Sức khoẻ 360

Nuốt nghẹn 6 tháng, nội soi lấy ra khối u mỡ thực quản kích thước khủng

Nếu có dấu hiệu nuốt nghẹn, đau bụng kéo dài, ợ chua, khó tiêu hoặc sút cân bất thường, nên đi khám sớm để chẩn đoán kịp thời.

Nội soi không chỉ là một phương pháp chẩn đoán bệnh hiệu quả, chính xác mà còn là một trong số những biện pháp can thiệp mang lại nhiều lợi ích cho người bệnh. Mới đây, Bệnh viện K đã tiếp nhận, chẩn đoán và điều trị thành công cho trường hợp bệnh nhân có u mỡ thực quản dưới niêm mạc bằng phương pháp nội soi.

Nuốt nghẹn kéo dài vì u mỡ thực quản “kích thước khủng”

Người bệnh Lâm Thị Th. (1966, trú tại thôn Phúc Lộc, xã Đoài Phương, Hà Nội) đến khám tại Bệnh viện K trong tình trạng nuốt nghẹn khó chịu, chán ăn thời gian dài dẫn đến cơ thể mệt mỏi, suy nhược.

Qua thăm khám lâm sàng, các bác sĩ khoa Nội soi - Thăm dò chức năng, Bệnh viện K cho biết người bệnh có khối u thực quản: “Người bệnh vào viện trong trạng thái nuốt nghẹn, đã kéo dài khoảng 6 tháng.

Kết quả cho thấy nguyên nhân là do có một khối u có cuống kích thước lớn trong lòng thực quản gây cản trở khó khăn cho người bệnh trong ăn uống hàng ngày, phải cần can thiệp để loại bỏ được triệt để”.

