Trao đổi với báo chí, Bác sĩ chuyên khoa II Nguyễn Hiền Nhân, chuyên khoa Ngoại thần kinh, Bệnh viện Trưng Vương, người trực tiếp phẫu thuật cho biết u màng não thông thường là u lành tính, chiếm tỷ lệ khoảng từ 14,3 % đến 19% u nguyên phát trong sọ.
Theo BS Nhân, u màng não lành tính thường có tốc độ phát triển chậm, kéo dài trong nhiều năm. Do đó, khi có triệu chứng đau đầu kéo dài thì người bệnh nên đi khám ở những bệnh viện có khả năng chẩn đoán được các khối u não, và cũng nên miêu tả rõ tình trạng bệnh lý của mình để bác sĩ có hướng xử trí hợp lý.
![]() |
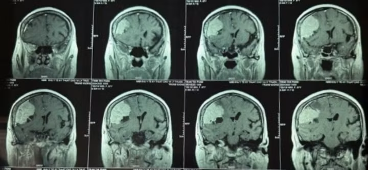
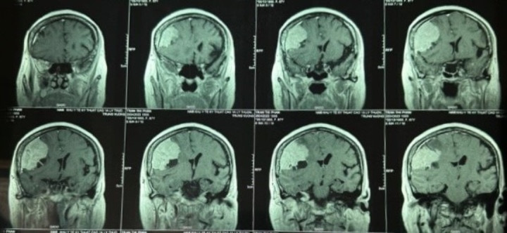
| U màng não to hơn quả trứng vịt. Ảnh VTC News |
BS Nhân cho biết thêm, đa số là u màng não lành tính đều tiên lượng tốt sau khi phẫu thuật lấy toàn bộ u. Tuy nhiên, việc phát hiện và can thiệp sớm sẽ giúp ca phẫu thuật đơn giản hơn nhiều so với những trường hợp để kéo dài khiến khối u to và hệ thống mạch máu nuôi u đã phát triển phức tạp.
Tỷ lệ mắc bệnh cao nhất ở tuổi 45; tỷ lệ nữ:nam là 1,8:1. U màng não xảy ra ở trẻ nhỏ và thiếu niên chiếm khoảng 1,5% (thường từ 10 đến 20 tuổi).
"Ở ca bệnh trên, khối u rất to do bệnh nhân bệnh kéo dài mà không được phát hiện. Chính vì thế khi mổ, ekip phải cần sự phối hợp của bác sĩ can thiệp nội mạch, làm tắc các mạch máu nuôi chằng chịt trước khi lấy u. Điều này giúp ca phẫu thuật an toàn và tỷ lệ thành công cao hơn”, bác sĩ Nhân nói.
Trước đó, một phụ nữ 68 tuổi đến Bệnh viện Trưng Vương thăm khám vì lý do lừ đừ, đau đầu, mệt. Người nhà cho biết bệnh nhân có triệu chứng trên kéo dài nhiều năm.
Khởi đầu, bà chỉ đau đầu, mệt mỏi, uống thuốc bớt đau. Lần này, bệnh nhân không chỉ đau đầu mà còn thấy mệt yếu nửa người bên trái, lừ đừ tiếp xúc kém. Sau khi điều trị nhiều nơi không bớt, người nhà đưa bà đến Bệnh viện Trưng Vương.
Kết quả chẩn đoán phát hiện người bệnh có u màng não lớn vùng thái dương bên phải, có nhiều mạch máu nuôi u. Bác sĩ lên kế hoạch phẫu thuật.
Trong quá trình chuẩn bị, bác sĩ phát hiện bà mắc bệnh lý mạch vành nên phải được hội chẩn thêm với chuyên khoa tim mạch. Vì khối u có quá nhiều mạch máu nuôi nên bác sĩ tiếp tục phải hội ý với chuyên khoa can thiệp nội mạch (DSA). Ê-kíp tiến hành làm tắc mạch nuôi u nhằm hạn chế máu chảy khi phẫu thuật.
Ngày 16/5, ca phẫu thuật đã lấy toàn bộ khối u màng não có kích thước lớn, to hơn quả trứng vịt. Sau 10 ngày, bệnh nhân hồi phục tỉnh táo, hết yếu liệt, sinh hoạt bình thường.
Dấu hiệu của u màng não
U màng não thường phát triển chậm, những triệu chứng đáng chú ý sẽ xảy ra khi kích thước của chúng khá lớn. Một vài khối u màng não không có bất kỳ triệu chứng cho đến khi chụp CT não vì một triệu chứng nào đó không liên quan. Các triệu chứng của u màng não biểu hiện phụ thuộc vào kích thước và vị trí khối u.
Bệnh nhân bị u màng não nhỏ thì thường sẽ không có triệu chứng gì. Nhưng khi chuyển biến nặng, u màng não sẽ xuất hiện một số triệu chứng đau đầu; gặp vấn đề về thị giác như giảm thị lực,... và thính giác như ù tai, điếc; buồn nôn hoặc nôn; khó ngủ hoặc mất ngủ; ....
