Vừa qua, các bác sĩ Bệnh viện Hữu nghị Việt Tiệp đã thực hiện thành công ca phẫu thuật u màng não có kích thước khổng lồ. Theo đó, người bệnh V.T.H địa chỉ Vạn Mỹ, Ngô Quyền, Hải Phòng vào viện với biểu hiện đau đầu nhiều ngày uống thuốc không đỡ. Trước đó, người bệnh chưa hề phát hiện bệnh lý về sọ não.
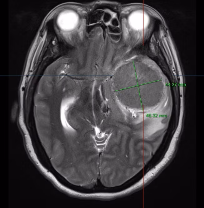
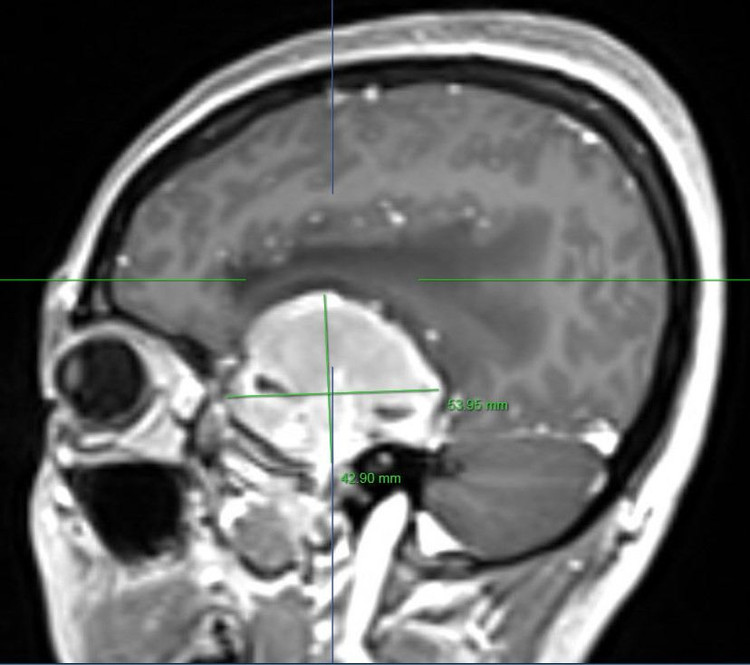
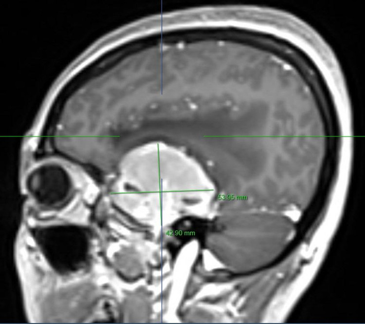
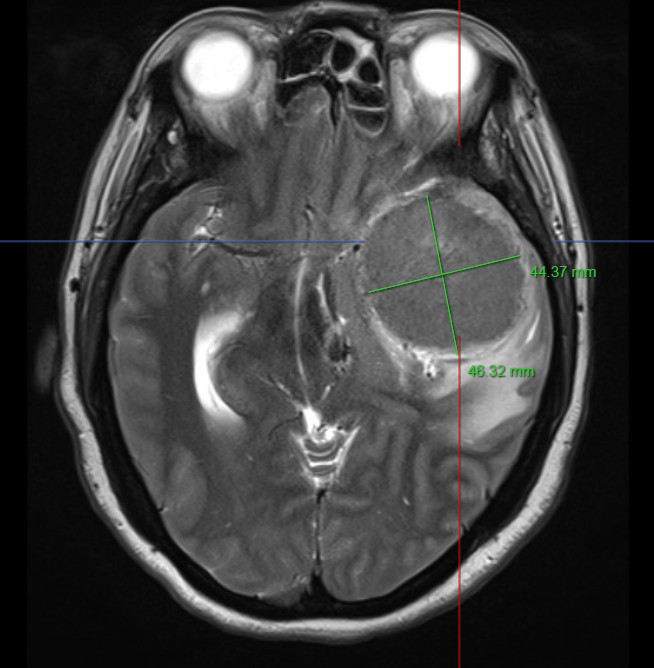
Sau khi được thực hiện các xét nghiệm lâm sàng cần thiết, chụp cộng hưởng từ kết quả cho thấy người bệnh có một khối u màng não vùng hố thái dương trái với kích thước rất lớn khoảng 50mm x 70mm.
Hình ảnh: Chụp cộng hưởng từ sọ não của người bệnh phát hiện khối u khổng lồ |
Nhận định đây là ca bệnh khó, khối u ở vị trí sâu đã xâm lấn xoang hang và chỗ bao động mạch cảnh trong nên việc thực hiện phẫu thuật vô cùng phức tạp, đòi hỏi bác sĩ phải khéo léo, tỉ mỉ để đạt kết quả tốt nhất.