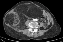
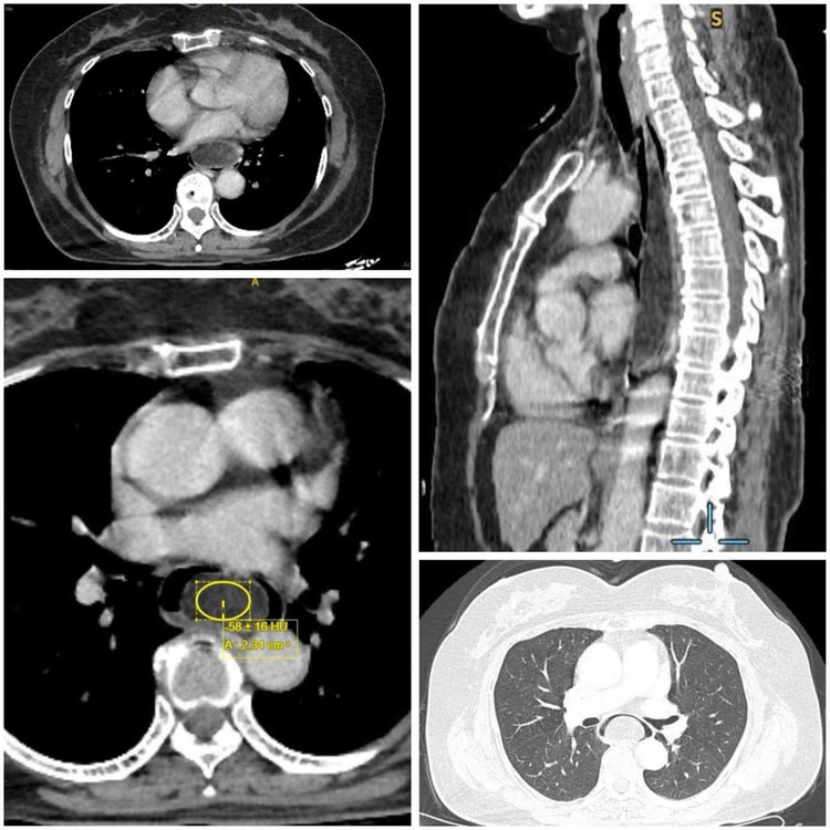
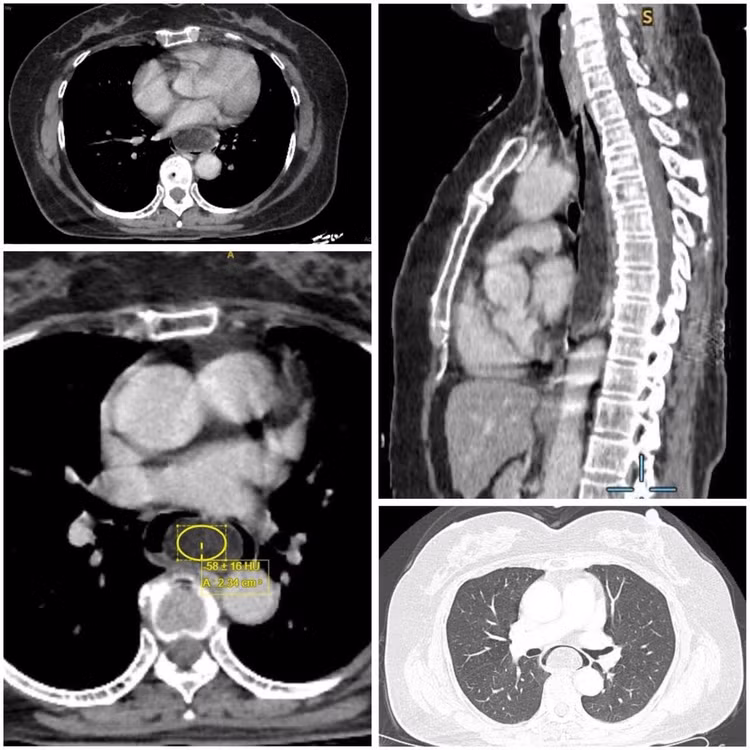
Sau quá trình khám lâm sàng, tìm hiểu diễn biến bệnh, thực hiện nội soi và siêu âm nội soi, các bác sĩ kết luận người bệnh có u mỡ thực quản dưới niêm mạc, kích thước 16 x 3,5 x 3 cm, đây là khối u có kích thước khủng, thông thường các khối u dưới niêm mạc đường tiêu hóa có kích thước thường nhỏ hơn 3cm.

u-mo-thuc-quan-1.jpg
Hình ảnh khu mỡ khủng trong thực quản dưới niêm mạc trên phim chụp - Ảnh BVCC

TS.BS Bùi Ánh Tuyết, Trưởng khoa Nội soi - Thăm dò chức năng, Bệnh viện K cho biết thêm, đây là một trong những ca bệnh hiếm gặp, chỉ chiếm khoảng 0,03% tổng số trường hợp mắc u tân sinh ở thực quản.

Tuy nhiên, rất may mắn, trường hợp bệnh nhân Lâm Thị Th. có thể xử lý u mỡ thực quản dưới niêm bằng phương pháp can thiệp qua nội soi. Nếu tiếp tục để u phát triển, bệnh nhân có thể đối mặt với tình trạng nuốt nghẹn, khó ăn uống gây suy dinh dưỡng, ảnh hưởng lớn đến sức khỏe, sinh hoạt hàng ngày.

Ngoài ra, do u có cuống di động, kích thước khá lớn nên có nguy cơ chèn bít thanh quản, khí quản, nguy cơ suy hô hấp, có thể dẫn đến tử vong.

Nội soi lấy u khủng không vết mổ thành ngực

u-mo-thuc-quan.png
Người bệnh Lâm Thị Th. được nhập viện điều trị tại khoa Ngoại bụng II, Bệnh viện K. - Ảnh BVCC

Chẩn đoán lâm sàng, nội soi, chẩn đoán hình ảnh, các bác sĩ hội chẩn và nhận thấy u lành tính với nguy cơ biến chứng thấp, cần can thiệp kịp thời để giải quyết triệu chứng nuốt nghẹn và cải thiện chất lượng cuộc sống.

