Sức khoẻ 360

Thận ứ mủ do sỏi niệu quản, một viên sỏi nhỏ có thể nguy hiểm tính mạng

Sỏi niệu quản không chỉ gây đau mà có thể dẫn đến thận ứ mủ, nhiễm khuẩn huyết, suy thận, thậm chí tử vong nếu điều trị trễ.

Chỉ từ cơn đau hông lưng và tiểu gắt buốt, một nam bệnh nhân trẻ tuổi đã rơi vào tình trạng nguy kịch vì thận ứ mủ do sỏi niệu quản, biến chứng nhiễm khuẩn huyết đe dọa tính mạng.

Ca bệnh là lời cảnh báo về sự nguy hiểm của các dấu hiệu bất thường của đường tiết niệu và tầm quan trọng của chẩn đoán, can thiệp kịp thời.

Đau hông lưng âm ỉ đến thận ứ mủ gây nhiễm trùng huyết

Nam bệnh nhân L.V. T. (34 tuổi, Củ Chi) được gia đình đưa vào khoa Cấp cứu Bệnh viện Đa khoa Xuyên Á trong tình trạng sốt cao 41°C, lơ mơ. Theo lời kể của người bệnh, khoảng một tuần trước đó, anh bắt đầu xuất hiện cơn đau âm ỉ vùng hông lưng bên trái, kèm theo tiểu gắt buốt.

Nghĩ rằng đây chỉ là cơn đau thông thường, anh tự mua thuốc uống giảm đau tại nhà mà không đi thăm khám.

Tuy nhiên, các triệu chứng bệnh không thuyên giảm mà ngày càng nặng hơn. Điển hình là thời điểm cách một ngày trước khi nhập viện, anh T. đau hông lưng nặng, kèm sốt cao liên tục khiến anh mệt lả, rơi vào trạng thái lơ mơ. Gia đình nhận thấy dấu hiệu bất thường và lập tức đưa anh đi cấp cứu.

Tại bệnh viện, bệnh nhân lơ mơ, huyết áp tụt và sốt rất cao. Nhận định bệnh nhân đã rơi vào tình trạng sốc nhiễm trùng, các bác sĩ đã nhanh chóng vừa hồi sức vừa thăm khám và thực hiện các xét nghiệm chẩn đoán bệnh.

than-u-mu-1.jpg
Hình ảnh phim CT trước mổ cho thấy thận có sỏi niệu quản bị ứ nước - Ảnh BVCC

Kết quả CT-scan bụng cho thấy có một viên sỏi nằm ở niệu quản trái đoạn lưng, gây tắc nghẽn hoàn toàn đường thoát nước tiểu - đây chính là thủ phạm khiến thận trái bị ứ và nhiễm trùng.

Các xét nghiệm máu, nước tiểu và hình ảnh học cho thấy chỉ số nhiễm trùng tăng cao, có dấu hiệu thận trái đã bị ứ mủ và chức năng của thận bị suy giảm.

Nguy hiểm hơn, tình trạng nhiễm khuẩn từ thận đã đi vào máu gây nhiễm trùng máu và có biến chứng choáng do nhiễm trùng, một biến chứng cực kỳ nguy hiểm có thể đe dọa tính mạng nếu không xử trí kịp thời.

Can thiệp kịp thời cứu bệnh nhân

Ê-kíp các bác sĩ khoa Ngoại tiết niệu, Bệnh viện Đa khoa Xuyên Á và các bác sĩ cấp cứu đã nhanh chóng vừa hồi sức vừa chỉ định đặt thông JJ cấp cứu từ bể thận trái xuống niệu quản và bàng quang. Thủ thuật này nhằm giải phóng chỗ tắc nghẽn do sỏi, giúp nước tiểu và mủ trong thận được dẫn lưu ra ngoài, giảm áp lực và kiểm soát ổ nhiễm trùng.

