Sức khoẻ 360

Bỏ khối u bàng quang khổng lồ giải cứu quả thận đang "chết đuối"

Để cứu hai quả thận đang “chết đuối”, các bác sĩ đã phải thực hiện thủ thuật khẩn cấp là dẫn lưu thận ra da hai bên trước khi phẫu thuật lấy khối u.

Bướu bàng quang khổng lồ xâm lấn khiến tiểu ra máu đỏ tươi

Cách đây hai năm, ông N.H.N (66 tuổi, Tây Ninh) bị tiểu ra máu, đặc biệt là khi vận động mạnh, làm việc nặng. Ông đã đi thăm khám tại một bệnh viện lớn ở TP. Hồ Chí Minh thì phát hiện có khối bướu bàng quang và được chỉ định phẫu thuật. Tuy nhiên, ông đã từ chối phẫu thuật vì sợ, và chỉ dùng thuốc điều trị tại nhà.

Hai năm trôi qua, bệnh tình của ông N. không thuyên giảm, khối u vẫn âm thầm phát triển bên trong cơ thể, từ từ chiếm lấy không gian vùng bụng và phá hủy các nội tạng lân cận.

Cho đến hai ngày trước khi nhập viện, cơ thể phát tín hiệu báo động đỏ: ông T. tiểu ra máu – nước tiểu màu đỏ tươi, rồi rơi vào tình trạng bí tiểu hoàn toàn. Cảm giác căng tức, đau đớn dữ dội ở vùng bụng dưới buộc gia đình phải đưa ông đến Bệnh viện Đa khoa Xuyên Á (TP HCM) cấp cứu.

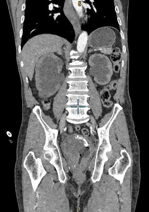
Tại đây, các bác sĩ khoa Ngoại Tiết Niệu đã thực hiện các cận lâm sàng chẩn đoán, ghi nhận người bệnh có bướu bàng quang to, khối u đã xâm lấn và chèn ép hai niệu quản gây thận ứ nước độ III, kèm suy thận. Ông N. được đặt ống sonde tiểu, hút ra một túi nước tiểu màu máu đỏ sậm.

qua-than-1.jpg
Hình ảnh CT phát hiện bướu bàng quang và thận ứ nước - Ảnh BVCC

Cuộc chiến giải cứu quả thận và loại bỏ khối u bàng quang

Để cứu hai quả thận đang “chết đuối”, các bác sĩ đã phải thực hiện một thủ thuật khẩn cấp là dẫn lưu thận ra da hai bên. Đây là phương pháp tạo một đường thoát nước tiểu tạm thời trực tiếp từ thận ra ngoài cơ thể vào túi chứa. Thủ thuật thành công, hai quả thận của bệnh nhân được “giải cứu” kịp thời, tình trạng ứ nước giảm dần và chức năng thận dần hồi phục.

Tuy nhiên, đây mới chỉ là bước xử lý phần ngọn, bởi cái gốc của vấn đề chính là khối bướu bàng quang khổng lồ. Vì thế, sau khi chức năng thận của bệnh nhân ổn định, các bác sĩ Khoa Ngoại Tiết Niệu tiến hành cuộc đại phẫu: Cắt bàng quang tận gốc và tái tạo bàng quang bằng ruột non để loại bỏ khối u ác tính.

qua-than-2.jpg
Hình ảnh bàng quang được tái tạo từ ruột non - Ảnh BVCC

ThS.BS Lâm Văn Chương, Khoa Ngoại Tiết Niệu Bệnh viện Đa khoa Xuyên Á (TP HCM) cho biết: “Trong quá trình mổ, ê-kíp đã cắt bỏ bàng quang chứa khối u xâm lấn và tạo hình bàng quang bằng một đoạn ruột non theo phương pháp Studer.

Đây là một trong những kỹ thuật phức tạp và tiên tiến nhất trong niệu khoa. Với kỹ thuật này, các bác sĩ đã khéo léo sử dụng một phần ruột của chính bệnh nhân để tạo thành một bàng quang mới và nối nó trở lại vào đường dẫn tiểu tự nhiên giúp người bệnh có thể đi tiểu theo ngả tự nhiên mà không cần phải mang túi chứa nước tiểu bên hông vĩnh viễn.

Kết quả giải phẫu bệnh sau mổ cho thấy diện cắt không còn tế bào ung thư. Điều này có nghĩa là khối u đã được lấy trọn, giải quyết tận gốc nguyên nhân bệnh và mang lại cho ông N. cơ hội chữa khỏi bệnh”.

qua-than-3.jpg
Hình ảnh khối bướu bàng quang sau khi cắt bỏ - Ảnh BVCC

Sau mổ, ông N. dần hồi phục sức khỏe, chức năng đi tiểu đã cải thiện và ông được xuất viện trong niềm hân hoan của gia đình.

