Sức khoẻ 360

Đi thăm núi Bà Đen, cụ ông 74 tuổi đột quỵ được cứu sống ngoạn mục

Trong chuyến đi chơi, ông T.L gặp tai biến đột quỵ ở độ cao gần 1000m. Nhờ phản ứng nhanh và can thiệp y học, ông đã hồi phục tích cực.

Đột quỵ giữa lưng chừng núi, cuộc vui hóa cuộc chạy đua sinh tử

Một chuyến du ngoạn tưởng chừng trọn vẹn đã bất ngờ rẽ sang hướng khác khi cụ ông 74 tuổi bị đột quỵ ở độ cao gần 1000 m.

Từ Bình Định vào TP HCM để thăm con, gia đình ông T.L (74 tuổi) đã lên kế hoạch và khởi hành đến tham quan núi Bà Đen ở Tây Ninh.

dot-quy-do-cao.jpg
Kiểm tra chức năng vận động của bệnh nhân sau can thiệp - Ảnh BVCC

Cứ ngỡ sẽ có một buổi đi chơi trọn vẹn cùng con cháu, thế nhưng niềm vui bỗng chốc biến thành nỗi lo lắng khi đang ở độ cao 986m, ông T.L đột ngột yếu liệt 1/2 người bên trái kèm méo miệng, nói đớ.

Nhận thấy được điều bất thường, gia đình nhanh chóng đưa ông xuống núi bằng cáp treo và cấp tốc chuyển đến cấp cứu tại Bệnh viện Đa khoa Xuyên Á TP HCM.

dot-quy-do-cao-1.jpg
dot-quy-do-cao-2.jpg
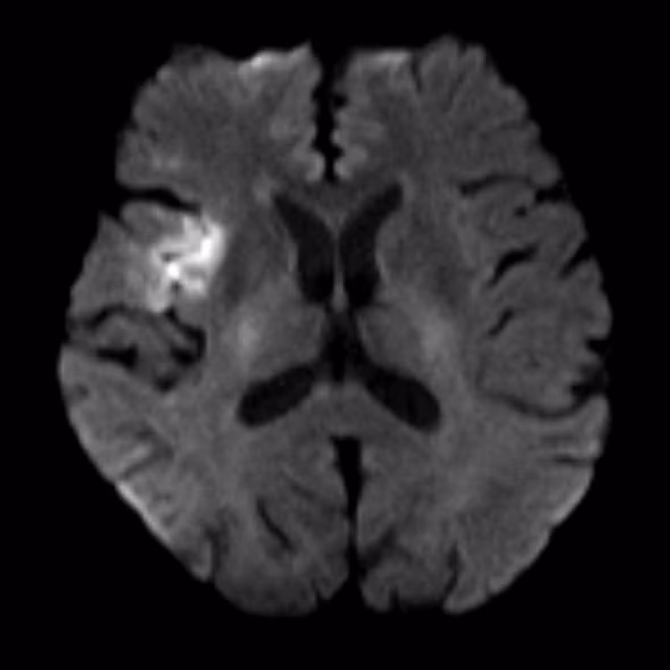
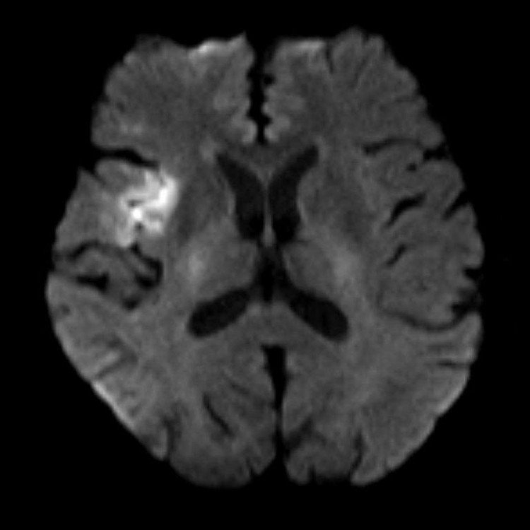
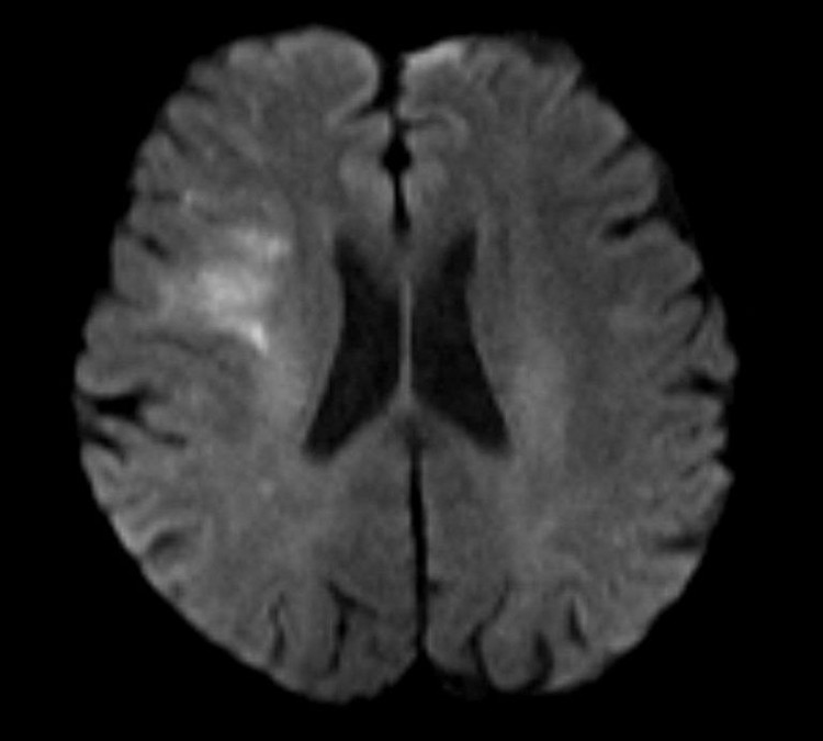
Hình MRI bệnh nhân T.L bị đột quỵ - Ảnh BVCC

