Thuốc tiêu sợi huyết điều trị đột quỵ thiếu máu não cấp, giúp tan cục máu đông, tái thông dòng máu lên não, hạn chế tổn thương nhu mô não, giảm nguy cơ tàn phế.
Trường hợp bệnh nhân nam trẻ tuổi này, nhờ được nhanh chóng đưa đến bệnh viện nên hiệu quả điều trị cao, phục hồi ngoại mục sau 48 giờ. Vì vậy, khi có những biểu hiện: đột ngột yếu, liệt tay, chân... cần đến viện sớm.
Sử dụng thuốc tiêu sợi huyết là phương pháp đem lại hiệu quả cao trong điều trị nhồi máu não cấp nhưng chỉ áp dụng cho bệnh nhân trong vòng 4,5 giờ đầu, tính từ thời gian khởi phát bệnh. Vì vậy, cần đến viện sớm.
"Giờ vàng” trong điều trị nhồi máu cơ tim dùng thuốc tiêu sợi huyết trong vòng 2 giờ đầu sau khi cơn đau ngực xuất hiện. Trong vòng 12 giờ và hiện là 24 giờ cần khảo sát động mạch vành để đánh giá khả năng can thiệp.
Nhiều bệnh nhân phát hiện triệu chứng nghi ngờ đột quỵ khi thức giấc giữa đêm nhưng họ lại đi ngủ tiếp tới sáng hôm sau mới tới bệnh viện, điều này làm chậm trễ thời gian điều trị và không thể sử dụng thuốc tiêu huyết khối.
Sau 12 giờ áp dụng đồng thời 2 phương pháp sử dụng thuốc tiêu huyết và lấy huyết khối, cụ ông 103 tuổi đã bình phục hoàn toàn, không để lại di chứng trong vận động cũng như tư duy và trí nhớ.
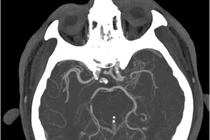
Đột quỵ nhồi máu não là căn bệnh cấp tính nguy hiểm với tỷ lệ mắc cao, nếu không được phát hiện sớm, điều trị đúng có thể gây di chứng thần kinh kéo dài, thậm chí tử vong.
Nghị quyết số 20-NQ/TW ban hành ngày 25/10/2017 của Ban chấp hành Trung ương Đảng khóa XII về việc “Tăng cường công tác bảo vệ, chăm sóc và nâng cao sức khỏe nhân dân trong tình hình mới” đã được hiện thực hóa tại tỉnh Hà Giang.
Điều trị thuốc tiêu huyết khối đường tĩnh mạch là một trong những kỹ thuật điều trị triệt để đối với người bệnh đột quỵ nhồi máu não cấp trong 4 giờ 30 phút đầu.
(khoahocdoisong.vn) - BV Nhân dân Gia Định TPHCM vừa phẫu thuật cấp cứu thành công một trường hợp bệnh nhân bị thuyên tắc phổi toàn bộ hai bên, huyết khối nhĩ phải, tĩnh mạch chủ dưới và huyết khối tĩnh mạch sâu chi dưới.
Lần đầu tiên bệnh viện Đa khoa Phú Thọ đã ứng dụng công nghệ tiêu sợi huyết để cứu sống bệnh nhân (BN) bị tắc nghẽn van tim (kẹt van) nặng, phù phổi cấp, huyết áp tụt sốc tim…