Cắt tận gốc và tái tạo bàng quang, nhiều bệnh nhân thoát khỏi án tử

Với sự tiến bộ của y học hiện đại, nhiều bệnh nhân bị ung thư bàng quang đã thoát khỏi án “tử thần” nhờ phương pháp phẫu thuật nội soi cắt bàng quang tận gốc, đồng thời tái tạo bàng quang để điều trị triệt để ung thư đảm bảo chữa lành bệnh mà không ảnh hưởng nhiều đến chất lượng cuộc sống.

Phẫu thuật cắt bàng quang tận gốc và tái tạo bàng quang bằng ruột non, bao gồm hai giai đoạn: Giai đoạn cắt bàng quang và giai đoạn tạo hình bàng quang mới bằng ruột. Kỹ thuật này bao gồm cắt bỏ toàn bộ bàng quang kèm theo tuyến tiền liệt và túi tinh hoặc kèm theo cắt toàn bộ tử cung và một phần âm đạo ở nữ giới.

Sau đó, bàng quang được tái tạo bằng đoạn ruột cuối ruột non (đoạn hồi tràng) với kích thước 40 – 60cm tạo thành túi chứa, rồi được nối với hai niệu quản và niệu đạo. Nước tiểu được chứa trong túi chứa và được đưa ra ngoài qua đoạn niệu đạo mới, giúp người bệnh đi tiểu theo ngả tự nhiên mà không cần phải mang túi chứa nước tiểu bên hông vĩnh viễn.

“Phẫu thuật cắt bàng quang tận gốc và tái tạo bàng quang bằng ruột non là sự tiến bộ vượt bậc của y khoa, người bệnh sẽ tránh được các biến chứng nguy hiểm (như chảy máu, nhiễm trùng do đặt ống thông), có thể đi tiểu qua đường tự nhiên, không phải mang túi nước tiểu cả đời ảnh hưởng đến sinh hoạt so với phương pháp cắt toàn bộ bàng quang và đặt niệu quản ra da.

Đây là cuộc đại phẫu, giải quyết được tận gốc nguyên nhân bệnh là ung thư bàng quang và giúp người bệnh tái hòa nhập cuộc sống”, ThS.BS Lâm Văn Chương chia sẻ thêm.

Sau phẫu thuật, bệnh nhân được hướng dẫn các bài tập hỗ trợ việc đi tiểu thuận tiện hơn. Người bệnh cần theo dõi tái khám định kỳ để tầm soát ung thư tái phát cũng như đánh giá chức năng đi tiểu của bệnh nhân qua túi chứa tân tạo.

qua-than.jpg
Ca phẫu thuật cho bệnh nhân - Ảnh BVCC

Ung thư bàng quang và lời cảnh báo

Dù ca phẫu thuật đã thành công nhưng việc đi tiểu của bệnh nhân N. đã có phần thay đổi vì ông phải bắt đầu một hành trình mới – hành trình “học lại” cách đi tiểu với chiếc bàng quang mới như: học cách rặn tiểu, học cách đi tiểu theo giờ.

Nếu chịu điều trị bệnh từ hai năm trước, có lẽ bệnh nhân N. chỉ cần một cuộc phẫu thuật nội soi ít xâm lấn, vẫn giữ lại được bàng quang cũng như chức năng thận hoàn toàn bình thường. Nhưng sự trì hoãn điều trị đã khiến bệnh âm thầm tiến triển, dẫn đến nguy kịch khiến ông phải nhập viện cấp cứu vì thận ứ nước, suy thận và phải mang trong mình chiếc bàng quang nhân tạo đến cuối đời.

Qua đó, bác sĩ Lâm Văn Chương khuyến cáo người dân khi phát hiện các dấu hiệu bệnh lý bàng quang như: tiểu ra máu, tiểu khó, đau hạ vị âm ỉ thì nên đi thăm khám ngay tại các cơ sở y tế uy tín và tuân thủ theo chỉ dẫn điều trị của bác sĩ.

Bướu bàng quang nếu không xử lý sớm thì khối bướu ngày càng lớn dần xâm lấn ngoài bàng quang và di căn, lúc này việc điều trị không hề dễ dàng và khó đạt được hiệu quả như mong đợi.

Người dân cũng nên ý thức việc khám sức khỏe định kỳ mỗi năm, bởi đó là “chìa khóa vàng” giúp phát hiện sớm nhiều bệnh lý nguy hiểm.

back to top