Thời sự

Tăm tre 10 cm đâm thủng đại tràng

Đau bụng đi khám người đàn ông 64 tuổi tá hỏa khi bác sĩ thông báo có chiếc tăm tre đâm thủng đại tràng. Những người có thói quen dùng tăm cần chú ý.

Người bệnh H.V.O sinh năm 1959 trú tại huyện Tân Sơn, bị đau bụng nên đến bệnh viện khám thì tá hỏa phát hiện có chiếc tăm tre dài 10cm đâm thủng đại tràng.

Người bệnh có tiền sử khỏe mạnh, trước ngày vào viện bị đau bụng nên đã đến Trung tâm Y tế huyện khám, có nghi ngờ dị vật đại tràng và được chuyển đến Bệnh viện đa khoa tỉnh Phú Thọ.

Tại đây, người bệnh đau bụng từng cơn, đau bụng tăng dần. Người bệnh được khám và thực hiện các kỹ thuật chẩn đoán chuyên sâu, nghi ngờ có dị vật đâm thủng đại tràng và được chỉ định phẫu thuật cấp cứu.

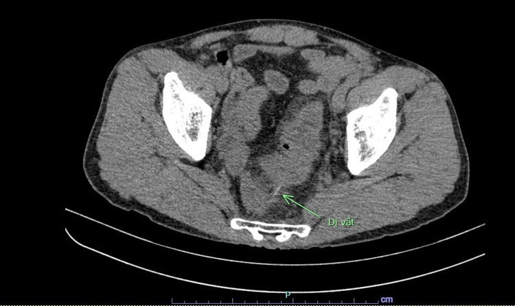
Hình ảnh chụp cắt lớp vi tính cho thấy dị vật đâm thủng đại tràng người bệnhHình ảnh chụp cắt lớp vi tính cho thấy dị vật đâm thủng đại tràng người bệnh

Trong quá trình phẫu thuật, bác sĩ kiểm tra thấy đoạn cuối đại tràng xích ma có 1 dị vật dài đâm thủng lòng đại tràng và chui ra ngoài. Lấy dị vật ra thì phát hiện đây là 1 chiếc tăm tre dài 10cm. Sau đó, các bác sĩ đã khâu lỗ thủng đại tràng và làm hậu môn nhân tạo cho người bệnh.

Dị vật là chiếc tăm tre dài 10cm sau khi được lấy ra ngoàiDị vật là chiếc tăm tre dài 10cm sau khi được lấy ra ngoài

Sau phẫu thuật 1 ngày, người bệnh đã sớm ổn định, tình trạng nhiễm trùng đã cải thiện, người bệnh có thể dậy đi lại và tập ăn được.

Điều bất ngờ là người bệnh không nhớ mình đã nuốt tăm tre khi nào. Thấy đau bụng thì đi khám kiểm tra mới biết có tăm trong ruột.

Người bệnh ổn định sau phẫu thuậtNgười bệnh ổn định sau phẫu thuật

ThS.BS Trần Thanh Tùng, Phụ trách Khoa Ngoại tổng hợp, Bệnh viện Đa khoa Phú Thọ cho biết: Dị vật đường tiêu hóa là một tai nạn rất thường gặp trong đời sống hàng ngày, có nhiều tình huống khác nhau có thể là mắc nghẹn, có thể là đâm xuyên gây tổn thương trực tiếp đường tiêu hóa do những vật sắc nhọn như mảnh xương, xương cá, tăm tre…

Trường hợp người bệnh này do tăm tre làm thủng đại tràng. Nguyên nhân có thể do thói quen ngậm tăm khi ngủ hoặc dùng tăm để cài trong quá trình chế biến món ăn. Nhiều người bệnh thậm chí không biết mình đã nuốt tăm khi nào như trường hợp của người bệnh O.

Qua ca bệnh nuốt phải tăm tre, bác sĩ khuyến cáo: Người dân nên hết sức cẩn thận khi sử dụng tăm hàng ngày, không ngậm tăm đặc biệt là trước khi đi ngủ để tránh dẫn đến những hậu quả đáng tiếc xảy ra. Nếu nuốt phải tăm tre hay bất cứ dị vật nào khác cần nhanh chóng đến cơ sở y tế để được xử trí kịp thời, tránh được các biến chứng nguy hiểm có thể xảy ra.

back to top