Sức khoẻ 360

Chỉ đau đầu nhẹ, đi khám phát hiện u não lớn phức tạp

Ca phẫu thuật kéo dài với nhiều thách thức do màng cứng dày dính vào hộp sọ, tuy nhiên ê-kíp đã thành công lấy trọn khối u.

Ngày 5/9, Bệnh viện Đa khoa Thủ Đức cho biết, các bác sĩ vừa điều trị thành công một ca u màng não phức tạp cho bệnh nhân lớn tuổi có nhiều bệnh nền.

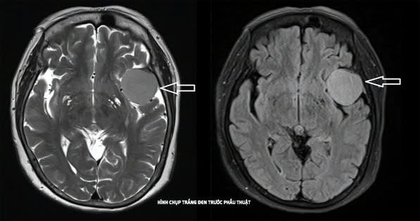
Bệnh nhân P.T.N, 73 tuổi, ngụ tại phường Tam Bình, TP HCM, được phát hiện khối u màng não thái dương trái kích thước 3,5x5cm sau khi đi khám vì triệu chứng đau đầu kéo dài.

Trước đó, bệnh nhân chỉ có biểu hiện đau đầu nhẹ và được điều trị giảm đau thông thường không hiệu quả. Đến khi bị té ngã trong lúc tắm, gia đình đưa bà đến Bệnh viện Đa khoa Thủ Đức thăm khám. Qua chụp CT và MRI, các bác sĩ phát hiện khối u màng não đáng ngại, vị trí sàn sọ phức tạp cần can thiệp phẫu thuật.

u-nao1.jpg
Hình ảnh khối u trên phim chụp - Ảnh BVCC

Thách thức đặc biệt trong ca mổ này là bệnh nhân có nhiều bệnh nền bao gồm đái tháo đường type 2, tăng huyết áp và bệnh tim thiếu máu cục bộ chưa được kiểm soát tốt. Ê - kíp phẫu thuật đã phải phối hợp chặt chẽ với các chuyên khoa nội tiết và tim mạch để chuẩn bị cho bệnh nhân trước mổ, bao gồm việc ngưng thuốc chống đông clopidogrel 5 ngày.

BS.CKII Trương Long Vỹ, Trưởng khoa Ngoại thần kinh, Bệnh viện Đa khoa Thủ Đức chia sẻ: “Đây là một ca phẫu thuật đòi hỏi sự tập trung và phối hợp cao độ của ê - kíp gồm BS Trương Long Vỹ, BS Kiều Minh Rin, BS Trương Tất Thuật cùng với sự hỗ trợ của các trang thiết bị hiện đại chuyên sâu cho phẫu thuật vi phẫu sọ não như khung cố định đầu Mayo, kính vi phẫu ZEISS Vario 700, khoan mài tốc độ cao, dụng cụ chuyên dụng cho thao tác vi phẫu..., chúng tôi đã thực hiện thành công ca mổ, lấy trọn khối u mà không gây tổn thương đến các cấu trúc quan trọng xung quanh”.

Ca phẫu thuật kéo dài với nhiều thách thức do màng cứng dày dính vào hộp sọ, tuy nhiên ê-kíp đã thành công lấy trọn khối u, đạt độ hoàn thành Simpson I. Sau mổ, bệnh nhân được chăm sóc đặc biệt tại khoa Hồi sức với 48 giờ an thần sâu để bảo vệ chức năng thần kinh.

u-nao.jpg
Thăm khám cho bệnh nhân u não sau phẫu thuật - Ảnh BVCC

Bà P.T.M.A, con gái bệnh nhân xúc động chia sẻ: “Gia đình tôi vô cùng biết ơn đội ngũ y bác sĩ đã cứu sống mẹ tôi. Ban đầu chúng tôi chỉ nghĩ mẹ bị đau đầu thông thường do tuổi già, thật may mắn khi được phát hiện và điều trị kịp.

Bệnh viện không chỉ có trang thiết bị hiện đại, đội ngũ y bác sĩ tận tâm mà còn có chính sách khám chữa bệnh bằng bảo hiểm y tế, giúp giảm bớt gánh nặng chi phí cho gia đình. Trong suốt quá trình điều trị, các bác sĩ và điều dưỡng luôn tận tình chăm sóc và thường xuyên cập nhật tình hình cho gia đình”.

Sau thời gian hồi sức tích cực sau phẫu thuật, đến ngày 4/9, bệnh nhân đã hồi phục tốt, hoàn toàn tỉnh táo và được chuyển sang khoa Ngoại thần kinh để tiếp tục điều trị. Hiện tại, bệnh nhân ổn định, nói chuyện trao đổi tốt, đang có những tiến triển tích cực trong quá trình hồi phục.

Ca phẫu thuật thành công này một lần nữa khẳng định năng lực chuyên môn của đội ngũ y bác sĩ Bệnh viện Đa khoa Thủ Đức trong việc điều trị các ca bệnh phức tạp, đồng thời cho thấy tầm quan trọng của việc phát hiện và điều trị kịp thời các bệnh lý thần kinh.

Người dân không nên chủ quan với đau đầu, hoa mắt, chóng mặt... Để chủ động tầm soát các bệnh lý thần kinh, người dân có thể đến khám tại phòng khám chuyên khoa thần kinh.

back to top