90% tử vong nếu không cấp cứu kịp thời
Đột quỵ là một trong những nguyên nhân hàng đầu gây tử vong và gia tăng tỷ lệ tàn tật ở người mắc phải, trong đó, đột quỵ do tắc động mạch thân nền là thể đột quỵ có nguy cơ tử vong lên đến 90% nếu không được phát hiện sớm và cấp cứu kịp thời.
Đột quỵ khi thức giấc là tình trạng người bệnh có những dấu hiệu của đột quỵ khi vừa thức giấc vào buổi sáng. Khi đó thời điểm đột quỵ xảy ra không thể xác định, vì vậy gây khó khăn cho vấn đề chẩn đoán và điều trị. Dấu hiệu đột quỵ khi thức giấc cũng giống như đột quỵ xảy ra lúc bệnh nhân tỉnh táo.
Mới đây, Bệnh Viện Đa Khoa Xuyên Á đã tiếp nhận liên tiếp 2 trường hợp đột quỵ khi thức giấc trong cùng một buổi sáng. Trường hợp đầu tiên là bệnh nhân N.V.Đ, (nam, 61 tuổi, Củ Chi, TP.HCM) được đưa đến cấp cứu vào lúc 03:00 sáng, và trường hợp khác là bệnh nhân P.T.N (nữ, 61 tuổi, Củ Chi) nhập viện cấp cứu vào lúc 06:00 sáng cùng ngày.
Qua khai thác bệnh sử, các bác sĩ ghi nhận cả hai trường hợp này, bệnh nhân đều hoàn toàn bình thường trước khi đi ngủ và khi thức giấc lúc gần sáng, sáng thì phát hiện liệt nửa người, méo miệng, nói khó.
Rất may mắn là cả hai người bệnh đều có những kiến thức nhận biết về dấu hiệu đột quỵ nên đã báo ngay cho người nhà và nhanh chóng được đưa đến Bệnh viện.
Sau khi thăm khám, các bác sĩ Đơn vị Đột quỵ xác nhận tình trạng bệnh nhân và lập tức cho thực hiện chụp MRI não.
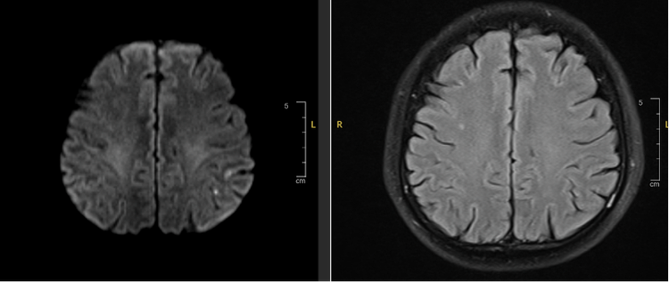
![]() |
| Hình ảnh Mismatch trên xung DWI và FLAIR của bệnh nhân N.V.Đ - Ảnh BVCC |
Hình ảnh Mismatch trên xung DWI và FLAIR của bệnh nhân P.T.N
Từ kết quả chụp MRI của 2 bệnh nhân, cho thấy có sự bất tương xứng (có Mismatch) giữa xung DWI và FLAIR (Hình 1 và Hình 3). Do đó trong 2 trường hợp này, sau khi hội chẩn bệnh nhân vẫn có chỉ định điều trị bằng thuốc tiêu huyết khối (rTPA) nhằm tái thông lại mạch máu đang tắc nghẽn.
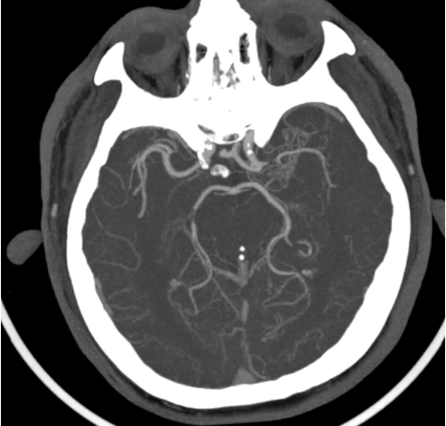
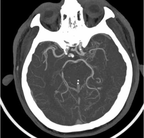
Ngay sau khi bơm thuốc tiêu sợi huyết ghi nhận sức cơ của bệnh nhân Đ. và N. đã cải thiện rõ rệt. Từ kết quả chụp CT mạch máu được thực hiện ngay sau bơm thuốc tiêu sợi huyết (Hình 2 và Hình 4) thấy cục huyết khối đã tiêu, tuy nhiên vẫn có sự hẹp của một động mạch lớn nội sọ ở cả 2 trường hợp.
