Sốc điện + can thiệp khẩn giúp người bệnh vượt qua ranh giới sinh tử
Trước tình huống nhồi máu cơ tim cấp biến chứng rối loạn nhịp ngoại tâm thu thất, ngừng tim vô cùng nguy kịch, các bác sĩ khoa Phẫu thuật và Can thiệp Tim mạch, Bệnh viện Đa khoa tỉnh Quảng Ninh đã kịp thời sốc điện cấp cứu, can thiệp đặt stent khẩn cấp để giành lại sự sống, giúp người bệnh vượt qua ranh giới sinh tử.
Bệnh nhân cấp cứu là Lê Văn T. (46 tuổi, thành phố Móng Cái) đau tức ngực, khó thở nhiều ngày nay, sau đó đột ngột đau tức ngực trái dữ dội được cấp cứu tại Trung tâm y tế Móng Cái.
Ngay lập tức, các bác sĩ hội chẩn từ xa với Khoa Phẫu thuật và Can thiệp Tim mạch của Bệnh viện Đa khoa tỉnh Quảng Ninh chẩn đoán bị nhồi máu cơ tim cấp, đồng thời hướng dẫn sơ cứu và đảm bảo vận chuyển bệnh nhân về tuyến trên an toàn.
Nhập viện trong tình trạng cấp cứu tối khẩn, bệnh nhân được chuyển khoa Hồi sức tích cực để duy trì thuốc trợ tim, vận mạch liều cao. Sau khi ổn định, bệnh nhân được chuyển phòng can thiệp. Kíp bác sĩ khoa Phẫu thuật và Can thiệp tim mạch được huy động để thực hiện can thiệp cấp cứu cho người bệnh.
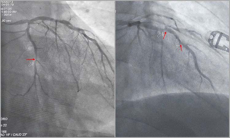
Kết quả chụp mạch cho thấy 3 thân động mạch vành tổn thương nặng, huyết khối làm tắc cấp tính hoàn toàn động mạch vành phải, động mạch mũ và động mạch liên thất trước hẹp nặng.
![]() |
| Hình ảnh động mạch mũ (trái) và động mạch liên thất trước (phải) hẹp nặng. |
Sau chụp động mạch vành, bệnh nhân diễn biến nhanh, rung thất liên tục, ngừng tim đột ngột. Các bác sĩ khẩn trương cấp cứu sốc điện ngoài lồng ngực 15 lần để xử trí các rối loạn nhịp, đưa tim đập trở lại kết hợp sử dụng thuốc vận mạch, đặt nội khí quản, an thần, thở máy.
Sau nỗ lực cấp cứu căng thẳng, tri giác người bệnh hồi phục, có huyết áp, điện tim phục hồi nhịp xoang. Kíp can thiệp Bệnh viện Đa khoa tỉnh tiếp tục thực hiện đặt stent để tái thông lòng mạch bị hẹp tắc, khôi phục tưới máu cho cơ tim.
![]() |
| Hình ảnh động mạch mũ (trái) và động mạch liên thất trước (phải) hẹp nặng - Ảnh BSCC |
Sau can thiệp, bệnh nhân được chuyển về khoa Hồi sức tích cực để theo dõi sát. Nhờ chăm sóc điều trị tích cực, sau 3 ngày, sức khỏe bệnh nhân tiến triển rõ rệt, tỉnh táo, chức năng tim cải thiện đáng kể. Hiện tại, bệnh nhân T. đã ổn định, hết đau tức ngực, trở lại sinh hoạt bình thường và đã được xuất viện.
Chia sẻ từ giường bệnh, ông T. xúc động nói: “Khi tỉnh lại, gia đình cũng nói rằng bệnh tình của tôi rất nặng, ngừng tim ngay trên bàn can thiệp, mọi người cũng đã chuẩn bị tâm lý là tôi không qua khỏi, chờ đưa về nhà.
Với nỗ lực cấp cứu hết lòng của đội ngũ bác sĩ Bệnh viện Đa khoa tỉnh Quảng Ninh mà tôi còn được trở về đón Tết với gia đình. Không lời nào có thể diễn tả hết lòng biết ơn của chúng tôi với đội ngũ bác sĩ khoa Phẫu thuật và Can thiệp tim mạch”.
