Tối ngày 12/12/2023, Khoa cấp cứu, Bệnh viện Sản Nhi tỉnh Phú Thọ tiếp nhận bé N.P.C (2 tuổi, trú tại huyện Lập Thạch, tỉnh Vĩnh Phúc) đến khám do gia đình nghi ngờ trẻ nuốt phải 1 chiếc đinh vít trước đó.
Theo thông tin từ phía gia đình, được biết 4 giờ trước khi vào viện, bé chơi ở nhà hàng xóm và nuốt phải đinh vít nhưng không ai phát hiện ra, sau khi nuốt dị vật trẻ cũng không có biểu hiện nào bất thường. Chỉ đến khi người hàng xóm tìm không thấy chiếc đinh vít mới thông báo cho gia đình để đưa bé đi khám.
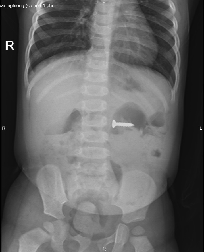
![]() |
| Trẻ 2 tuổi nhuốt đinh sắc nhọn vào bụng mà không ai biết |
Tại Bệnh viện Sản Nhi tỉnh Phú Thọ, các bác sĩ chỉ định cho bé chụp X-quang thăm dò và phát hiện dị vật đinh vít sắc nhọn kích thước 2cm trong dạ dày, vị trí ngang đốt sống D3 của trẻ. Sau khi hội chẩn với các bác sĩ khoa Ngoại nhi tổng hợp và giải thích với gia đình, bệnh nhi được chỉ định gây mê nội soi tiêu hóa cấp cứu gắp dị vật.
Chiếc đinh vít sắc nhọn nằm trong dạ dày bệnh nhi trên phim chụp X-quang
Sau 5 phút, BSCKI. Triệu Ngọc Bích, Khoa Chẩn đoán hình ảnh – thăm dò chức năng gắp ra được dị vật là 1 chiếc đinh ốc vít có một đầu sắc nhọn nằm trong dạ dày của bệnh nhi.
Các bác sĩ đánh giá, với tính chất sắc nhọn của đầu đinh, nếu không loại bỏ kịp thời có thể gây tổn thương đâm thủng thành ruột, dạ dày, thậm chí có thể gây tổn thương nhiều vị trí mà chiếc đinh đi qua.
Sau khi gắp dị vật, trẻ tiếp tục được nội soi tiêu hoá để kiểm tra lại, tình trạng thực quản, dạ dày, tá tràng đều ổn định, không còn dị vật nào khác. Hiện tại, bệnh nhi được theo dõi sức khoẻ tại Khoa Cấp cứu.
Trẻ hiện được theo dõi tại Khoa Cấp cứu với tình trạng ổn định
Qua trường hợp này, các bác sĩ khuyến cáo, phụ huynh – người trông trẻ cần hết sức chú ý, không nên để các bé chơi các loại đồ vật có kích thước nhỏ bởi với sự hiếu động, tò mò, bé sẽ ngậm vào miệng rồi vô tình nuốt luôn dị vật dẫn đến hậu quả đáng tiếc.
