![]() |
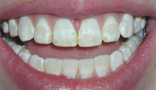
| Men răng bị bào mòn. Ảnh minh họa |
Răng được bao phủ bởi một lớp bảo vệ cứng gọi là men răng. Đây là lớp ngoài cùng giúp bảo vệ răng khỏi các hoạt động hàng ngày như nhai, cắn... Men răng rất cứng nhưng nó vẫn có thể bị nứt vỡ và suy yếu bởi axit trong thực phẩm và đồ uống hàng ngày.
Men răng bị ăn mòn sẽ có biểu hiện nhạy cảm hơn khi ăn uống, ê buốt, đau răng, răng ố vàng… Các tổn thương, lỗ sâu sẽ hình thành bên trong hoặc trên bề mặt răng.
Thực phẩm bám vào răng của chúng ta có nhiều khả năng thúc đẩy sâu răng nhất. Tất cả các loại đường và hầu hết các loại thực phẩm giàu tinh bột đều là những chất kích thích mảng bám chính. Đường kết hợp với mảng bám làm suy yếu men răng khiến bạn dễ bị sâu răng. Càng tiêu thụ nhiều đường, càng nhiều axit được tạo ra sẽ dẫn đến sâu răng.
Theo BS. Nguyễn Trung Nghĩa, chuyên khoa Răng Hàm Mặt, Bệnh viện Việt Nam-Cu Ba, mảng bám răng hình thành khi vi khuẩn trong miệng được trộn với thức ăn và đồ uống có đường hoặc tinh bột. Nếu mảng bám không được loại bỏ bằng cách đánh răng thường xuyên, nó có thể khiến men răng bị hư hại và cuối cùng gây ra sâu răng. Khi chúng ta ăn các loại thức ăn, đồ uống chứa nhiều đường, đặc biệt là thức ăn nhanh, bánh, kẹo, nước ngọt có gas. Mức độ cao của tinh bột và đường trong những thực phẩm này làm tăng lượng axit trong miệng. Những chất này làm mòn men răng và làm tăng nguy cơ bị sâu răng và các bệnh về nướu.
Dưới đây là một số loại thực phẩm gây bào mòn men răng, ít ai biết:
Trái cây sấy khô
Mặc dù trái cây nói chung rất tốt cho sức khỏe nhưng trái cây sấy khô lại là một câu chuyện khác. Những món ăn sấy khô này nhiều đường và có thể dính vào răng của bạn, làm tăng nguy cơ sâu răng. Vì vậy, tốt nhất là tránh trái cây sấy khô hoặc tiêu thụ chúng ở mức độ vừa phải.
Đồ uống có đường và có ga
Đồ uống có ga và có đường là một trong những loại thực phẩm mà bạn cần tránh xa. Axit trong những đồ uống này làm hỏng men răng và có thể dẫn đến ố và sâu răng. Thay vào đó, hãy chọn nước lọc hoặc nước khoáng bạn nhé.
Thực phẩm có tính axit
Thực phẩm có tính axit, chẳng hạn như trái cây họ cam quýt, cà chua và dứa, có thể ăn mòn men răng và gây ê buốt. Mặc dù không cần thiết loại bỏ những thực phẩm này khỏi chế độ ăn uống nhưng hãy cố gắng hạn chế ăn và kết hợp chúng với các thực phẩm khác.
Đá lạnh
Nhai đá giúp làm dịu hoặc giảm căng thẳng đối với một số người nhưng có thể gây hại vì cả men răng và đá đều được làm từ tinh thể. Khi hai tinh thể này va chạm vào nhau với một lực vừa đủ, một trong hai có thể sẽ bị vỡ. Nước đá còn có nguy cơ dẫn đến sâu răng hoặc nứt men răng, làm tăng độ nhạy cảm với thức ăn và đồ uống nóng - lạnh.
