Theo thông tin Trung tâm Y tế huyện Cẩm Khê (Phú Thọ), nam bệnh nhân 67 tuổi, (Cẩm Khê, Phú Thọ) có dấu hiệu tiểu rắt liên tục nên đi khám.
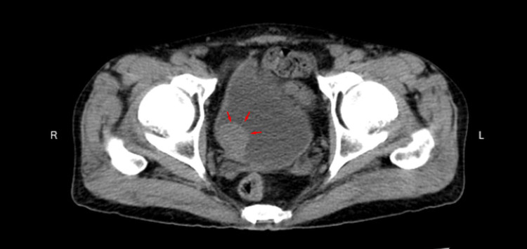
Kết quả chụp cắt lớp vi tính cho thấy: thành bên phải của bàng quang có khối u phát triển đẩy vào lòng bàng quang kích thước 22*24mm.
![]() |
| Khối u phát triển đẩy vào lòng bàng quang kích thước 22*24mm. Ảnh BVCC |
Bác sĩ chẩn đoán: u bàng quang, tư vấn bệnh nhân làm thêm các dịch vụ cận lâm sàng để loại trừ ung thư bàng quang.
Các Bác sĩ khuyến cáo, người dân cần khám sức khỏe định kỳ để phát hiện sớm các bệnh lý, khi có biểu hiện triệu chứng bệnh cần đến cơ sở y tế để được khám và điều trị kịp thời
Dấu hiệu nhận biết bệnh ung thư bàng quang
Tùy thuộc vào từng giai đoạn mà dấu hiệu nhận biết ung thư bàng quang cũng sẽ khác nhau. Một số dấu hiệu cụ thể như:
Giai đoạn sớm
Các dấu hiệu điển hình trong giai đoạn đầu ung thư bàng quang bao gồm:
Tiểu ra máu: Người bệnh có thể đi tiểu ra máu từng đợt, toàn bãi, không bị đau,... do khối u ác tính đang phát triển với kích thước lớn dần. Khối u này sẽ chèn ép đến các niêm mạc bàng quang và gây nên hiện tượng chảy máu.
Tiểu rắt, đi tiểu nhiều lần hoặc đi tiểu không tự chủ: Nguyên nhân là vì bàng quang bị kích thích hoặc bị giảm thể tích do sự phát triển của các khối u. Lúc này, màu nước tiểu của người bệnh cũng bị sẫm hơn thông thường.
Giai đoạn muộn
Dấu hiệu ở giai đoạn muộn là: Bị đau nhức ở vùng hông lưng hoặc bị đau ở xương mu hạ vị. Cảm thấy đau nhức tầng sinh môn. Thường xuyên đau nhức xương khớp. Bị mệt mỏi và lười ăn. Những cơn đau xuất hiện không rõ nguyên nhân.
Biện pháp phòng ngừa ung thư bàng quang
Để phòng ngừa ung thư bàng quang, bạn có thể lưu ý một số vấn đề sau đây: Không hút thuốc lá và tránh xa khói thuốc để không hít khói thuốc thụ động. Cần kiểm tra nguồn nước sinh hoạt, nên trang bị máy lọc nước để lọc bỏ các chất độc hại và cả những kim loại nặng ra khỏi nguồn nước.
Cần bổ sung ít nhất khoảng 2 lít nước/ngày để đảm bảo hoạt động đào thải và bài tiết các độc tố có hại ra bên ngoài thuận lợi.
Trang bị đầy đủ đồ bảo hộ cần thiết khi làm việc, đặc biệt với những người phải làm trong môi trường nhiều hóa chất. Duy trì thói quen thăm khám sức khỏe định kỳ và tầm soát ung thư 1 năm khoảng 1 đến 2 lần.
Xây dựng một chế độ ăn uống lành mạnh, đầy đủ dưỡng chất cần thiết cho cơ thể để nâng cao sức đề kháng.
