Bàng quang là bộ phận chứa nước tiểu nên dấu hiệu khi đi tiểu cũng có thể cảnh báo về bệnh ở bàng quang. Ung thư bàng quang điều trị ở giai đoạn sớm sẽ đem lại tiên lượng sống cao cho người bệnh.
Ung thư bàng quang là một trong những bệnh lý ác tính hàng đầu trong số các bệnh ung thư đường tiết niệu. Bệnh có triệu chứng thường gặp là đái ra máu, gầy sút cân, đau bụng vùng hạ vị…
Ung thư bàng quang chiếm 80 – 90% trong ung thư đường tiết niệu. Đây là một trong những bệnh ác tính nguy hiểm. Tuy nhiên, bệnh có thể phòng tránh qua chế độ sinh hoạt, ăn uống, kiểm tra sức khoẻ định kỳ.
U bàng quang là loại u thường gặp trong các loại u ở đường tiết niệu. Theo thống kê, ung thư bàng quang là bệnh lý đứng thứ hai sau ung thư tiền liệt tuyến thuộc hệ tiết niệu sinh dục.
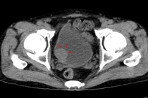
Ung thư bàng quang là bệnh lý đứng thứ hai sau ung thư tiền liệt tuyến thuộc hệ tiết niệu sinh dục và thứ 4 trong các loại ung thư phổ biến. Siêu âm là phương pháp dễ dàng nhìn được hình ảnh khối u, rẻ tiền, không xâm lấn.
Ung thư bàng quang nếu phát hiện sớm có thể điều trị khỏi nhưng đa phần được phát hiện muộn. Bệnh dễ tái phát và di căn nên cần nhận biết để điều trị sớm.
(khoahocdoisong.vn) - Người ta đã xác định rõ ràng, 60 - 80% trường hợp ung thư bàng quang có liên quan đến thuốc lá; không chỉ người trực tiếp hút thuốc lá, mà có thể ở người hút thuốc lá thụ động.
(khoahocdoisong.vn) - Nhiều bệnh nhân đã được chữa khỏi ung thư bàng quang, dù phải cắt toàn bộ bàng quang nhưng vẫn có cuộc sống bình thường, thời gian hồi phục nhanh nhờ phương pháp phẫu thuật nội soi cắt tận gốc bàng quang.
(khoahocdoisong.vn) - Hút thuốc lá một nguy cơ ung thư bàng quang đã được biết rõ, chiếm khoảng 30% ung thư bàng quang ở phụ nữ và khoảng 50% các trường hợp ở nam giới.
(khoahocdoisong.vn) - Vitamin E là chất cần thiết tham gia chuyển hóa của các tế bào và bảo vệ vitamin A, chất béo của màng tế bào khỏi bị ôxy hóa, tạo hồng cầu, giảm kết tụ của cholesterol xấu, tăng tính miễn dịch bằng cách bảo vệ tế bào khỏi bị tổn thương, ngăn ngừa bệnh sa sút trí tuệ, giảm nguy cơ bệnh đục nhân mắt nhờ khả năng chống ôxy hóa.
Gần 400 người bệnh tại Bệnh viện Bình Dân TPHCM đã được thụ hưởng công nghệ phẫu thuật nội soi ứng dụng robot do đội ngũ các bác sĩ phẫu thuật được đào tạo chuyên sâu, am hiểu về thể trạng và giải phẫu học của người Việt Nam thực hiện. Phẫu thuật đã giúp điều trị hiệu quả, đưa người bệnh vượt qua các bệnh lý phức tạp và nguy hiểm như ung thư tuyến tiền liệt, ung thư trực tràng, ung thư bàng quang, ung thư phổi…