“Báo động đỏ” được kích hoạt, cuộc chiến giành lại từng phút cho não bộ

Tại đây, ngay khi xác định được dấu hiệu đột quỵ, quy trình “báo động đỏ” lập tức được kích hoạt, quy tụ đội ngũ bác sĩ các chuyên khoa Cấp cứu, Nội thần kinh, Chẩn đoán hình ảnh. Trước đây, bệnh nhân có tiền sử tăng huyết áp và bệnh phổi tắc nghẽn mãn tính (COPD) nhưng không điều trị. Kết quả trên phim MRI cho thấy bệnh nhân bị đột quỵ nhồi máu não.

Tuy nhiên, do quãng đường di chuyển khá xa, khi đến bệnh viện đã quá “giờ vàng” sử dụng thuốc tiêu sợi huyết – một loại thuốc tiêm đường tĩnh mạch làm tan cục máu đông gây tắc nghẽn.

dot-quy-cao-3.jpg
Hình DSA cho thấy hẹp nặng đoạn gốc động mạch cảnh trong ngoài sọ trước can thiệp của bệnh nhân đột quỵ.

Trước tình thế nguy cấp, từng giây phút đều quý giá để bảo vệ các tế bào não và tính mạng cho bệnh nhân, bác sĩ khoa Sọ não cột sống 2 cũng được huy động kịp thời.

Song song đó, kết quả chụp CTA ghi nhận ông bị tắc động mạch não giữa M1 bên phải – một động mạch lớn, và hẹp nặng động mạch cảnh trong bên phải đoạn gốc.

dot-quy-cao-4.jpg
Hình DSA tái thông hoàn toàn động mạch não giữa sau can thiệp của bệnh nhân đột quỵ - Ảnh BVCC

Ngay sau chẩn đoán và giải thích với sự đồng thuận của người nhà, bệnh nhân được chỉ định can thiệp mạch lấy huyết khối bằng dụng cụ.

Ca can thiệp đã diễn ra thành công dưới sự thực hiện của BS Lục Đình Phương, Khoa Sọ não cột sống 2, bác sĩ đã tiến hành tái thông động mạch não giữa và nong bóng đoạn hẹp động mạch cảnh trong bên phải cho bệnh nhân bằng phương pháp gây tê.

Sau can thiệp, các động mạch đã được tái thông, bệnh nhân hoàn toàn tỉnh táo, sức cơ cải thiện rõ rệt và được tiếp tục chuyển lên khoa Nội thần kinh để tiếp tục theo dõi và điều trị theo phác đồ nội khoa.

dot-quy-cao-5.jpg
Hình DSA tái thông hoàn toàn động mạch não giữa sau can thiệp của bệnh nhân đột quỵ - Ảnh BVCC

Theo BS.CKI Nguyễn Văn Nhản, Khoa Nội thần kinh chia sẻ: “3 ngày sau ca can thiệp, sức cơ tay chân của bệnh nhân đã đạt 5/5, có thể tự đi lại, vệ sinh cá nhân mà không cần sự hỗ trợ của người nhà.

Hướng điều trị tiếp theo là duy trì sử dụng thuốc kháng kết tập tiểu cầu lâu dài, kiểm soát huyết áp, mỡ máu và thay đổi lối sống lành mạnh hơn để hạn chế tình trạng tái phát đột quỵ”.

Đột quỵ không chừa ai, hãy hành động kịp thời

Thông qua trường hợp này, bác sĩ Nhản cũng khuyến cáo người dân:

“Việc nhận biết sớm dấu hiệu đột quỵ và đưa người bệnh đến bệnh viện có khả năng điều trị, cấp cứu đột quỵ càng sớm càng tốt sẽ quyết định khả năng sống còn và phục hồi sau này”.

Các dấu hiệu nhận biết đột quỵ theo quy tắc FAST:

F (Face – Khuôn mặt): Méo miệng, lệch mặt

A (Arms – Cánh tay): Yếu liệt tay, chân

S (Speech – Lời nói): Nói khó

Nếu có dấu hiệu nghi ngờ, hãy gọi cấp cứu ngay hoặc đến cơ sở y tế gần nhất có đầy đủ phương tiện cấp cấp cứu đột quỵ (tiêu sợi huyết, can thiệp mạch máu não).

T (Time – Thời gian): Đưa bệnh nhân đến bệnh viện gần nhất

back to top