Nhồi máu cơ tim cấp là tình trạng cơ tim bị thiếu máu nuôi dưỡng đột ngột dẫn đến hoại tử, nguy cơ tử vong nếu không được can thiệp kịp thời. Nguyên nhân chủ yếu là do cục máu đông hình thành trong lòng mạch, gây tắc nghẽn mạch máu nuôi tim. Đây là một bệnh lý cực kỳ nguy hiểm với diễn biến nhanh, có thể dẫn đến hàng loạt biến chứng đe dọa tính mạng như: Rối loạn nhịp tim, suy tim cấp, sốc tim…
Đặt stent giải quyết tắc nghẽn không giúp bệnh nhân khỏi vĩnh viễn cần phòng tránh
Thầy thuốc ưu tú, BSCKII Trần Quang Định, Trưởng khoa Phẫu thuật và Can thiệp Tim mạch, Bệnh viện Đa khoa tỉnh, cho biết: “Trường hợp bệnh nhân T. chẩn đoán bị nhồi máu cơ tim cấp thành dưới biến chứng loạn nhịp tim, ngoại tâm thu thất, rung thất – sốc tim trên nền bệnh nhân động kinh. Người bệnh diễn biến nặng ngay trên bàn can thiệp, chỉ còn vài phần trăm cơ hội sống.
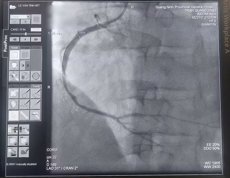
Chúng tôi đã nỗ lực sốc điện cấp cứu 15 lần để cứu người bệnh bằng mọi giá. May mắn là những quyết tâm của chúng tôi được đền đáp, trái tim bệnh nhân đã đập trở lại, huyết áp dần ổn định. Kíp can thiệp sau đó tiếp tục đặt stent để tái thông mạch vành phải bị tắc hoàn toàn.
Đây là một ca khó, bởi sốc tim do nhồi máu cơ tim cấp có tỷ lệ tử vong rất cao. Sự hồi phục của bệnh nhân là kết quả của việc phối hợp liên viện sơ cứu ban đầu hiệu quả, người bệnh được cấp cứu biến chứng và can thiệp kịp thời”.
“Giờ vàng” trong điều trị nhồi máu cơ tim dùng thuốc tiêu sợi huyết trong vòng 2 giờ đầu sau khi cơn đau ngực xuất hiện. Trong vòng 12 giờ và hiện là 24 giờ cần khảo sát động mạch vành để đánh giá khả năng can thiệp.
Với những trường hợp từ tuyến dưới chuyển lên như bệnh nhân T, việc phối hợp nhịp nhàng giữa đội ngũ bác sĩ của Trung tâm Y tế Móng Cái và Bệnh viện Đa khoa tỉnh có vai trò quan trọng.
![]() |
| Kíp bác sĩ khoa Phẫu thuật và Can thiệp Tim mạch đặt stent tái thông mạch vành phải - Ảnh BSCC |
Cùng với đó là sự phối hợp chặt chẽ giữa các chuyên khoa và những kinh nghiệm được tôi luyện của kíp can thiệp mạch Bệnh viện Đa khoa tỉnh đã cứu bệnh nhân khỏi “lưỡi hái tử thần”, qua đó mang lại cơ hội, niềm hy vọng cho bệnh nhân đột quỵ tim trên địa bàn được cấp cứu kịp thời ngay tại tỉnh nhà, giảm tổn thương cơ tim, hạn chế biến chứng và tử vong.
Đặt stent giải quyết kịp thời vị trí tắc nghẽn, song không giúp bệnh nhân khỏi vĩnh viễn bệnh động mạch vành do bệnh nền xơ vữa động mạch đã có từ trước. Hiện tượng tắc nghẽn có thể tiếp tục xảy ra ở những vị trí khác trên động mạch vành hoặc ngay tại vị trí đã đặt stent.
Chính vì vậy, người bệnh cần chủ động thay đổi lối sống: tập thể dục thường xuyên, nói không với thuốc lá, thuốc lào và nghiêm túc tuân thủ sử dụng thuốc theo đúng chỉ định của bác sĩ để hạn chế tái phát bệnh về sau.” - Bác sĩ Định khuyến cáo


