mỗi người nên chủ động khám sức khỏe định kỳ. Nhóm nguy cơ cao như người từ 50 tuổi trở lên, tiền sử hút thuốc lá nên khám sàng lọc, chụp CT phổi liều thấp để kiểm tra sức khỏe phổi, có thể phát hiện sớm các bất thường (nếu có) và điều trị hiệu quả.

Ung thư phổi đứng hàng đầu trong số ca mắc và tử vong do ung thư trên thế giới cũng như tại Việt Nam. Bệnh tiến triển âm thầm, ở giai đoạn sớm, ung thư phổi không biểu hiện triệu chứng. Khi các triệu chứng xuất hiện, thường bệnh đã ở giai đoạn muộn, khối u lan rộng, xâm lấn hệ thống hạch bạch huyết và các cơ quan xa qua hệ thống mạch máu và mạch bạch huyết.

Bác sĩ Anh Thư cho biết, ung thư phổi khi được phát hiện sớm và điều trị đúng hướng, người bệnh có khả năng được chữa khỏi - kiểm soát bệnh, tiên lượng sống cao.

back to top