Khoai tây chiên
Khoai tây chiên cũng có thể gây nguy cơ dính răng giống như trái cây sấy khô và kẹo dẻo. Tinh bột trong khoai tây có thể chuyển hóa thành đường, sau đó, cơ thể chuyển hóa đường đó thành axit. Vì vậy, sau khi ăn khoai tây chiên, hãy súc miệng sạch với nhiều nước và cân nhắc việc dùng chỉ nha khoa. Làm sạch răng miệng ngay sau khi ăn nhẹ có thể giúp phòng tránh sâu răng.
Thức uống chứa cồn như bia rượu
Các loại đồ uống có cồn luôn tạo ra những ảnh hưởng nhất định đối với sức khỏe người sử dụng. Đồ uống có cồn như bia rượu không chỉ gây hại cho gan, thận, tim mạch, hệ thần kinh mà còn tác động trực tiếp tới răng miệng.
Hơn nữa, rượu bia làm mất cân bằng môi trường trong miệng khiến vi khuẩn phát triển mạnh mẽ hơn.
Hướng dẫn chăm sóc răng miệng đúng cách
Sức khỏe răng miệng là một phần thiết yếu của sức khỏe tổng thể và việc chăm sóc răng cùng nướu nên là ưu tiên hàng đầu của mọi người. Dưới đây là 8 cách đơn giản nhưng hiệu quả để duy trì sức khỏe răng miệng tốt:
Đánh răng 2 lần/ngày: Đánh răng 2 lần/ngày là biện pháp chăm sóc sức khỏe răng miệng cơ bản và quan trọng nhất. Đảm bảo thay bàn chải đánh răng 3 - 4 tháng một lần và sử dụng bàn chải đặc biệt nếu bạn đang niềng răng.
Đánh răng đúng cách: Đánh răng thường xuyên thôi chưa đủ. Bạn cần chải răng đúng cách để loại bỏ mảng bám và vi khuẩn gây sâu răng, viêm nướu. Tránh chải răng quá mạnh vì có thể làm tổn thương lớp men răng và nướu.
Làm sạch lưỡi: Mảng bám có thể tích tụ trên lưỡi của bạn, gây ra các vấn đề về sức khỏe răng miệng và hơi thở có mùi. Vì vậy, đừng quên chải bề mặt lưỡi của bạn từ trong ra ngoài.
Sử dụng kem đánh răng có florua: Chọn đúng loại kem đánh răng là rất quan trọng đối với sức khỏe răng miệng. Chọn kem đánh răng có chứa florua, giúp chống lại vi trùng gây sâu răng và giúp men răng chắc khỏe.
Dùng chỉ nha khoa: Tăm xỉa răng thường không thể chạm tới các kẽ nhỏ của răng. Dùng chỉ nha khoa hoặc dùng chỉ nha khoa sẽ nhẹ nhàng loại bỏ thức ăn mắc kẹt giữa các kẽ răng mà không làm tổn thương nướu.
Súc miệng sau khi ăn: Súc miệng bằng nước súc miệng kháng khuẩn sau khi ăn có thể ngăn ngừa sâu răng và bệnh nướu răng. Nhai kẹo cao su không đường cũng có thể giúp tăng tiết nước bọt và trung hòa axit.
Đeo dụng cụ bảo vệ hàm và không hút thuốc: Nếu bạn tham gia các hoạt động thể thao hoặc giải trí có nguy cơ làm hỏng răng, hãy đeo dụng cụ bảo vệ hàm. Hút thuốc có thể gây vàng răng, bệnh nướu răng và ung thư miệng.
Duy trì chế độ ăn uống lành mạnh: Một chế độ ăn uống cân bằng bao gồm các loại thực phẩm tươi sống như các loại hạt, ngũ cốc nguyên hạt, trái cây, rau và các sản phẩm từ sữa sẽ cung cấp cho cơ thể các chất dinh dưỡng cần thiết cho sức khỏe răng miệng và nướu tối ưu.