Kíp các bác sĩ Khoa Ngoại Phẫu thuật Sọ não – Cột sống đã tiến hành mở xương sọ, màng cứng, bóc tách vỏ não để lộ khối u, sau đó sử dụng kính vi phẫu lấy toàn bộ khối u ra ngoài, đảm bảo an toàn cho vùng não lành. Ca phẫu thuật được thực hiện trong 8 giờ diễn ra thuận lợi, thành công. Sau mổ 1 ngày, người bệnh đã tỉnh hoàn toàn, tự ăn uống và đã bắt đầu tập ngồi và tập đi.
Các bác sĩ BVHN Việt Tiệp tiến hành phẫu thuật vi phẫu sọ não cho người bệnh |
Khối u trong não của người bệnh rất lớn, phát triển vào sâu trong tổ chức não, nằm ở vùng sát với rất nhiều hệ thống mạch máu, nên nguy cơ chảy máu trong khi phẫu thuật là rất cao nên đòi hỏi sự tập trung cao độ, phối hợp nhịp nhàng, chặt chẽ giữa bác sĩ phẫu thuật và bác sĩ gây mê.
Bên cạnh đó, người bệnh V.T.H đã được đưa đến Bệnh viện phẫu thuật kịp thời vì với các khối u não kích thước lớn, người bệnh cần được phẫu thuật lấy u càng sớm càng tốt do khối u phát triển sẽ chèn ép gây nên các triệu chứng lâm sàng như: đau đầu, buồn nôn, mờ mắt, yếu hay liệt nửa người, co giật, rối loạn cảm giác và nặng hơn có thể khiến suy giảm ý thức, hôn mê thậm chí tử vong.
Niềm vui của người bệnh, gia đình người bệnh sau khi ca phẫu thuật thành công |
Chia sẻ cảm xúc của mình, con trai người bệnh cho biết sau khi mẹ được chẩn đoán bị bệnh u não cũng như được các bác sỹ tư vấn, giải thích, có chỉ định phẫu thuật, gia đình đã quyết định đề nghị phẫu thuật tại Bệnh viện Hữu nghị Việt Tiệp. Anh cho biết gia đình rất tin tưởng các y bác sĩ và yên tâm khi phẫu thuật tại Bệnh viện, tại đây cũng tiện cho việc chăm sóc, giúp giảm thời gian đi lại và kinh phí.
Hiện nay, Bệnh viện Hữu nghị Việt Tiệp đã ứng dụng hệ thống định vị thần kinh trong mổ (Navigation) và kính vi phẫu trong mổ (Micro-neurosurgery) trong phẫu thuật những khối u vùng nền sọ, các khối u nhỏ nằm sâu trong não mà không gây các tổn thương não lành xung quanh giúp nâng cao hiệu quả, chất lượng điều trị cho người bệnh. Đồng thời, Bệnh viện đã trang bị thêm các hệ thống máy chụp cắt lớp vi tính 768 lát và chụp cộng hưởng từ 3.0, nên người bệnh được chẩn đoán xác định bệnh nhanh nhất, rút ngắn thời gian chờ đợi trong chẩn đoán bệnh.
Trong thời gian qua Bệnh viện đã triển khai phẫu thuật thành công rất nhiều ca bệnh u não, u màng não, các ca xuất huyết não do vỡ túi phình mạch máu, dị dạng mạch máu não,…cứu sống nhiều người bệnh qua khỏi cơn nguy kịch.
![]() |
| Hình ảnh khối u màng não của bệnh nhân trên phim chụp |
Việc làm chủ được phẫu thuật vi phẫu sọ não qua kính hiển vi đã giúp mở ra cơ hội cho người bệnh được thụ hưởng các dịch vụ y tế tốt nhất, được điều trị ngay tại Hải Phòng mà không phải chuyển tuyến trên, giúp giảm bớt thời gian và chi phí điều trị.
Khi có triệu chứng đau đầu kéo dài kèm theo thay đổi tính tình, thiếu sót vận động, người bệnh nên đi khám ở những bệnh viện có khả năng chẩn đoán được các khối u não và nên miêu tả rõ tình trạng bệnh lý của mình để bác sĩ có hướng xử trí hợp lý, kịp thời tránh những biến chứng đáng tiếc xảy ra.
TS.BS Đặng Việt Sơn – Trưởng Khoa Phẫu thuật Sọ não – Cột sống, Bệnh viện Hữu Nghị Việt Tiệp
Hình ảnh: Chụp cộng hưởng từ sọ não của người bệnh phát hiện khối u khổng lồ
Các bác sĩ BVHN Việt Tiệp tiến hành phẫu thuật vi phẫu sọ não cho người bệnh
Niềm vui của người bệnh, gia đình người bệnh sau khi ca phẫu thuật thành công