Phương án phù hợp nhất là can thiệp nội soi. Đây là phương pháp tiên tiến với nhiều ưu điểm nổi bật và trường hợp u của người bệnh Lâm Thị Th. rất may mắn phù hợp với phương pháp này.

Ê-kíp bác sĩ Bệnh viện K TS.BS Bùi Ánh Tuyết, Trưởng khoa và ThS.BS Đỗ Huy Hùng, Khoa Nội soi - Thăm dò chức năng đã tiến hành can thiệp bằng nội soi ống mềm qua đường miệng, lấy toàn bộ khối u ra khỏi thực quản của người bệnh.

Thời gian diễn ra chỉ vỏn vẹn 30 phút, xâm lấn tối thiểu, không có vết mổ thành ngực, không gây mất máu, bảo tồn cấu trúc và chức năng thực quản, giảm nguy cơ biến chứng chức năng nuốt sau phẫu thuật.

Nhờ những ưu điểm này mà người bệnh không cảm thấy đau, khó chịu và có thể ăn uống sau thực hiện khoảng 2 tiếng. Một ngày sau can thiệp, người bệnh được ra viện với tình trạng sức khỏe ổn định, dự kiến tái khám 6 tháng/lần để đánh giá lại.

u-mo-thuc-quan-2.jpg
30 phút can thiệp qua nội soi giúp người bệnh loại bỏ khối u lớn - Ảnh BVCC

Bệnh viện K tự hào có đội ngũ bác sĩ chuyên môn cao, được đào tạo bài bản và tích lũy nhiều kinh nghiệm trong chẩn đoán hình ảnh, nội soi và can thiệp tiêu hóa. Quy trình nội soi được thực hiện trên thiết bị hiện đại, tuân thủ chuẩn an toàn nhiễm khuẩn và quy trình chăm sóc người bệnh toàn diện.

Các kỹ thuật nội soi tại Bệnh viện K áp dụng công nghệ mới nhất, bao gồm nội soi chẩn đoán và nội soi can thiệp điều trị cùng các hệ thống máy móc trang thiết bị hiện đại giúp lên kế hoạch can thiệp tối ưu và an toàn cho người bệnh. Đội ngũ bác sĩ chuyên khoa phối hợp chặt chẽ từ chẩn đoán hình ảnh đến can thiệp và chăm sóc sau can thiệp, đảm bảo quá trình điều trị nhất quán và hiệu quả.

Bởi vậy, người bệnh có thể yên tâm được phát hiện và đưa ra hướng xử lý phù hợp, kịp thời, hạn chế tối đa ảnh hưởng của bệnh và biến chứng lâu dài. Ngoài ra những năm vừa qua Khoa Nội soi Nội soi - Thăm dò chức năng, Bệnh viện K đã tăng cường hợp tác quốc tế, trao đổi kinh nghiệm với các chuyên gia nước ngoài đến từ Nhật, Đức, Pháp... hướng đến đẩy mạnh công tác chuyên môn đem lại hiệu quả tốt nhất cho người bệnh.

“Nếu có dấu hiệu nuốt nghẹn kéo dài, đau bụng kéo dài, ợ chua, khó tiêu hoặc sút cân bất thường, nên đi khám sớm tại cơ sở y tế để được đánh giá và chẩn đoán kịp thời.

Thực hiện sàng lọc và đánh giá sớm khi có yếu tố nguy cơ có thể giúp chúng ta phát hiện sớm và tăng cơ hội điều trị thành công.

Ngoài ra, lựa chọn đúng phương pháp điều trị dựa trên đánh giá toàn diện của bác sĩ tại cơ sở y tế chuyên khoa, phù hợp với tình trạng bệnh lý, tuổi tác và mong muốn về chất lượng cuộc sống cũng là yếu tố quan trọng để người bệnh có thể yên tâm hơn về kết quả cũng như không quá lo ngại về diễn biến sức khỏe sau điều trị”, các bác sĩ Bệnh viện K khuyên.

back to top