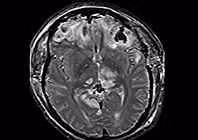
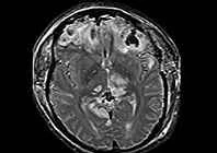
Sau hai năm đau đầu kéo dài và đột ngột liệt nửa người, nữ bệnh nhân 20 tuổi đã hồi phục vận động tay trái chỉ 24 giờ sau ca phẫu thuật bắc cầu động mạch não.
Nhiễm sán não không phải bệnh lý hiếm nhưng rất dễ bị bỏ sót do triệu chứng ban đầu thường không điển hình, dễ nhầm lẫn với u não hoặc tai biến mạch não.
Những người bị stress có thể mắc những sai lầm trong cuộc sống, cũng như trong lúc làm việc... Việc phát hiện sớm và điều trị kịp thời vô cùng quan trọng để giúp người bệnh phục hồi.
(khoahocdoisong.vn) - Hiện tại có rất ít nghiên cứu trong nước và quốc tế nghiên cứu về tính an toàn cũng như nguy cơ khi tiêm phòng ở nhóm bệnh động kinh. Trong khi đó, có thông tin liên quan đến tiêm văcxin phòng Covid-19 ở những người mắc bệnh động kinh không có cơ sở khoa học đã gây hoang mang lo lắng đồng thời làm trì hoãn việc tiêm chủng? Vậy người bị bệnh động kinh đang dùng thuốc như thế nào thì được tiêm chủng? Ảnh hưởng của văcxin Covid-19 với thần kinh ra sao?
(khoahocdoisong.vn) - Rau đắng còn được gọi là rau đắng biển, sam đắng... thường được dùng nấu lẩu, ăn cháo cá, luộc chấm mắm, hoặc ăn sống với nhiều loại rau khác.
(khoahocdoisong.vn) - Khoảng 90 – 95% các trường hợp tăng huyết áp không tìm thấy nguyên nhân nhưng có một số yếu tố làm tăng khả năng mắc bệnh tăng huyết áp, các yếu tố này được gọi là yếu tố nguy cơ của bệnh tăng huyết áp.
Theo Eurek Alert, các nhà sinh học ở Đại học California, Mỹ, đã xác định chính xác ảnh hưởng của chấn thương đầu đến các tế bào và các gen riêng lẻ và cách các chấn thương đó có thể dẫn đến các bệnh nghiêm trọng cho não.