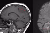
Chỉ đau đầu nhẹ, đi khám phát hiện u não lớn phức tạp
Ca phẫu thuật kéo dài với nhiều thách thức do màng cứng dày dính vào hộp sọ, tuy nhiên ê-kíp đã thành công lấy trọn khối u.
Ca phẫu thuật kéo dài với nhiều thách thức do màng cứng dày dính vào hộp sọ, tuy nhiên ê-kíp đã thành công lấy trọn khối u.
U màng não có thể xảy ra với bất kỳ ai, thường phát triển âm thầm, khi được phát hiện khối u đã có kích thước lớn, người bệnh đối mặt với nhiều biến chứng.