Trong quá trình can thiệp, ê–kíp ghi nhận mủ chảy nhiều từ thận xuống bàng quang. Mủ được cấy để phân lập vi khuẩn giúp điều trị kháng sinh theo đúng loại vi khuẩn gây bệnh. Trong lúc chờ đợi kết quả các bác sĩ cũng sử dụng kháng sinh theo phác đồ điều trị nhiễm khuẩn nặng.

than-u-mu.jpg
Bác sĩ thăm khám cho bệnh nhân - Ảnh BVCC

Nhờ được xử trí kịp thời, hiện tại bệnh nhân T. đã tỉnh táo hoàn toàn, hết sốt, các chỉ số sinh tồn ổn định và chức năng thận dần hồi phục - một kết quả được đánh giá là ngoạn mục so với tình trạng rất nguy kịch lúc nhập viện.

BS Phan Huy Thông, Khoa Ngoại tiết niệu, Bệnh viện Đa khoa Xuyên Á chia sẻ: “Sau khi tình trạng nhiễm trùng của bệnh nhân được điều trị ổn định, các bác sĩ sẽ lên kế hoạch nội soi tán sỏi niệu quản bằng laser, phương pháp điều trị này nhẹ nhàng, ít xâm lấn, nhằm loại bỏ sỏi, nguyên nhân gây nhiễm khuẩn và suy giảm chức năng thận, ngăn ngừa tái phát và các biến chứng nguy hiểm cho người bệnh sau này”.

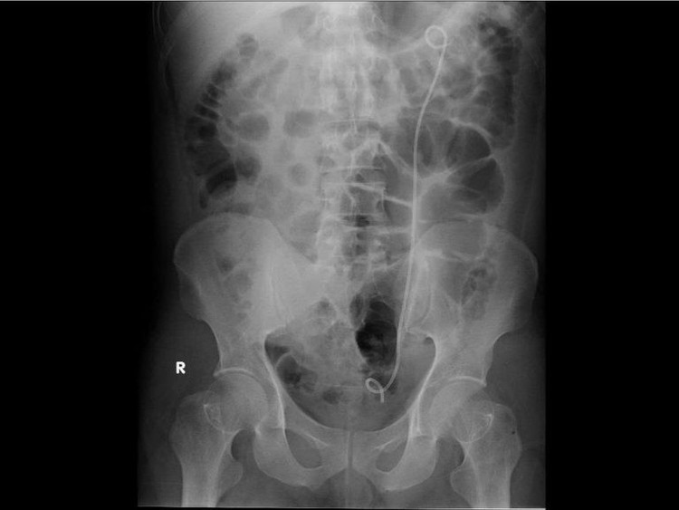
than-u-mu-2.jpg
Hình ảnh cận lâm sàng sau khi đặt Sonde JJ dẫn lưu - Ảnh BVCC

Một viên sỏi nhỏ có thể gây nguy hiểm đến tính mạng

Trường hợp của bệnh nhân T. là lời cảnh báo rằng, sỏi niệu quản không chỉ gây đau mà có thể dẫn đến thận ứ mủ, nhiễm khuẩn huyết, suy thận, thậm chí tử vong nếu điều trị trễ. Dù chỉ là một viên sỏi có kích thước không lớn nhưng nằm ở vị trí gây tắc nghẽn đủ để làm bệnh diễn tiến nhanh và nghiêm trọng.

Qua đây, bác sĩ Phan Huy Thông khuyến cáo người dân đừng chủ quan với các cơn đau ở vùng hông lưng. Chúng ta nên chủ động thăm khám để sớm phát hiện bất thường và điều trị kịp thời, tránh các biến chứng nguy hiểm đến tính mạng.

Khi có triệu chứng bất thường đường tiểu (tiểu buốt, tiểu rắt, nước tiểu đục) hoặc đau hông lưng, người bệnh hãy đi khám sớm tại chuyên khoa Tiết niệu/Thận – Tiết niệu của các cơ sở y tế uy tín, đừng tự ý dùng thuốc tại nhà.

Phát hiện sớm và điều trị kịp thời không chỉ giúp bảo tồn chức năng thận mà còn có thể cứu sống người bệnh.

back to top