Vì vậy bệnh nhân được đưa về Đơn vị Đột quỵ để tiếp tục theo dõi và điều trị phục hồi chức năng. Sau 48 giờ, sức cơ của cả 2 bệnh nhân đã phục hồi gần như hoàn toàn, và được xuất viện sau vài ngày điều trị đồng thời tái khám định kỳ để phòng ngừa đột quỵ tái phát.
![]() |
| Hình ảnh hẹp động mạch não giữa trái đoạn M1 của bệnh nhân N.V.Đ - Ảnh BVCC |
Đừng đợi trời sáng mới tới bệnh viện
Theo BSCKII Diệp Trọng Khải, Trưởng Đơn vị Đột quỵ Bệnh viện đa khoa Xuyên Á khuyến cáo, từ hai trường hợp nêu trên, chúng ta có thể nhận định đột quỵ thức giấc vẫn có thể được điều trị thành công.
Tuy nhiên, thời gian chính là yếu tố quan trọng nhất quyết định sự thành công ấy, do đó bệnh nhân phải tới được bệnh viện có Đơn vị Đột quỵ sớm nhất có thể, trước 4h30 kể từ khi khởi phát triệu chứng đột quỵ, đặc biệt với các trường hợp tắc/hẹp động mạch thân nền.
Điều đáng tiếc, vẫn có rất nhiều bệnh nhân phát hiện triệu chứng nghi ngờ đột quỵ khi thức giấc giữa đêm nhưng họ lại đi ngủ tiếp tới sáng hôm sau mới tới bệnh viện, điều này làm chậm trễ thời gian điều trị và không thể sử dụng thuốc tiêu huyết khối.
![]() |
| Hình ảnh Mismatch trên xung DWI và FLAIR của bệnh nhân P.T.N - Ảnh BVCC |
BSCKII Diệp Trọng Khải khuyến cáo: Bà con cần nắm rõ quy tắc FAST và nhanh chóng đến đúng bệnh viện có Đơn vị Đột quỵ ngay khi phát hiện triệu chứng nghi ngờ đột quỵ, bất kể thời gian nào.
Hầu hết các đơn vị đột quỵ luôn có bác sĩ thường trực 24/24 kể cả Chủ Nhật và ngày lễ tết, đảm bảo việc điều trị đột quỵ kịp thời và hiệu quả.
Hiện tại, việc điều trị thuốc tiêu sợi huyết đã được thanh toán Bảo hiểm Y tế, giúp giảm rất nhiều gánh nặng trong việc điều trị đột quỵ của bệnh nhân có tham gia Bảo hiểm.
Để phòng ngừa đột quỵ, người dân nên khám tầm soát những yếu tố nguy cơ đột quỵ định kỳ và tái khám thường xuyên để kiểm soát tốt bệnh lý nền có thể gây đột quỵ.
Người dân cần có lối sống lành mạnh, nâng cao sức khỏe, hạn chế thuốc lá, rượu bia, để đảm bảo sức khỏe cho bản thân và người thân trong gia đình.
![]() |
| Hình ảnh hẹp động mạch thân nền của bệnh nhân P.T.N |
Quy tắc FAST nhận biết dấu hiệu sớm của đột quỵ:
F (FACE): Méo miệng: Biểu hiện rõ khi bệnh nhân cười, nhe răng.
A (ARM): Yếu liệt tay chân: Đánh giá bệnh nhân có bị yếu hoặc liệt một bên hay không, bằng cách yêu cầu bệnh nhân đưa hai tay lên cao.
S (SPEECH): Ngôn ngữ bất thường: Đề nghị bệnh nhân lặp lại một cụm từ đơn giản. Xem bệnh nhân có hiểu không? Có lặp lại được không? Nhận xét giọng nói có bị đớ không?
T (TIME): Khi xuất hiện bất kỳ các triệu chứng trên một cách đột quỵ: Hãy gọi cấp cứu 115 hoặc nhanh chóng đưa bệnh nhân đến bệnh viện có điều trị đột quỵ gần nhất.



