Sức khoẻ 360

Suýt mất mạng vì xương cá đâm thủng dạ dày

Dị vật xương cá có thể đâm thủng thành ruột hay dạ dày, gây ra biến chứng nặng nề như áp xe, viêm phúc mạc, thậm chí nhiễm trùng huyết và tử vong.

Suy kiệt, thủng dạ dày, ổ mủ kéo dài cả tháng

Chỉ một chiếc xương cá nhỏ mà suýt lấy đi tính mạng bệnh nhân H.T.N.C. (56 tuổi, ngụ tại Đồng Tháp).

Trước đó khoảng một tháng, bà C. bắt đầu xuất hiện những cơn đau âm ỉ vùng thượng vị, kèm theo cảm giác buồn nôn, nôn ói sau ăn. Dù đã thăm khám và điều trị tại nhiều nơi, nhưng tình trạng vẫn không thuyên giảm. Ăn không ngon, ngủ không yên, cơ thể bà dần suy kiệt.

Vài ngày trước, bà C. được người nhà đưa đến cấp cứu tại Bệnh viện Đa khoa Xuyên Á Vĩnh Long trong tình trạng đau bụng dữ dội vùng thượng vị. Tại đây, các bác sĩ nhanh chóng tiến hành thăm khám và thực hiện các cận lâm sàng cần thiết. Kết quả cho thấy có dấu hiệu thủng dạ dày, dịch ổ bụng và hơi tự do sau dạ dày – dấu hiệu đặc trưng của viêm phúc mạc toàn thể do thủng tạng rỗng.

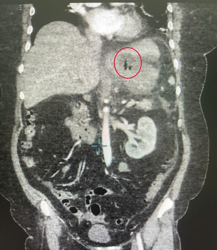
thung-da-day-1.jpg
Hình ảnh cận lâm sàng cho thấy xương cá trong dạ dày - Ảnh BVCC

Sau hội chẩn khẩn giữa các bác sĩ khoa Ngoại Tổng quát và ê-kíp trực cấp cứu, bệnh nhân được chỉ định mổ cấp cứu. Ban đầu, các bác sĩ định thực hiện phẫu thuật nội soi. Tuy nhiên, do tổn thương nằm sâu, giả mạc bao quanh, dịch mủ đặc và nhiều dính, phẫu thuật nội soi gặp khó khăn nên phải mổ hở.

Ca mổ được thực hiện bởi các bác sĩ khoa Ngoại tổng quát, với sự dẫn dắt của BS.CKII Lê Tòng Bá, Phó Trưởng khoa. Qua đường mổ dài khoảng 15cm trên rốn, các bác sĩ phát hiện một ổ áp xe lớn phía mặt sau bờ cong nhỏ dạ dày, chứa nhiều mủ trắng đục.

Khi bóc tách ổ áp xe, các bác sĩ đã phát hiện một chiếc xương cá dài khoảng 4cm đâm xuyên qua thành dạ dày. Đây chính là “thủ phạm” gây thủng và tạo ổ mủ kéo dài suốt thời gian qua.

da-day.jpg
Hình ảnh cận lâm sàng cho thấy xương cá trong dạ dày - Ảnh BVCC

Ngay sau đó, ê-kíp phẫu thuật tiến hành lấy dị vật, làm sạch ổ áp xe, khâu lỗ thủng dạ dày bằng mũi chỉ chữ X, đặt dẫn lưu tại nhiều vị trí để đảm bảo dịch thoát tốt, hạn chế nguy cơ nhiễm trùng sau mổ.

Hiện tại, sau vài ngày điều trị hậu phẫu tích cực, sức khỏe của người bệnh đã ổn định. Bà ăn uống được, vết mổ khô, các chỉ số sinh tồn trở lại bình thường.

BS.CKII. Lê Tòng Bá chia sẻ: “Trường hợp bệnh nhân C. có thể trạng thừa cân nên việc chẩn đoán qua siêu âm để phát hiện sớm triệu chứng thủng dạ dày là rất hạn chế. Vì vậy bệnh nhân dù có triệu chứng đau kéo dài và đã đi khám nhiều nơi nhưng không điều trị được hiệu quả tình trạng bệnh.

Khi tới khoa Ngoại Tổng quát, chúng tôi đã áp dụng các thiết bị kỹ thuật cao trong kiểm tra cận lâm sàng như CT – MRI – nội soi dạ dày tá tràng, giúp phát hiện chính xác bệnh và đưa ra được các phương án điều trị kịp thời”.

Xương cá là dị vật thường gặp và tưởng chừng như vô hại. Tuy nhiên, nếu không may đâm thủng thành ruột hay dạ dày, chúng có thể gây ra biến chứng nặng nề như áp xe, viêm phúc mạc, thậm chí nhiễm trùng huyết và tử vong nếu không được xử trí kịp thời.

thung-da-day-3169.jpg
Bệnh nhân hồi phục sau phẫu thuật - Ảnh BVCC

Đừng dùng mẹo dân gian chữa dị vật kẻo nguy hiểm tính mạng

BSCKI Nguyễn Quảng Đại, Trưởng Khoa Nội tiêu hóa, Bệnh viện Bãi Cháy cho biết, hóc dị vật trong lúc ăn uống như xương cá, xương gà… là tai nạn sinh hoạt khá thường gặp ở cả người người lớn hay trẻ nhỏ. Can thiệp gắp dị vật qua nội soi thực quản dạ dày là kỹ thuật thường quy tại nhiều bệnh viện.

Nếu không được can thiệp gắp dị vật sớm, dị vật có thể di chuyển qua vùng hầu họng và mắc tại thực quản gây ra các biến chứng nguy hiểm như: Chảy máu, viêm loét, tạo ổ áp xe, nặng hơn là đâm thủng thực quản vào trung thất hoặc đâm vào các mạch máu lớn nằm sát thực quản gây nguy hiểm đến tính mạng.

Ngoài ra dị vật có thể di chuyển xuống các đoạn dưới của ống tiêu hóa như dạ dày, tá tràng, ruột non, đại tràng gây thủng vào ổ bụng.

Để tránh những biến chứng nguy hiểm trên, đặc biệt trong các dịp lễ tết đang đến gần, mọi người cần ăn uống cẩn thận, ăn chậm, nhai kỹ, hạn chế nói chuyện, đùa giỡn khi ăn.

Khi ăn cá, gà, vịt… có nhiều xương cần gỡ xương thật cẩn thận. Khi bị hóc xương nên đến ngay các cơ sở y tế, bệnh viện để được xử lý sớm. Người dân không nên móc họng, nuốt nắm cơm lớn hay các mẹo dân gian chưa được kiểm chứng khác làm dị vật bị đẩy xuống sâu hơn, gây khó khăn cho can thiệp và có thể gây ra những biến chứng nguy hiểm", BSCKI Đại khuyến cáo.

Cách phòng ngừa dị vật

- Ăn chậm, nhai kỹ, nhất là với các món có xương như cá, gà, vịt.

- Tránh nói chuyện, cười đùa hoặc sử dụng điện thoại khi ăn.

- Nếu có dấu hiệu nuốt vướng, đau, khó thở sau ăn, tuyệt đối không tự ý chữa mẹo tại nhà, mà hãy đến ngay cơ sở y tế có chuyên khoa để được chẩn đoán và xử trí an toàn.

- Sức khỏe là tài sản quý giá, hãy lựa chọn phương pháp xử trí khoa học, thay vì đặt cược vào may rủi từ các mẹo dân gian.

back to top